Cookie Consent byPrivacyPolicies.comque faire? - Eugenol
moi22

09/01/2020 à 16h30

Bonjour à tous,
J'ai posé un implant via un summers ( 2-3mm d'os de base et implant 5x8 ) sur 26 et lors du controle post 3 mois je vois que la majorité du bio oss à disparu ( il reste quelques zones par ci par là)
Sinus RAS
Implant complètement stable et ostéointégré...que faire ? déposer? prothèse ?
je posterai la radio plus tard.
Merci


Chinkungunya

09/01/2020 à 16h31

Pilier et provisoire.. si echec tu reutiliseras le pilier. Et tu reevalues dans 6 mois?


Utilisateur banni

09/01/2020 à 16h41

Le bio oss s’est barré suite à une perfo. J’ai déjà vu des implants dont la moitié est dans le sinus sans aucun bio oss autour. En gros l’implant repose dans le vide sans aucun problème :)

Au passage 2/3 mm d’os pour un summers pour poser du 8 ça n’est pas forcément indiqué , à moins d’être un King du summers :)


--
La forme de ma coupe de cheveux futuriste me permet une meilleure pénétration dans l'air et d' avoir moins de résistance face au vent lorsque je me déplace.


moi22

09/01/2020 à 17h33

Donc tu garderais l'implant ?

Mireille-Mathieu écrivait:
----------------
> Le bio oss s’est barré suite à une perfo. J’ai déjà vu des implants dont la
> moitié est dans le sinus sans aucun bio oss autour. En gros l’implant repose
> dans le vide sans aucun problème :)
>
> Au passage 2/3 mm d’os pour un summers pour poser du 8 ça n’est pas forcément
> indiqué , à moins d’être un King du summers :)
>
>
> --
> La forme de ma coupe de cheveux futuriste me permet une meilleure pénétration
> dans l'air et d' avoir moins de résistance face au vent lorsque je me déplace.


Utilisateur banni

09/01/2020 à 17h39

Envoie la radio pour qu’on voit


--
La forme de ma coupe de cheveux futuriste me permet une meilleure pénétration dans l'air et d' avoir moins de résistance face au vent lorsque je me déplace.


moi22

10/01/2020 à 15h19

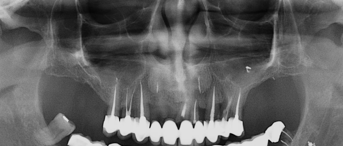
et voila la radio

Implant xtw7e5 - Eugenol

Capture d écran 2018 05 16 à 21.30 - Eugenol
Daryl

10/01/2020 à 15h33

moi22, on voit le nom de ton patient


moi22

10/01/2020 à 16h32

merci
Daryl écrivait:
-----
> moi22, on voit le nom de ton patient


moi22

10/01/2020 à 23h39

up


Utilisateur banni

12/01/2020 à 12h02

Honnêtement Je le sens pas ton truc :) je pensais que l’implant reposait complètement dans le vide sans rien autour. Là tu n’as pas que du bio oss autour. C’est de la fibro intégration sur les 2/3.


--
La forme de ma coupe de cheveux futuriste me permet une meilleure pénétration dans l'air et d' avoir moins de résistance face au vent lorsque je me déplace.


moi22

12/01/2020 à 13h39

Que veut tu dire dans le vide? parce que la ça l'est dans le vide vu l'os autour..

Mireille-Mathieu écrivait:
----------------
> Honnêtement Je le sens pas ton truc :) je pensais que l’implant reposait
> complètement dans le vide sans rien autour. Là tu n’as pas que du bio oss
> autour. C’est de la fibro intégration sur les 2/3.
>
>
> --
> La forme de ma coupe de cheveux futuriste me permet une meilleure pénétration
> dans l'air et d' avoir moins de résistance face au vent lorsque je me déplace.


Utilisateur banni

12/01/2020 à 20h52

T’as des implants où il n’y a strictement rien autour Dans le sinus :) (Ni le moindre bio oss ni du tissu)

--
La forme de ma coupe de cheveux futuriste me permet une meilleure pénétration dans l'air et d' avoir moins de résistance face au vent lorsque je me déplace.


moi22

13/01/2020 à 11h57

donc tu déposes?


2 n2dlt7 - Eugenol
2+2®

13/01/2020 à 12h08

Oui et t'en profites pour virer toute la merde dans le sinus


S2y2o1v7q53ws4r5wy6ou8czrpom - Eugenol
pxav

13/01/2020 à 12h41



si l'implant est stable je passerais par une provisoire mais en attendant au moins 6 mois
si c'est stable avec un bon son à la percussion, je ne vois pas de raison de déposer à 3 mois.
--
xbk
La connaissance s'acquiert par l'expérience, tout le reste n'est que de l'information." ALBERT EINSTEIN


Utilisateur banni

13/01/2020 à 15h18

Je vais poser une question simple : est-ce que ça vous viendrait à l’esprit de poser une couronne sur une dent parfaitement stable qui a un bon granulome à l’apex ... ?


--
La forme de ma coupe de cheveux futuriste me permet une meilleure pénétration dans l'air et d' avoir moins de résistance face au vent lorsque je me déplace.


