Cookie Consent byPrivacyPolicies.comréhabilitation après stellite - Eugenol

réhabilitation après stellite

chichi

25/11/2019 à 19h38

bonjour

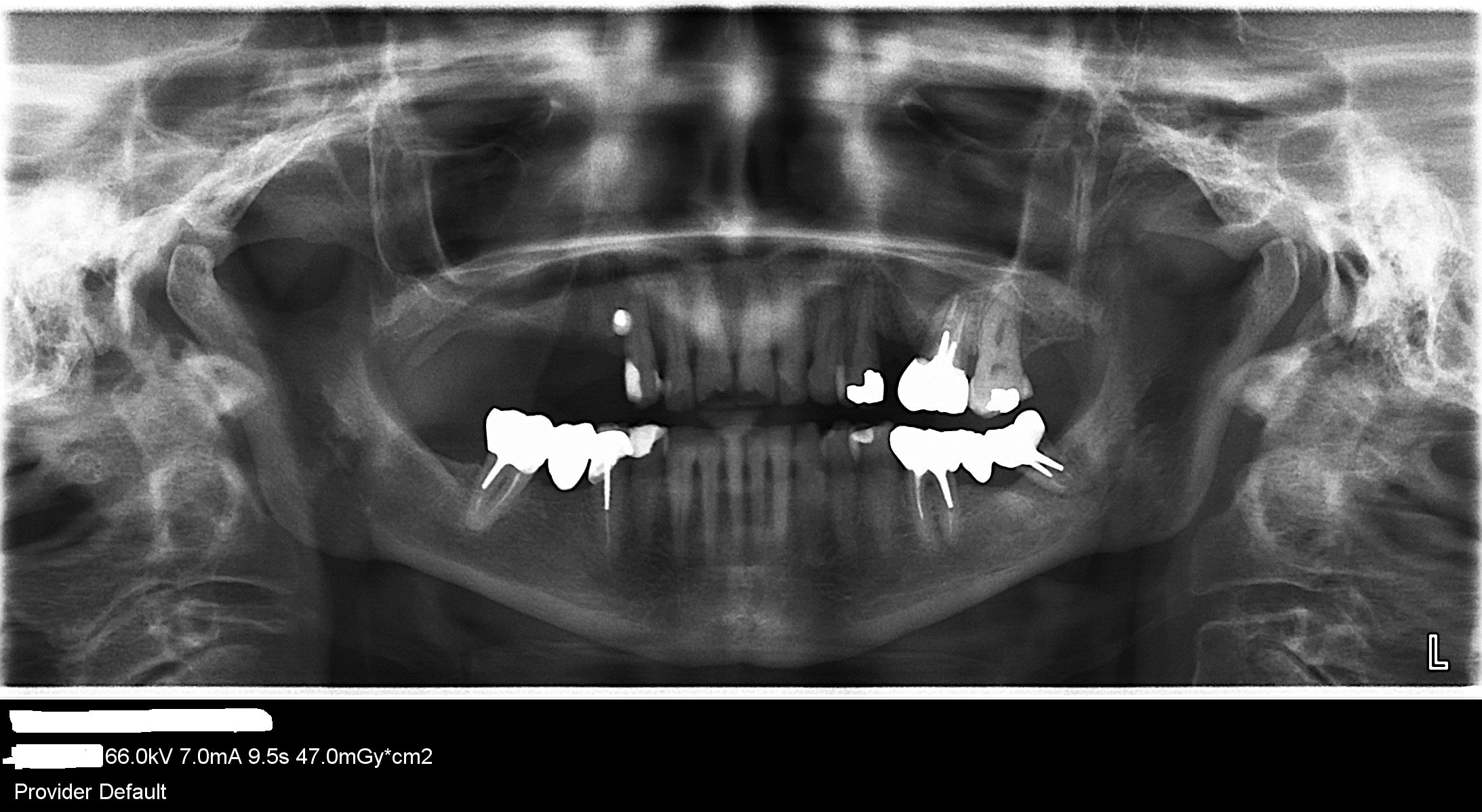
que feriez vous? j'ai 13 24 26 supports de crochets de l'ancien stellite qui bougent beaucoup. J'ai pour l'instant fait une contention collée de 13 à 24, n'ayant pas sauté le pas de les extraire . Mais faudrait pas porter le stellite car il traumatise ces trois dents lorsqu'il est en fonction. J'ai pensé à extraire tout de même ces trois dents mobiles stade 2/3, et faire un bridge de contention de 12 à 23. avec attachements extra coronaires en 12 et 23 et nouveau stellite .

Nive97rev8kwvkoq0m9c - Eugenol

Ylfwcw979cz1jnx9gfqeaxndiuzk - Eugenol
Algi

25/11/2019 à 20h44

J'éviterai les attachements... Compliqué casse gueule et nécessitant de solidariser les dents... In fine si y'en a une qui merde tu perds tout...

Reste sur l'idée de contention et vois si tu peux faire un truc avec des fraisages

--

https://open.spotify.com/user/8iz7teu84dfphmgspeh2979o8/playlist/59Tfpt7zoHfkI27430lfNg?si=MAiYEkb2S6mMV6qNX2aFwg


On a toujours le choix mais entre quoi et quoi?
Vas-y boulégue et l'avenir te le dira!


chichi

25/11/2019 à 22h29

Merci , donc tu ferais des couronnes fraisées sur certaines incisives et sur 27?


Ylfwcw979cz1jnx9gfqeaxndiuzk - Eugenol
Algi

25/11/2019 à 22h46

Fraisages sur les dernière dents à la place des obturation... T'as déjà la taille précuite...

Sur la 7 bof.

Après faut voir l'oclusion et ce que tu veux faire des antérieures....

--

https://open.spotify.com/user/8iz7teu84dfphmgspeh2979o8/playlist/59Tfpt7zoHfkI27430lfNg?si=MAiYEkb2S6mMV6qNX2aFwg


On a toujours le choix mais entre quoi et quoi?
Vas-y boulégue et l'avenir te le dira!