Cookie Consent byPrivacyPolicies.comTraverser ou éviter ? - Eugenol

Traverser ou éviter ?

lampadaire skurup

01/10/2019 à 08h14

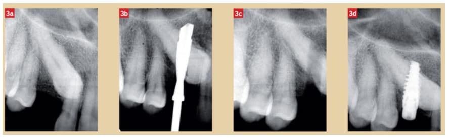
Tout est dans le titre. Homme 55 ans sans problème de santé , il a déjà 2 prémolaires, et une 3ème prémolaire incluse


--
Fabriqué en métal. Avec un design intemporel, le lampadaire skurup vous ravira. Hauteur réglable en fonction de l'éclairage souhaité.

Rssffisnjziiujifb5ii - Eugenol

Ylfwcw979cz1jnx9gfqeaxndiuzk - Eugenol
Algi

01/10/2019 à 08h18

Que disent les études sur le fait de poser un implant DANS une dent ?

Perso j'en sais rien...


--

https://open.spotify.com/user/8iz7teu84dfphmgspeh2979o8/playlist/59Tfpt7zoHfkI27430lfNg?si=MAiYEkb2S6mMV6qNX2aFwg


On a toujours le choix mais entre quoi et quoi?
Vas-y boulégue et l'avenir te le dira!


Pierre logo clykpp - Eugenol
Denteo33

01/10/2019 à 08h26

Pourrais tu poster une pano et une 3D?
Dans tous les cas, perso, je ne « traverserai » pas
Je serai plutôt de l’extraire, combler puis d’implanter mais qu’en est il du foramen mentonnier? Si trop gros risque, décaler l’implant?


Avatar transparent iqadnc - Eugenol
adhoc

01/10/2019 à 08h45

>Que disent les études sur le fait de poser un implant DANS une dent ?

Perso j'en sais rien...<

Etr le bon sens, algi? Il n'y a pas d'etude car dans ce cas, ca ne viendrait a l'idée à personne d'etudier les effets d'un forage d'un implant en occasionnant une effraction pulpaire. C'est de la dynamite.....


Utilisateur banni

01/10/2019 à 08h45

il y'a des case report sur des dents transfixées..... ils sont fort les types ^^

Comme d'habitude avec ce genre de truc il faut partir de la question "si ça foire ?" et mettre le résultat face à "je l'ai misse pile là ou il faut cette putain de vis ! "

Perso je ferais quand je verrai des case report de gestion d'une pulpite implanto-induite :D


Avatar transparent iqadnc - Eugenol
adhoc

01/10/2019 à 08h53

>il y'a des case report sur des dents transfixées..... ils sont fort les types ^^<

... sur des patients qui ont recu un joli paquet pour des essais de phase 4!!!! Et je parie que c'est sur des jeunes désargentés, ceux qui passent leur vie dans les labo pour les expérimentations médicamenteuses....
Et je parie que ces cas, apres, on n'entend plus jamais parler d'eux , ils sont dans la nature.
C'est vraiment pourrave, ces études a la noix.
Comme tu dis, on est dans le monde réel, pas dans des protocoles truqués....


azerty

01/10/2019 à 08h56

il y a eu des etudes qui disent que c'est possible. moui....
je ne le ferai pas


Olieve

01/10/2019 à 09h19

En fonction de la place, 2 implants plus en distal et un bridge avec une extension antérieure


Ylfwcw979cz1jnx9gfqeaxndiuzk - Eugenol
Algi

01/10/2019 à 09h30

Disons que intuitivement je m'y risquerais pas mais.... Mais si pour extraire la dent on risque une mega foirade ça peut se mettre en balance.

Sauf que.... Si ça merde faudra enlever ET la dent ET l'implant....

Bref t'as fait un devis pour une ppa ?...


--

https://open.spotify.com/user/8iz7teu84dfphmgspeh2979o8/playlist/59Tfpt7zoHfkI27430lfNg?si=MAiYEkb2S6mMV6qNX2aFwg


On a toujours le choix mais entre quoi et quoi?
Vas-y boulégue et l'avenir te le dira!


Hok 1b hgd3rj - Eugenol
Hokusai

01/10/2019 à 09h35

traverse et tiens nous au jus...


lampadaire skurup

01/10/2019 à 09h39

J’ai fait un devis pour les implants, il a déjà une PPA . Et je ne compte pas l’extraire, ça c’est sûr et certain

--
Fabriqué en métal. Avec un design intemporel, le lampadaire skurup vous ravira. Hauteur réglable en fonction de l'éclairage souhaité.


Utilisateur banni

01/10/2019 à 09h48

je trouve la 5 est moche.
Sa vielle mylo dégeux.. sa petite racine grêle... de la merdouille.
et je suis sur que la paa a fini de la flinguer.

Tu voudrais pas coller un coup de pince et faire un truc béton des fois ?