S2y2o1v7q53ws4r5wy6ou8czrpom - Eugenol
pxav

13/01/2020 à 16h07

je peux me tromper, mais je ne pense pas voir un granulome à l'apex de l'implant mais une muqueuse hyperhémiée ou congestionnée, au dessus d'une zone osseuse qui me parait saine et semble faire plus de 2/3 mm..
après avoir longtemps (depuis 1989) pratiqué des fenêtres latérales, je ne fais pratiquement que des summers (exemple ci dessous) en laissant du temps à la cicatrisation et jusqu'à présent pas de soucis particulier, et avant d'aller "bricoler" dans un sinus pour retirer du biooss (que je n'aime pas du tout) et/ou du tissus de "granulation", je prends le temps, et si l'implant est stable je ne me pose pas de question.
Ceci étant libre à chacun de pratiquer autrement

et comme tu peux le constater rien de "magique" ni dans la chir, ni pour la prothèse, très "bof" mais pas de problèmes pour le moment.
--
xbk
La connaissance s'acquiert par l'expérience, tout le reste n'est que de l'information." ALBERT EINSTEIN

Be ja 07.11 - Eugenol
Be ja pano du 20.06 - Eugenol
Be ja 07.06 - Eugenol
Be ja 18.10 - Eugenol

Vw campersurfvan bmnk1q - Eugenol
enlaye

13/01/2020 à 17h11

ce que j aime bien chez toi , Pxav , ç est ta faculté de pouvoir transformer un cas complexe en un cas simple .


Utilisateur banni

13/01/2020 à 17h36

Je parlais de tissu de granulation sur dent et non implant.

Donc là la présence de tissu de « on ne sait pas » au contact de l’implant , fait qu’on peut considérer que nous avons une osteointegration ou une fibrointégration ?

Je vais être franc , dans ce genre de cas , ce qui est certain c’est que je ne mettrais pas de couronne définitive :) . Après delà à niquer de l’os pour ensuite virer l’implant c’est autre chose. Faut écouter Pxav qui a déjà eu ce problème visiblement


--
La forme de ma coupe de cheveux futuriste me permet une meilleure pénétration dans l'air et d' avoir moins de résistance face au vent lorsque je me déplace.

15ffa985 e046 4499 b50a d73a060a2d01 f73ycu - Eugenol

S2y2o1v7q53ws4r5wy6ou8czrpom - Eugenol
pxav

13/01/2020 à 18h23

enlaye écrivait:
------
> ce que j aime bien chez toi , Pxav , ç est ta faculté de pouvoir transformer un
> cas complexe en un cas simple .

ou de transformer les cas simple en cas complexe :-))
Hors sujet mais tu avais raison sur le cas:
https://www.eugenol.com/sujets/419229-restauration-globale?page=12
le bridge à cassé... j'ai sauvé les 2 couronnes et posé un implant , je te mettrais ça quand j'aurais les photos..
en dehors de ça il est vrai qu'autant un implant qui présente une infection avec symptômes je n'hésite pas autant à 3 mois je préfères patienté si pas de symptôme
et effectivement je n'ai pas parlé de couronne d'usage (le définitif c'est un rêve de patient) mais une provisoire dans 6 mois ou plus


--
xbk
La connaissance s'acquiert par l'expérience, tout le reste n'est que de l'information." ALBERT EINSTEIN


Vw campersurfvan bmnk1q - Eugenol
enlaye

13/01/2020 à 18h46

pxav écrivait:
----
" Hors sujet mais tu avais raison sur le cas:
https://www.eugenol.com/sujets/419229-restauration-globale?page=12
le bridge à cassé... "
ah merde , désolé .
on se retrouvera sur le post des que tu auras posté .


Vw campersurfvan bmnk1q - Eugenol
enlaye

13/01/2020 à 18h50

pxav écrivait:
----
" et effectivement je n'ai pas parlé de couronne d'usage (le définitif c'est un rêve de patient) mais une provisoire dans 6 mois ou plus "

au pauvre ( ç est une expression ) , je te suis à 100% .
au delà de l intégration en douceur de l implant , le prov aide à rééduquer le gps de fermeture .


moi22

13/01/2020 à 19h49

Donc pour vous on garde l'implant sous provisoire en occlusion et on avise ?
Qu'apporte la temporisation ? Hormis le fait de si ça merde ça coûte moins?


S2y2o1v7q53ws4r5wy6ou8czrpom - Eugenol
pxav

13/01/2020 à 22h38


Comprends bien
On enfin Tu gardes l'implant si pas de symptôme et provisoire pas avant 6 mois (dans certains cas Khoury préconise 12 mois) si l'implant est stable sans douleur et sonne bien.
La temporisation permet à l os de se stabiliser.

--
xbk
La connaissance s'acquiert par l'expérience, tout le reste n'est que de l'information." ALBERT EINSTEIN


Utilisateur banni

14/01/2020 à 07h24

moi22 écrivait:
-----
> Donc pour vous on garde l'implant sous provisoire en occlusion et on avise ?
> Qu'apporte la temporisation ? Hormis le fait de si ça merde ça coûte moins?

imaginons le pire des cas : ça merde. Et que le patient va voir ailleurs ou va se plaindre auprès d’un spécialiste, ou va voir une personne qui descend ton travail , ou qu’un expert passe par là : il va te demander les radios avant et après. Et là la question va être : pourquoi avez vous posé et fait payer une couronne définitive alors que vous avez vu qu’il y avait un problème ?
Alors que si tu fais ce que préconise pxav 6 mois 1 an de provisoire , là ça prouvera que t’as vu qu’il y avait un petit souci , que t’as temporisé pour être certain de ne pas faire payer une définitive pour rien au patient. Ça jouera plus en ta faveur je pense.

Au passage pxav , quand tu dis que tu ne fais quasiment plus que des summers. Quand tu as 1/2 mm d’os comment procèdes tu ? Quand t’as 4 mm d’os bon pourquoi pas , mais quand tu n’as plus qu’une fine lamelle d’os ?!

--
La forme de ma coupe de cheveux futuriste me permet une meilleure pénétration dans l'air et d' avoir moins de résistance face au vent lorsque je me déplace.


12