Cookie Consent byPrivacyPolicies.comPlan de ttt global DVO effondrer et erosion ant +++ (et pas - Eugenol

Plan de ttt global DVO effondrer et erosion ant +++ (et pas de calage post...)

Vw campersurfvan bmnk1q - Eugenol
enlaye

07/10/2019 à 23h42

si tu veux , comme analogie , ç est le meme pb lorsque tu dois faire un complet instantané :
l os n étant pas résorbé tu n as pas la place de bien monter les dents alors tu augmentes un peu la dvo initiale , ce n est pas nécessaire , mais tu en as besoin .
ensuite lorsque l os se sera résorbé tu rebaisseras la dvo .
eh bien en fixée , l os ne se résorbant pas , ç est à toi de faire les élongations des le début .
moralité : moins tu sais travailler ( l os ) plus tu augmenteras la dvo .
ç est violent comme conclusion , hein ? :-)))
pour ça que la prothèse implantaire est fastoche :-)


lampadaire skurup

07/10/2019 à 23h56

enlaye écrivait:
------
> tu as raison , tout descend et meme la levre inf

C’est comme les testicules , avec la pesanteur et avec l’âge elles pendouillent un peu plus :)))) alors les vioques ? On a les couilles flasques ?:)))

--
Fabriqué en métal. Avec un design intemporel, le lampadaire skurup vous ravira. Hauteur réglable en fonction de l'éclairage souhaité.


Vw campersurfvan bmnk1q - Eugenol
enlaye

08/10/2019 à 00h03

le matin ça va encore :-)
aujourd'hui , papy dans un post et vioque dans l autre on prend le compte .:-)
tu parles bien pour Vulpi , hein ? :-))


Aiguille cyboyt - Eugenol
fatboy

08/10/2019 à 05h05

Comme les molaires n'ont pas l'air a plat , je serai tenté de ne pas sensiblement modifier la DV. Fais des meulages pour enlever les interferences, et tu trouveras une position de confort. Tu devras faire des elongations coronaires. Couronnes partout en zi et gouttiere pour dormir.
Il m'arrive d'augmenter la DV alors que ce ne serait pas necessaire, associé avec des incisives sup un peu plus gonflees en vestibulaire, typiquement pour eviter un lifting. C'est discuté avec les patientes, qui sont tres receptives a ce genre d'arguments.


lampadaire skurup

08/10/2019 à 06h39

Bon les gars on arrête la plaisanterie juste 1 minute , après je me remets à poster des âneries .
Je reprends les photos du cas d’Hokusai : comment pouvez-vous dire qu’il y a une baisse de DVO ?


--
Fabriqué en métal. Avec un design intemporel, le lampadaire skurup vous ravira. Hauteur réglable en fonction de l'éclairage souhaité.

596c276e 3c7b 4a5c b923 8af91141521d tzzzqa - Eugenol
8b58e548 ce80 4686 9a0e b796ddbacee0 oxgzut - Eugenol

lampadaire skurup

08/10/2019 à 06h46

Celle-ci elle a une sacrée baisse de DVO , je vous raconte pas, va falloir lui augmenter tout ça. Je vais lui caler entre les dents une côtelette d’agneau à gauche et à droite et on va augmenter tout ça.


--
Fabriqué en métal. Avec un design intemporel, le lampadaire skurup vous ravira. Hauteur réglable en fonction de l'éclairage souhaité.

8a50cef2 0d65 427b ace1 d29708eb61eb bppc2x - Eugenol

lampadaire skurup

08/10/2019 à 06h50

Ah ! Merde alors ! Finalement non ... :)


--
Fabriqué en métal. Avec un design intemporel, le lampadaire skurup vous ravira. Hauteur réglable en fonction de l'éclairage souhaité.

