Cookie Consent byPrivacyPolicies.comQuelle est la marque de ces implants - Eugenol

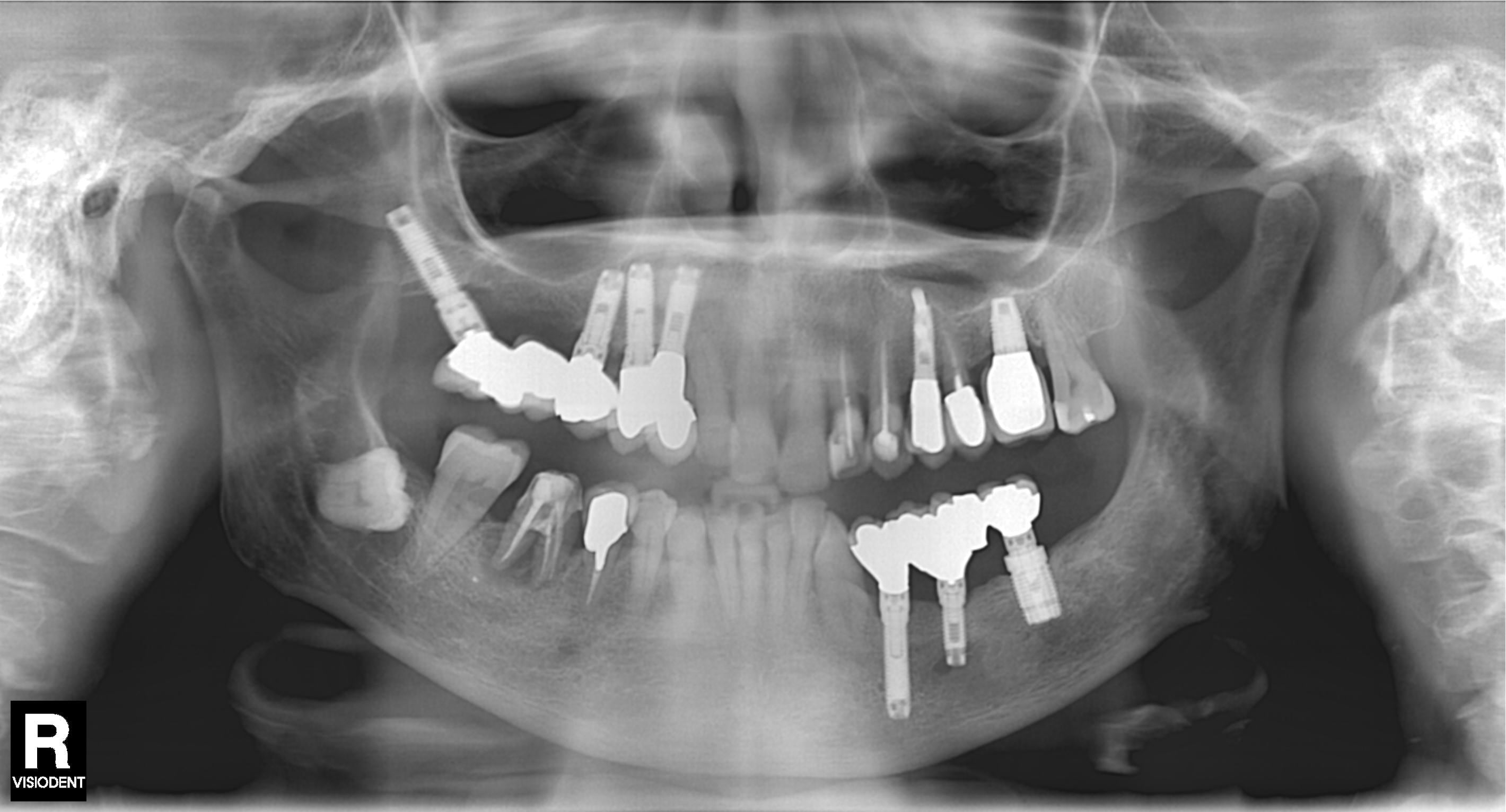
Quelle est la marque de ces implants

sarer2

20/01/2020 à 12h12

Bonjour,
quelqu'un a-t-il une idée de la marque de ses implants secteur 1

merci pour votre aide

Q2jdfysuwtu8vabfsvtw - Eugenol

sarer2

20/01/2020 à 12h13

ces


Photo pluton1b h9n4ea - Eugenol
pluton

20/01/2020 à 14h23

rétros stp....

forte chances que çà soit du Nobel branemark mk1


sarer2

20/01/2020 à 14h43

Merci pour ton aide
C’est une patiente de 92 ans qui est venue avec son bridge dévissé je n’ai pas voulu l’embêter j’ai envoyé la pano que j’avais depuis un moment

Merci encore