Cookie Consent byPrivacyPolicies.comIdentification implant - Eugenol

Identification implant

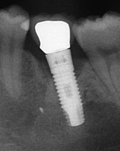
Mesdiscussions 14274 y9skw0 - Eugenol
ericthedoc

01/10/2019 à 15h43

Bonjour,
j'ai récupéré une patiente dont le dentiste est parti à la retraite.
Le pilier de la couronne sur 36 est dévissé en partit, et bien qu'il y ait une alvéolyse, l'hygiène est bonne et la gencive saine,
j'aurai bien voulu juste resserrer le pilier.

Savez-vous quel implant c'est et quel tournevis irait ?

Merci par avance

(PS la 2e pièce jointe c'est la pano)


Biomet 3i parallel walled?

Izg8rocmelbsuxojpvma - Eugenol
Isjupn6hi8aq2w7bebns - Eugenol

Mesdiscussions 14274 y9skw0 - Eugenol
ericthedoc

03/10/2019 à 18h04

Et une idée pour celui là?
C'est quoi déjà le site pour identifier les implants?
Un zimmer screw-vent 4.7?

2 n9uiko - Eugenol

Photo pluton1b h9n4ea - Eugenol
pluton

03/10/2019 à 22h04

Oui le deuxième est un tsv
L'autre la retro mal orientée ne me donne pas assez de détails....donc pas trouvé pour l'instant