Df1fe9ab 3a6f 489a 8cbc 06fdeedd6b11 tsfg9k - Eugenol

Vw campersurfvan bmnk1q - Eugenol
enlaye

08/10/2019 à 07h56

oui il a raison Lampadaire il ne faut pas se jeter rapidement sur une augmentation de dvo pour une supra ant .
des cas comme le sien , il y en a de plus en plus à cause des orthos :
- ils veulent reculer un bloc ant et ils le descendent .
sont contents , ils ferment la béance ;-))
- ou alors , ils laissent un sur- contact ant au niveau des cingulums et petit à petit , le bloc fait une rotation vers l arriere . sont contents , les dents restent alignées


Vw campersurfvan bmnk1q - Eugenol
enlaye

08/10/2019 à 08h04

en tout cas une chose est sure , ç est que moi , eh ben , je n ai jamais réussi une augmentation de dvo .
bon après je suis peut être une quiche , mais je l avoue .
comme dit l expression de chez nous : tu montes et tu descends de toute façon , tu finiras de là ou tu es parti :-)))


6szjws718sv1jksw54v4mpj3a6cu - Eugenol
vulpi

08/10/2019 à 09h58

lampadaire skurup écrivait:
-----------------
> Ah ! Merde alors ! Finalement non ... :)
Quel age?


lampadaire skurup

08/10/2019 à 10h03

60 ans


--
Fabriqué en métal. Avec un design intemporel, le lampadaire skurup vous ravira. Hauteur réglable en fonction de l'éclairage souhaité.


6szjws718sv1jksw54v4mpj3a6cu - Eugenol
vulpi

08/10/2019 à 10h58

La CR sur 26 est là depuis quand?


lampadaire skurup

08/10/2019 à 11h03

j’en sais rien. Pourquoi tu veux la même ?


--
Fabriqué en métal. Avec un design intemporel, le lampadaire skurup vous ravira. Hauteur réglable en fonction de l'éclairage souhaité.


Hok 1b hgd3rj - Eugenol
Hokusai

08/10/2019 à 11h03

lampadaire skurup écrivait:
-----------------
> Bon les gars on arrête la plaisanterie juste 1 minute , après je me remets à
> poster des âneries .
> Je reprends les photos du cas d’Hokusai : comment pouvez-vous dire qu’il y a une
> baisse de DVO ?

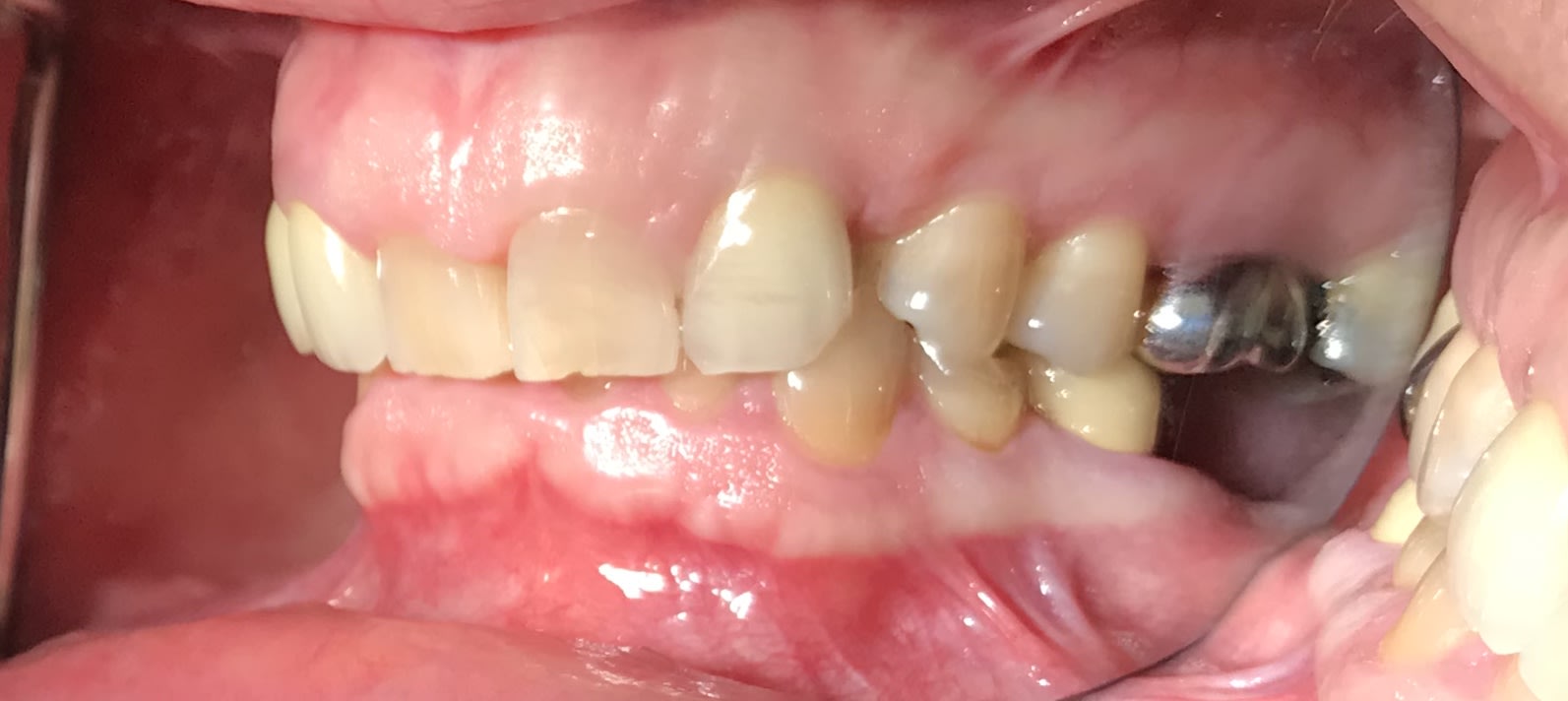
mais comment je peux faire pour retrouver de l'espace pour refaire en antérieur ?
C'est plus l'égression ant suite a l'érosion ant... que faire ?


