Cookie Consent byPrivacyPolicies.comCBCT Kavo VS. Planmeca - Eugenol
Eroro

07/11/2019 à 14h47

Bonjour a tous!
J'aurais besoin de vos expériences et vos conseils pour le choix d'un CBCT.
Avec mes associés nous avons décidé de changer le vieux cbct du cabinet et nous avons réduit nos choix aujourd'hui à Kavo et Planmeca.
Je n'ai aucune expérience avec Kavo (fiabilité, qualité image, ergonomie du logiciel, facilité manipulation ...).

Lequel des Kavo ou Planmeca me conseilleriez vous svp?

Nous a avons un exercice omni très orienté chir/implanto/ chir sous AG

Merci de votre aide!


dcs

07/11/2019 à 17h53

morita pas photo!!! au niveau image sinon va au moins chère si la qualité n est pas importante . en evitant kodak


Photo pluton1b h9n4ea - Eugenol
pluton

07/11/2019 à 18h20

planmeca, ils irradient à mort....doses très importantes...
j'ai un Kavo depuis quelques mois, outil parfait, doses très faibles et bonne qualité d'image
en plus le logiciel On Demand 3D est bien fichu avec une bonne bibliothèque d'implant

Morita super pour la 3D mais pas très bon en pano, contrairement à la Kavo (instrumentarium à l'origine)
c'est important, pour moi, en omnipratique d'avoir une pano de qualité.....
et Morita est beaucoup plus cher.....


yup

07/11/2019 à 19h17

j'ai entendu parler d'une machine de planmeca ou kavo, je sais plus , mais qui ferait que des petits champs , du coup serait sensiblement moins chere que les machines polyvalentes. Est ce que qqn ici en sait d'avantage?


Olieve

07/11/2019 à 21h34

pluton écrivait:
------
> planmeca, ils irradient à mort....doses très importantes...

Ça c’étaient les résultats d’une étude de Ludlow datant d’une dizaine d’années. Les derniers appareils ont des programmes ultra low doses très efficaces.


Photo pluton1b h9n4ea - Eugenol
pluton

07/11/2019 à 22h27

heu...c'est le commentaire de mon PCR qui en contrôle quand même pas mal sur mon secteur, dont des machines très récentes....
il était bluffé de la qualité d'image en pano vu la dose délivrée: 60 mGy


Eroro

08/11/2019 à 05h20

Merci pour vos réponses.
Sinon en terme de qualité image ,SAV et facilité utilisation logiciel les 2 systèmes sont quasi pareils ?
Merci


Olieve

08/11/2019 à 08h39

pluton écrivait:
------
> heu...c'est le commentaire de mon PCR qui en contrôle quand même pas mal sur mon
> secteur, dont des machines très récentes....
> il était bluffé de la qualité d'image en pano vu la dose délivrée: 60 mGy

C'est vrai que 60mGy c'est très très peu, ma Promax est à 96 pour la Pano.
Mais un CBCT 8*10 en en low dose est à 62 mGy ! Et avec une image tout à fait correcte.
Donc "Irradier à mort" est un peu exagéré :-)

Pour Eroro, le logiciel c'est vraiment très personnel, mais c'est un point très important. Je trouve Romexis très bien mais je sais que beaucoup détestent.


Photo pluton1b h9n4ea - Eugenol
pluton

08/11/2019 à 08h52

Eroro écrivait:
-----
> Merci pour vos réponses.
> Sinon en terme de qualité image ,SAV et facilité utilisation logiciel les 2
> systèmes sont quasi pareils ?
> Merci

