Cookie Consent byPrivacyPolicies.comidentification implant - Eugenol

identification implant

sarer2

24/10/2019 à 22h25

Bonsoir,
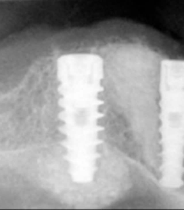
je cherche à identifier ces implants (cf retro-alvéolaire) pour pouvoir refaire les prothèses.
Apparemment posés en centre dentaire (peut-être Dentexia d'après le patient).

Merci d'avance pour votre aide.

Sloexhr4lj2pb6ovqh28 - Eugenol

Photo pluton1b h9n4ea - Eugenol
pluton

25/10/2019 à 00h05

il y a de forte chance pour que çà soit des AB Dental
https://whatimplantisthat.com/implants/details/i5-conical-groovy


sarer2

25/10/2019 à 07h28

J’ai regardé leur site et des images radio sur le net et effectivement c’est très ressemblant (photos ci -jointes)
Je vais appeler leur service technique pour confirmation

Merci pour ton aide précieuse

E19961ea fa17 46f1 8116 67f9655acd5f gdize0 - Eugenol
F1f6b7ff b293 44dd 8e92 51b5b9675895 jbjo4a - Eugenol

Img 5097 lxchd7 - Eugenol
Queixal

25/10/2019 à 12h40

castorama

Cheville placo cheville placo metal 12x32mm vis lot de 100 eq9nsa - Eugenol