Cookie Consent byPrivacyPolicies.comAvis sun cas d'endo - Eugenol

Avis sun cas d'endo

Jpr nfz3no - Eugenol
balaninu

22/10/2019 à 19h00

Une patiente consulte pour petite douleurs coté 40.
La 47 a un FM et est pilier de bridge 45-46-47.
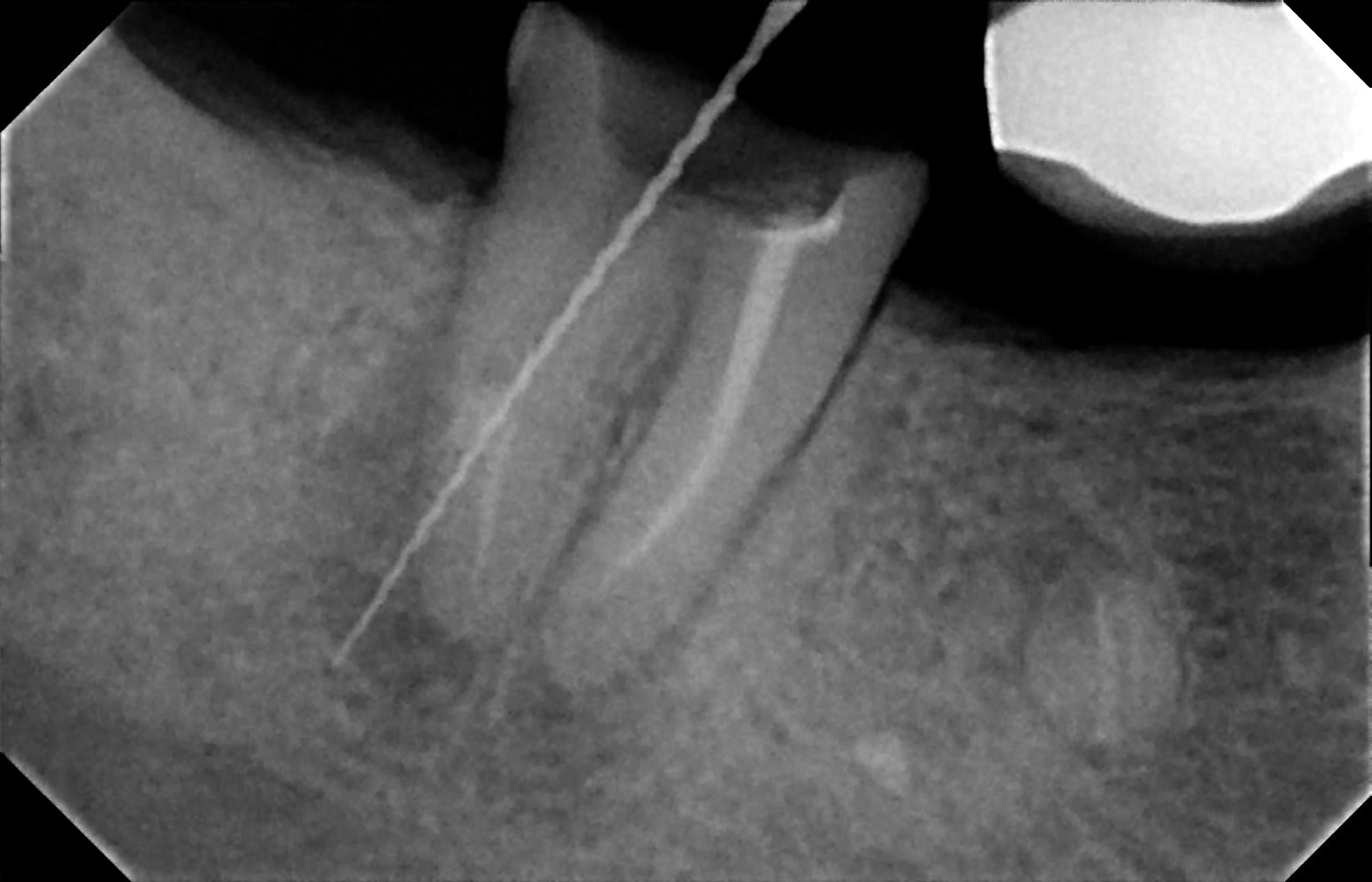
Présence d'un granulome le long de la racine distale.
Je décide de tenter une reprise d'endo, on ne sait jamais vu l'importance de la dent.
Une fois le FM enlevé, la première broche révèle un petit saignement.
Ci joint une radio avec une broche qui montre une perforation.
En attente, j'ai mis du sealapex.
Donc, à vos avis pour tentative de conservation de la dent.
Merci