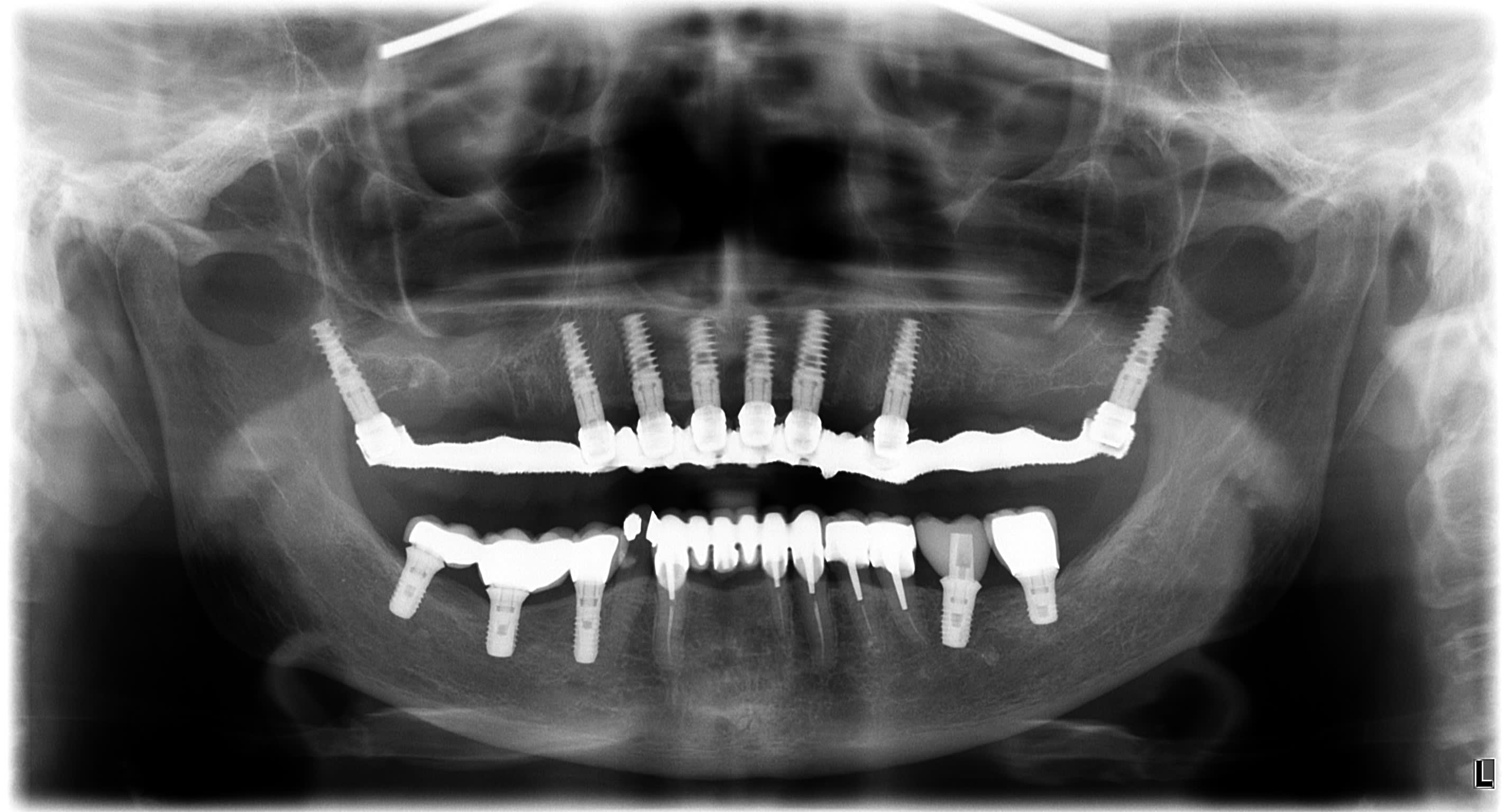
qualité d'image....je te laisse juger une pano (exportée en jpeg donc tu perds en définition), çà vaut tous les commentaires....
le On Demand 3D....pas très compliqué à prendre en main si tu connais un peu les logiciels de planification implantaire....

Kavo3d jl6avh - Eugenol

X ray 03 medium zvq18j - Eugenol
cyber_quenottes

08/11/2019 à 08h59

pour ce qui est de l'ergonomie je dirais aussi Morita et Vatech qui emportent tous les marchés en ce moment
temps de pose très courts

j'ai mesuré tout çà en dose brute à 1m

je confirme que les planmeca donnent de fortes doses


Veraview POCS 3D F40 90 kV 7 mA 9,4"
délivre 3100 nSv à 1m

3D MORITA X550 60 kV 7 mA 9,4"
délivre 5600 nSv à 1m

les planmeca sont des engins qui tirent longtemps
Planmeca ProMax 3D 90 kV 14 mA 15"
délivre 11 300 nSv à 1m

VATECH PaX-i 3D Smart
94 kV 8,4 ma 18"
delivre 3900 nSv à 1m

MYRAY Hypérion X5
79 kV 7 mA 12,68"
délivre 1220 nSv à 1m

carestream 3D CS 8100
85 kV 5 mA 15"
délivre 6100 nSv à 1m

la même ailleurs
délivre 6200 nSv

carestream CS 8100 3D
90 kV 10 mA 15"
délivre 20700 nSv à 1m

SIRONA Orthophos XG 3 DS CEPH
85 kV 7 mA 14"
délivre 4300 nSv à 1m


====================
PANOs 2D
planmeca PM2002 EC Proline
66 kV 8 mA 18" => 183 nSv

Sirona 2D => 570 nSv


X ray 03 medium zvq18j - Eugenol
cyber_quenottes

08/11/2019 à 09h02

NB : je fais toujours la mesure en mode
homme fort
qualité HD
grand champ
bref au MAX

par contre de mémoire les Vatech ont un mode ULD aussi


Azerty06

08/11/2019 à 10h17

Bonjour, une petite parenthèse pour Pluton ; c'est du Tov en haut ?


Photo pluton1b h9n4ea - Eugenol
pluton

08/11/2019 à 11h24

Azerty06 écrivait:
--------
> Bonjour, une petite parenthèse pour Pluton ; c'est du Tov en haut ?

ouaip...;-)


Dr juju

08/11/2019 à 14h51

C est sur pour la carestream 3D cela semble énorme.


X ray 03 medium zvq18j - Eugenol
cyber_quenottes

08/11/2019 à 17h00

au poste de tir à 1,7 m environ et derrière 2mm de plomb on a encore 60 nSv pour la carestream

derrière un mur 0,5 mm de plomb et environ 1,5 m
j'ai 56 nSv pour une Vatech Pax-i 3D

ca donne le niveau