Aiguille cyboyt - Eugenol
fatboy

08/10/2019 à 11h19

Tu as le choix, taille dans la gencive... ou augmente la DV.


Vw campersurfvan bmnk1q - Eugenol
enlaye

08/10/2019 à 11h48

et pourquoi tu veux lui faire quelque chose finalement ? :-)
elle s est réveillée un matin d octobre , et elle s est dit : tiens je n avais jamais remarqué comme je suis moche ?


Hok 1b hgd3rj - Eugenol
Hokusai

08/10/2019 à 11h49

enlaye écrivait:
------
> et pourquoi tu veux lui faire quelque chose finalement ? :-)
> elle s est réveillée un matin d octobre , et elle s est dit : tiens je n avais
> jamais remarqué comme je suis moche ?

Oui en gros c'est bien résumé...


Vw campersurfvan bmnk1q - Eugenol
enlaye

08/10/2019 à 12h24

Hokusai ,je reviens sur ton cas .et je vais te dire un truc qui va peut être te paraitre bizarre .

tu vois , lorsqu ils ont pu user ainsi les dents de devant , ç est qu ils en ont perdu de la proprioception desmodontale . ben oui sinon ils auraient mal , hein ,c est logique .
ce qui veut dire que tu ne pourras pas reconstruire un guidage ant de qualité avec ta prothese .
autrement dit il te faut chiader au max ton guidage postérieur pour compenser et protéger devant .
et bien entendu , en aucun cas une prothèse mobile te rendrait service pour ça !
voilà ça ç est dit .
la seule qui peut te sauver pour compenser l absence de guidage ant de qualité , ç est de te rapprocher au maximum de la centrée . ç est le minimum .


S8ysxdzhdqgw00w4q6m07a5d47q2 - Eugenol
Gai-Luron

08/10/2019 à 12h34

Pourquoi ya des photos sens dessus dessous???


Ylfwcw979cz1jnx9gfqeaxndiuzk - Eugenol
Algi

08/10/2019 à 13h26

Qui quand on les ouvre sont dans le bon sens ?

Parceque les programmeurs de Nonol sont des brêles ?


--

https://open.spotify.com/user/8iz7teu84dfphmgspeh2979o8/playlist/59Tfpt7zoHfkI27430lfNg?si=MAiYEkb2S6mMV6qNX2aFwg


On a toujours le choix mais entre quoi et quoi?
Vas-y boulégue et l'avenir te le dira!


Ylfwcw979cz1jnx9gfqeaxndiuzk - Eugenol
Algi

08/10/2019 à 13h27

Et les ortho y z'ont rien à dire les ortho ?

Lever la supra histoire d'avoir de la place ?


