Cookie Consent byPrivacyPolicies.comQuel marque implant ? - Eugenol

Quel marque implant ?

Glenn

03/12/2019 à 17h00

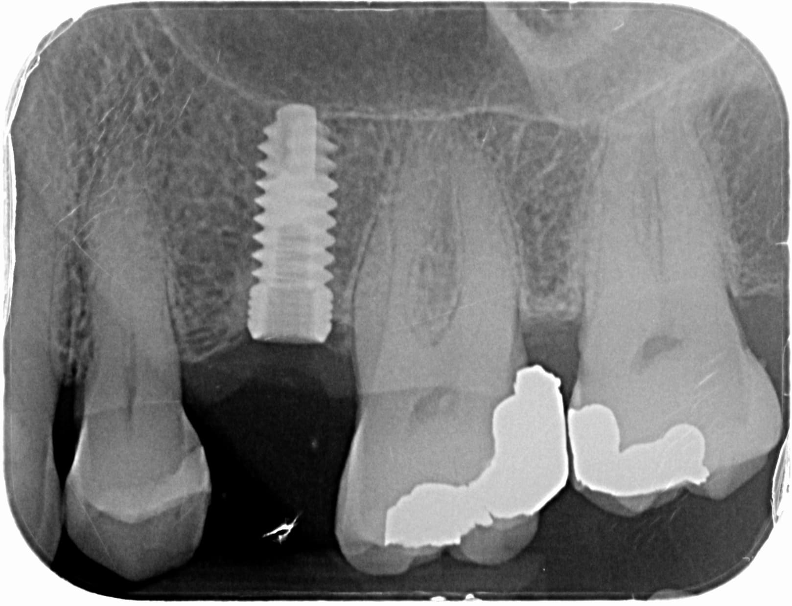
Bonjour,

Sauriez-vous de quelle marque d'implant il s'agit ?
La connexion est un hexagone interne.

Merci d'avance.

Lrypyvixkoxe6f2suagh - Eugenol

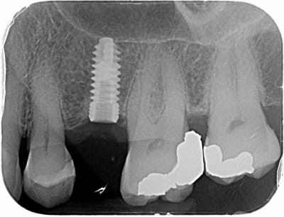
Glenn

05/12/2019 à 12h04

Ce serait pas ça ?
Si un connaisseur pouvait confirmer (genre Pluton), ce serait bien sympa.

Screenshot 2019 12 05 what implant is that lmcc23 - Eugenol

Titane xrbscj - Eugenol
Ta6V

05/12/2019 à 14h25

Y a de l'idée, mais au niveau du micro-filet, il y a une différence.


Glenn

05/12/2019 à 14h53

Un ace peut-être ?

Screenshot 2019 12 05 what implant is that 1 l8gllw - Eugenol

Captain america shield wallpaper5 blggit - Eugenol
Bodysilver

05/12/2019 à 15h14

connectique type Zimmer (cone 90° + hexagone interne)
3 rainures au col
filet en v (l'image 3D de l'implant n'est pas complétement de profil donc c'est trompeur)
goujures a l'apex quasi identiques
ca semble concordé

Adin swell ø4 - Eugenol

Glenn

05/12/2019 à 16h13

Oui, ça semble être ça, bien vu.
C'est des implants Zimmer sur la photo ?


Titane xrbscj - Eugenol
Ta6V

05/12/2019 à 17h18

C'est du ADIN Swell, avec un Ø d'au moins 4.2mm.
Mais effectivement connectique type ZIMMER.


Glenn

05/12/2019 à 18h01

Merci beaucoup à vous deux !


Captain america shield wallpaper5 blggit - Eugenol
Bodysilver

06/12/2019 à 09h01

Ah oui le boulet... J'ai oublié de mettre la marque d'implant
ADIN swell Ø4,2