Cookie Consent byPrivacyPolicies.comAvis Limes chinoises mécanisées - Eugenol

Avis Limes chinoises mécanisées

Carieplus

08/12/2019 à 20h17

Bonjour,

Je voiudrais avoir vos expériences concernant les limes chinoises NITI mécanisées vendues sur Ebay?

Il y'a des copies de progtaper next et gold. Qu'en pensez vous?

La tentation est grande au vu des prix...

Merci


azerty

09/12/2019 à 11h55

elles vont pas mal


Gil4U

07/02/2020 à 15h18

Si tu cherches de bonnes copies ,il y a les access chez gacd!


Hok 1b hgd3rj - Eugenol
Hokusai

07/02/2020 à 15h20

Gil4U écrivait:
-----
> Si tu cherches de bonnes copies ,il y a les access chez gacd!

t'as essayé les ACCESS Reverso BLUE ?? tu as un avis ?

La y a pas mal de satisfaction avec les limes fanta...


driss16

07/02/2020 à 15h56

SANDENT NITI Super Files en rotation continue très bien et pas d' effet d' aspiration vers l' apex.


Logo wam1 surda3 - Eugenol
WAMkey

10/02/2020 à 19h34

Je croyais que vous regrettiez la disparition des FANTA...?
https://www.eugenol.com/sujets/421920-limes-fanta-wam?page=5#post_1052555

Alors du coup, c'est FANTA qui vous manque, ou c'est GACD? :-)

Gil4U écrivait:
-----
> Si tu cherches de bonnes copies ,il y a les access chez gacd!


Capture d  cran 2015 03 12 12.28 - Eugenol
chicot29

10/02/2020 à 20h42

Blue s one 25-04 blue s one 25-06.


--
En cas d'échec des négociations conventionnelles, seriez-vous prêt à suivre la promotion d'un déconventionnement massif de la profession par les syndicats représentatifs ? OUI - NON
Participez, anonymement, sur https://goo.gl/forms/nAO0htnsVmxotjYm1

Endo 37 2 bwt978 - Eugenol

4a338550 6a5b 47ea b2a7 d3cb675c5076 oni5gh - Eugenol
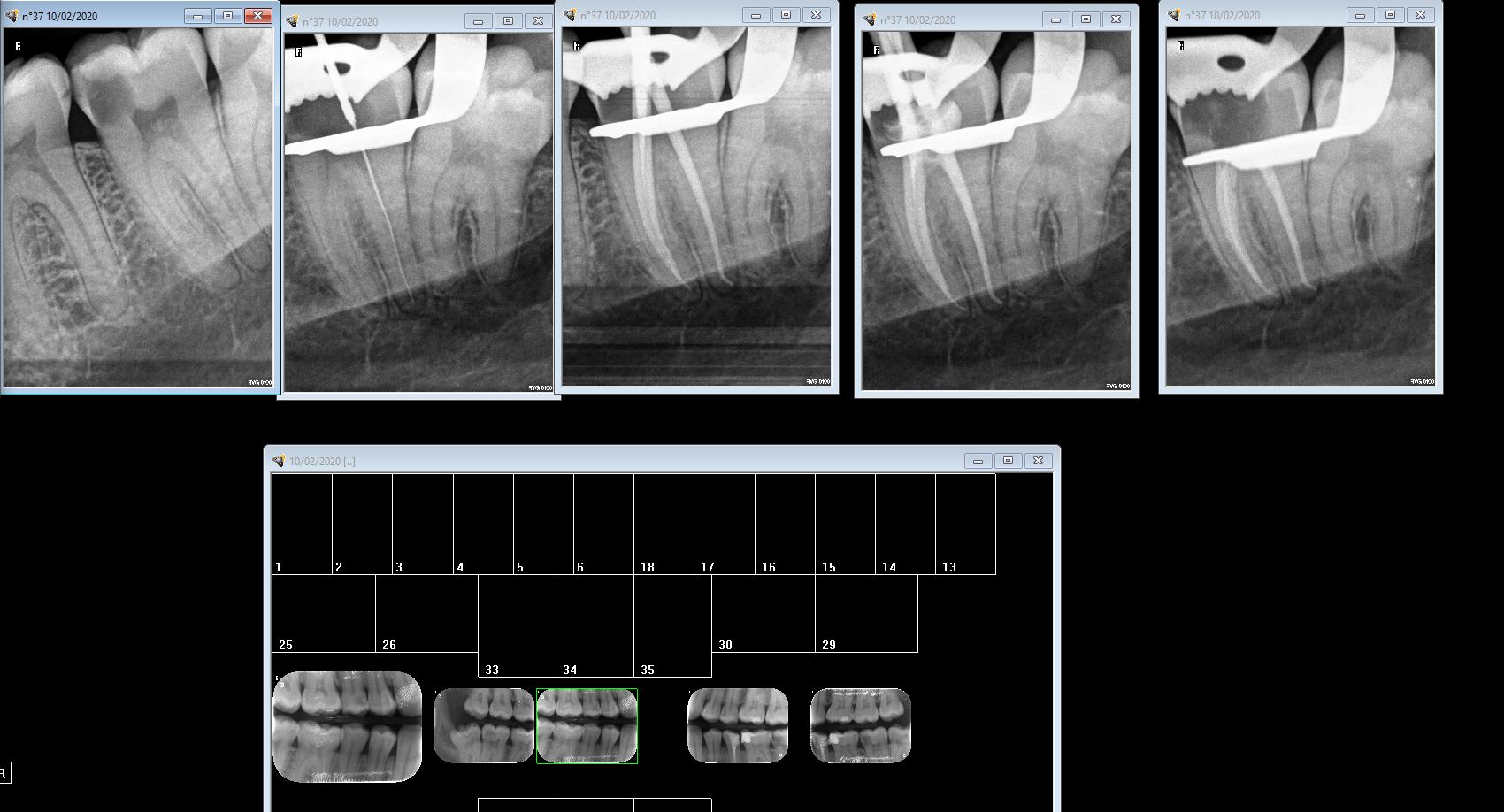
fistule 69

10/02/2020 à 21h17

Chicot...
La 6 pour le distale et la 4 pour les médiaux ?
Conicité variable chez VDW.6-4-2...
Tes impressions ?
😷🤗


Capture d  cran 2015 03 12 12.28 - Eugenol
chicot29

10/02/2020 à 23h30


Je commence à 4% et finis à 6%. Faut plus de canaux traités pour avoir une impression.


--
En cas d'échec des négociations conventionnelles, seriez-vous prêt à suivre la promotion d'un déconventionnement massif de la profession par les syndicats représentatifs ? OUI - NON
Participez, anonymement, sur https://goo.gl/forms/nAO0htnsVmxotjYm1