--

https://open.spotify.com/user/8iz7teu84dfphmgspeh2979o8/playlist/59Tfpt7zoHfkI27430lfNg?si=MAiYEkb2S6mMV6qNX2aFwg


On a toujours le choix mais entre quoi et quoi?
Vas-y boulégue et l'avenir te le dira!


6szjws718sv1jksw54v4mpj3a6cu - Eugenol
vulpi

08/10/2019 à 14h21

lampadaire skurup écrivait:
-----------------
> j’en sais rien. Pourquoi tu veux la même ?

Surtout pas! J'ai remarqué que bien souvent, dans des cas similaires, tu as une, des... CR métal en post. Elles sont là depuis la nuit des temps, les patients en sont très content "trente ans, ça a pas bougé..."
Et effectivement... ça a pas bougé, ça s'est pas usé, ça a fait un axe de rotation, sur-sollicité les dents en antérieur et je pense que c'est un co-facteur aggravant pour ce genre de cas. Voir même le facteur déclenchant+ une situation anatomique défavorable.
Faudrait avoir l'avis d'Enlaye...
Et même des fois tu as l'impression que les dents en arrière de la CR sont égressées.


Vw campersurfvan bmnk1q - Eugenol
enlaye

08/10/2019 à 14h44

vulpi écrivait:
-----
" Et même des fois tu as l'impression que les dents en arrière de la CR sont égressées."

oui bien vu ! ils mettent un grand coup devant avec beaucoup de mouvement et un petit coup derriere en appuyant bien fort et de coté , en alternance .
au final ils perdent le point de contact en distal du fer et la dent de derrière est egressé ou plutôt décalée de coté .


vernal

08/10/2019 à 15h36

Dans ma carrière, j'ai du faire une quinzaine de cas de ce type bruxomane avec perte de DVO.
Il me semble qu'il faut en une séance remonter la DVO dans une position "idéale" par Wax Up et gouttières transparentes permettant d'utiliser le Wax Up en bouche avec des composites photo. Des PAP provisoires résines pour les édentements. Pour moi, l'idée de remonter petit à petit est une erreur. Il faut frapper fort pour destabiliser les habitudes bruxomanes. Et puis attendre 2-3 mois. avec réévaluation régulière selon les doléances. Quand le patient émet une opinion de confort, CCM et stellite ou implants.
Le contraste entre la détresse du début de traitement et le sourire en fin de traitement est un des moments le plus agréable du métier de dentiste.
J'ai eu un seul échec sur la durée avec malheureusement une fondation confraternelle. La première patiente à qui j'ai appliqué ce traitement n'avait plus d'incisive, plus de canines, simplement des racines de canines ou d'incisives. Elle n'arrivait plus à manger sans blessures gingivales. Surface de l'ensemble des dents sans caries. Je remonte la DVO, traitement et grand sourire.
Une dizaine d'année plus tard, je soigne son mari qui me dit :"Ma femme va venir vous voir ! Elle n'est pas contente !" Arrive l'épouse :" Votre consoeur est obligée de tout refaire, mes couronnes ont été faites sur des dents cariées.... En fait sur les 15 couronnes que je lui avait faite il y avait 2 ou 3 caries proximales." Et franchement, l'hygiène était correct, pas de bourrage. Je n'ai pas d'explication quant à ces caries. Le mari a continué à venir me voir et avant son décès n'avait pas une grande estime de ma consoeur. Celle-ci n'a d'ailleurs pas refait les couronnes critiquées.... Elle a juste réussi à faire perdre confiance la patiente dans la profession de dentiste.
Hier, j'ai revu un de ces patients : traitement fait il y a 24 ans. Bon, il recommence depuis 2-3ans à bouffer ses couronnes à 78 ans. Il en est conscient. A suivre...


Vw campersurfvan bmnk1q - Eugenol
enlaye

16/10/2019 à 22h05

Hokusai , tu dis que cette image est en centrée , soit admettons .
mais en réfléchissant , je me dis que de toute façon ,ils est impossible d avoir une image d'occlusion centrée avec la medit :-))))
im- po- ssi- ble d avoir une image de centrée avec des contacts dentaires prise avec une cam .