Hok 1b hgd3rj - Eugenol
Hokusai

01/10/2019 à 10h01

Vas y !!

https://www.lefildentaire.com/articles/analyse/experience/appel-a-contribution-2-ans-apres-chose-promise-chose-due/

Transdentaire lqsrnw - Eugenol

Vw campersurfvan bmnk1q - Eugenol
enlaye

01/10/2019 à 10h30

si tu lui mets bien dans l axe , tu lui cotes un inlay core :-)))


Avatar transparent iqadnc - Eugenol
adhoc

01/10/2019 à 10h55

Pas sur hokusai que l'implant et la canine incluse (palatine a mon avis) soient dans le meme plan frontal... Si ca se trouve , l'implant ne l'a, pas traversée et a juste frolé. Je demande un 3D cone beam!!!!


fifi55

01/10/2019 à 11h04

En dehors d'éventuels complications inflammatoires et/ou infectieuses sur la dent incluse, canine ou autre, je ne suis pas sûre que la dento-integration soit aussi valable a long terme que l'osteo-integration 😁😁
Cordialement


Hok 1b hgd3rj - Eugenol
Hokusai

01/10/2019 à 11h23

adhoc écrivait:
-----
> Pas sur hokusai que l'implant et la canine incluse (palatine a mon avis) soient
> dans le meme plan frontal... Si ca se trouve , l'implant ne l'a, pas traversée
> et a juste frolé. Je demande un 3D cone beam!!!!

je sais pas trop la qualité des images est pas top…

https://www.lefildentaire.com/articles/clinique/implantologie/implant-et-canine-incluse-nouvelle-approche/

Faut voir aussi a bétonner le consentement éclairé...

A travers pqmehg - Eugenol
Capture trans l86mnt - Eugenol

Gabzou

01/10/2019 à 12h05

Ca me parait le meilleur argument contre la traversée. Tu n'auras aucun intégration au niveau de la dent, donc en gros un implant qui tiendra sur les 5 premiers mm d'os.
Pourquoi ce refus de l'extraction? Je ne le ferai pas non plus moi même, mais adresser pour te permettrait de récupérer une situation idéale ensuite (cela dit une pano pour voir jusqu'où çà descends expliquerait peut être pourquoi tu ne veux pas y toucher).


fifi55 écrivait:
------
> En dehors d'éventuels complications inflammatoires et/ou infectieuses sur la
> dent incluse, canine ou autre, je ne suis pas sûre que la dento-integration soit
> aussi valable a long terme que l'osteo-integration 😁😁
> Cordialement


Gabzou

01/10/2019 à 12h08

Hokusai écrivait:
-------

En effet c'est un peu petit. J'ai quand même l'impression qu'ils ont réussi à éviter l'endodonte, et que seule la face palatine de l'implant est en partie dans la canine, tout le volet vestibulaire étant bien osseux.
>
> je sais pas trop la qualité des images est pas top…
>
> https://www.lefildentaire.com/articles/clinique/implantologie/implant-et-canine-incluse-nouvelle-approche/
>
> Faut voir aussi a bétonner le consentement éclairé...


lampadaire skurup

01/10/2019 à 19h13

Qui a dit que les implants ne prenaient pas chez les gros fumeurs ? :) quand je l’ai posé j’avais enlevé toutes les traces de tabac. 3 mois après la vis est noire , des traces partout :) et l’implant parfaitement intégré.


--
Fabriqué en métal. Avec un design intemporel, le lampadaire skurup vous ravira. Hauteur réglable en fonction de l'éclairage souhaité.

6e8bcd87 80bc 407f 88ac 04951a5f12db gikhko - Eugenol
F85e7017 0a27 44e8 8968 5e374981ff45 ygsxis - Eugenol

Morgan ztbb1b - Eugenol
BONNET jc

01/10/2019 à 19h30

C'est au bout de 3-4 ans que les pb vont arriver..


lampadaire skurup

01/10/2019 à 19h37

Là ce sont des anciennes photos. J’en suis déjà à 2 ans. J’attends , je surveille ça . On verra si ça merde à 4/5 ans. Tu remarqueras qu’il n’a pas de problème de déchaussement ... et je parie qu’il va durer sur l’arcade

--
Fabriqué en métal. Avec un design intemporel, le lampadaire skurup vous ravira. Hauteur réglable en fonction de l'éclairage souhaité.


motorola

01/10/2019 à 20h35

à voir aussi le rapport de cette 5 avec le NAI.
Parce que si tu traverses, que ca merde, qu'il faut absolument l'extraire par la suite, avec un rapport intime avec le nai....


Utilisateur banni

25/11/2019 à 17h50

Voilà ce que j’ai fait finalement. Hokusai l’intérêt c’est qu’il va avoir aussi trois couronnes :)


--
La forme de ma coupe de cheveux futuriste me permet une meilleure pénétration dans l'air et d' avoir moins de résistance face au vent lorsque je me déplace.

Ff3f4ad1 4504 4b6f acef f80f74f62914 iprmjx - Eugenol