Cookie Consent byPrivacyPolicies.comtrauma enfant - Eugenol

trauma enfant

i73

16/12/2019 à 15h50

Bonjour

Pour être sûre de ne rien rater...
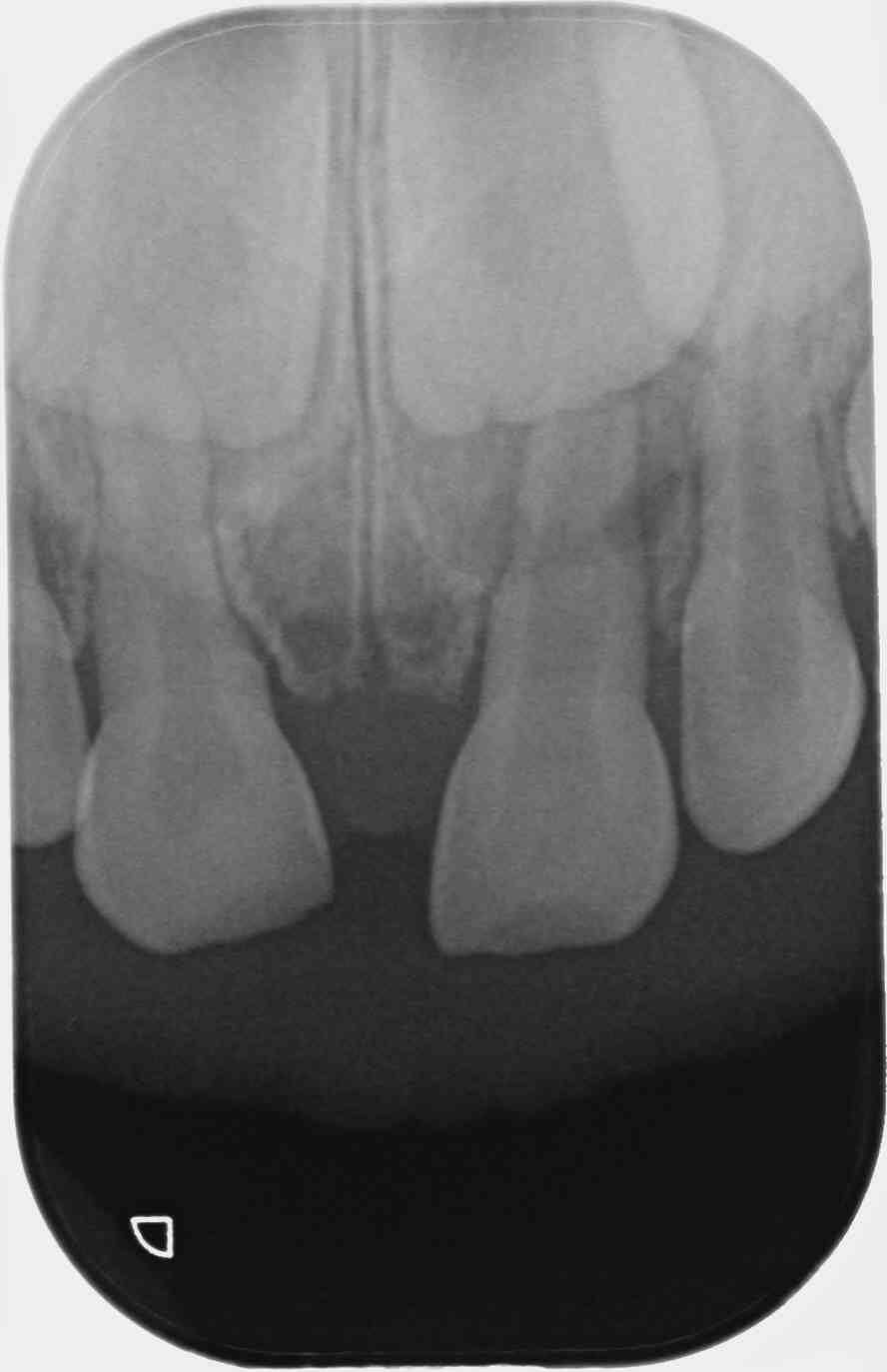
Garçon de 2 ans 11 mois, chute sur la face, peu de douleur, pas de mobilité, saignement sillon de 51.
Je ne vois rien de particulier à la radio.

Et vous?

Sgizsgaon9l6zyvskfpj - Eugenol

Morgan ztbb1b - Eugenol
BONNET jc

16/12/2019 à 17h09

J'ai eu un cas comme cela avec abcès sur la dent définitive plusieurs années après. Il te faudra vérifier la vitalité de la 11.


i73

17/12/2019 à 11h51

Merci !


hadrien06

17/12/2019 à 20h34

Hello i73,

Diagnostic de concussion je pense,

Voilà un site pour t'aider dans la prise en charge des cas de traumatismes dentaires chez l'enfant et l'adolescent (en cours de développement à Paris 5) : http://www.trauma-app.org/


Aiguille cyboyt - Eugenol
fatboy

18/12/2019 à 04h32

Sinon il y a l'excellent (mais payant) https://dentaltraumaguide.org/dental-guides/permanent-extrusion/permanent-extrusion-prognosis/


i73

20/12/2019 à 10h54

merci pour les liens


Bagheera tudzjy - Eugenol
bagheerra

20/12/2019 à 13h01

Il faudrait l'avis d'un pédo, mais en ce qui me concerne dans ce cas je fais une simple surveillance tous les 6 mois, y compris radiographique. Ce genre de trauma est extrêmement fréquent, les minéralisations ou nécrose des incisives lactéales consécutives sont aussi forcément très fréquentes. Les complications sont rares car la nature est plutôt bien faite sur ce coup là. La complication la plus évidente est un réveil infectieux aigu ou l'apparition d'une parulie (fistule) à l'apex, la plus vicieuse est la formation d'un granulome/kyste sans aucun symptôme clinique, avec déviation du germe de la centrale, indiquant l'avulsion de la dent lactéale concernée. Vu une fois en 12 ans.
Trauma à 2 ans, rvg à l'âge de 3 ans puis 5 ans (avulsion indiquée) puis à 7 ans.
Les centrales sont forcément vivantes ici, je ne vois pas comment il pourrait y avoir un abcès plusieurs années après sauf fait nouveau.

C1 oryjoj - Eugenol
C4 j1azxq - Eugenol
C6 hhc006 - Eugenol

i73

20/12/2019 à 13h57

oui j'ai demandé l'avis de la pédo, simple surveillance elle refera un contrôle radio, l'enfant y est suivi pour des hypominéralisations