Cookie Consent byPrivacyPolicies.comIdentification implant - Eugenol

Identification implant

Alextlse

15/10/2019 à 20h01

Bonjour,

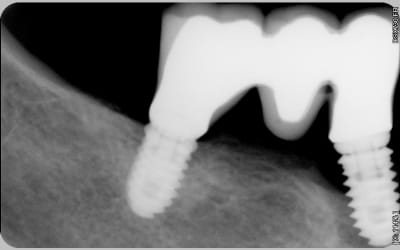
à mon tour de vous demander de l'aide, à votre avis quel est cet implant ?

J'opterais pour un MIS implant, modèle C1 en wide platform genre diamètre 5mm. Les deux implants sont les mêmes, J'aimerais garder celui en 46 et déposer celui en 44.
https://www.spotimplant.com/fr/implants-dentaire/mis/c1

Qu'en pensez vous ?

Merci d'avance pour la patiente.

Dfl8484mdr19mkpmyqzb - Eugenol

Photo pluton1b h9n4ea - Eugenol
pluton

15/10/2019 à 22h13

et bein.....rien trouvé.....
en tout cas c'est pas un MIS C1....


Alextlse

15/10/2019 à 23h38

Merci pour votre réponse, je disais MIS car la patiente a un courrier disant que c'est du MIS datant de 2009...
Mais encore faut-il savoir quel modèle :(
Les connexions sont différentes entre les modèles MIS ?

Je pensais que ce C1 s'en rapprochait j'ai pas trouvé mieux...

C1 bqur37 - Eugenol

Photo pluton1b h9n4ea - Eugenol
pluton

16/10/2019 à 10h00

c'est pas les bonnes spires....elles s’épaississent sur le C1 alors que là tu as des spires triangulaires sur toute la longueur
en plus de çà la connexion n'a pas l'air d'être conique....on dirait plus une connexion "Zimmer" ou à plat....
ce que je trouvais de plus proche c'est des osstem....mais c'est une connexion conique Astra ou alors des blueskybio, mais çà correspond pas non plus parfaitement (le léger retrait au col...)


dr.demolay

16/10/2019 à 16h00

démonte le bridge en laissant la dent sur l'implant post fraise et tu auras accès à la vis puis en démontant le pilier à la connexion, on pourras alors trouver une compatibilité.


Alextlse

24/11/2019 à 16h41

UP
je cherche encore, est-ce que ça pourrait être un Athogyr BL REG comme celui de cette photo ?
La petite spire au col s'en rapproche... C'est ce que j'ai trouvé de plus ressemblant mais je n'ai jamais posé du Anthogyr...

https://www.spotimplant.com/fr/implants-dentaire/anthogyr/axiom-reg?fbclid=IwAR2icN4b78NbdVxDAPNgvCbjmQc5mKKV09600ZCW5jo5sY0PDE0Nn8Wg_Ss

Merci pour vos conseils en tout cas, vous êtes des pros !


Titane xrbscj - Eugenol
Ta6V

27/11/2019 à 10h05

Non ce n'est pas un Axiom BL.
Le trait léger retrait sous le col est perturbant.