Jpr nfz3no - Eugenol
balaninu

22/10/2019 à 19h01

la radio ne passait pas dans ma demande

Sand47 2 m6u87b - Eugenol

Vw campersurfvan bmnk1q - Eugenol
enlaye

22/10/2019 à 19h17

ç est plus un cas de racine cassée que d endo , non ?


PtnbZ

22/10/2019 à 19h22

Bien d’accord avec papy !


doc.yoyo

22/10/2019 à 19h35

+1 fracture due au tenon


E922cb58f40adb4b770d0cd0158b332f p1seg7 - Eugenol
chic22

22/10/2019 à 21h06

+1 racine fracturée, et sympa la racine devant


Ylfwcw979cz1jnx9gfqeaxndiuzk - Eugenol
Algi

22/10/2019 à 21h14

Fracture ou fausse route lors de l'utilisation du forêt...

Ensuite.... Y'a deux belles péches apicales...

Faudra donc reprendre l'endo et, si tu y arrives, attendre la cicatrisation...
Sans oublier de colmater la fausse route à la biodentine avant.

Ensuite faudra un I core... Mais vas y faire un ancrage dans ta biodentine...

Ensuite.... Ensuite le plancher de la chambre au niveau de la furcation me paraît bien mince...

Ensuite... Ben ensuite ou t'es dieu et tu fais repousser une nouvelle dent ou tu la vires et tu espères avoir assez d'os pour poser 2 implants.

--

https://open.spotify.com/user/8iz7teu84dfphmgspeh2979o8/playlist/59Tfpt7zoHfkI27430lfNg?si=MAiYEkb2S6mMV6qNX2aFwg


On a toujours le choix mais entre quoi et quoi?
Vas-y boulégue et l'avenir te le dira!


Hok 1b hgd3rj - Eugenol
Hokusai

22/10/2019 à 21h37

C est plus un cas d avulsion que d endo...


Tozzi

23/10/2019 à 07h41

La racine distale est cuite.
Mais tu peux toujours garder la mésiale comme support, possible mais risqué, à voir dans le contexte global.


Jpr nfz3no - Eugenol
balaninu

23/10/2019 à 09h58

En gros, je suis naïf optimiste...... Tant pis
Ou peut être Dieu pour notre ami niçois.

Question annexe pour de futurs cas: Pour colmater les fissures, avez vous un produit particulier ou bien pâte endo classique?


Nouveau image bitmap fz77zh - Eugenol
Sethef

23/10/2019 à 10h00

Fêlure radiculaire=davier
Si y'a bien un truc irrécupérable, même avec toute la bonne volonté du monde, c'est ça.


Ylfwcw979cz1jnx9gfqeaxndiuzk - Eugenol
Algi

23/10/2019 à 10h00

Je sais pas si tu es dieu mais moi je suis pas nicois, malheureux, mais marseillais....

Ça va t'es pardonné tu m'as pas pris pour un varois...


--

https://open.spotify.com/user/8iz7teu84dfphmgspeh2979o8/playlist/59Tfpt7zoHfkI27430lfNg?si=MAiYEkb2S6mMV6qNX2aFwg


On a toujours le choix mais entre quoi et quoi?
Vas-y boulégue et l'avenir te le dira!


Jpr nfz3no - Eugenol
balaninu

23/10/2019 à 10h03

Boulègue se dit aussi à Nice
Dieu


Aiguille cyboyt - Eugenol
fatboy

25/10/2019 à 05h50

Extraction, 2 implants.
Si ta patiente ne peut pas se le permettre et qu'elle ne pese pas 120 kg, tu peux essayer de lui refaire un bridge avec la racine mesiale. Precise bien que c'est du temporaire et que la seule vrai solution c'est implant ou stellite.
Pour refaire ton endo, tu as sectioné le bridge entre 46 et 47, c'est une mauvaise idee, tu risques de casser la racine de 45 a cause du porte-a-faux.
Bonne chance