Cookie Consent byPrivacyPolicies.comQu est ce que c est a votre avis - Eugenol

Qu est ce que c est a votre avis

Img 20191001 2330284354654160410666075 i0pcca - Eugenol
Samsam1607

23/01/2020 à 11h33

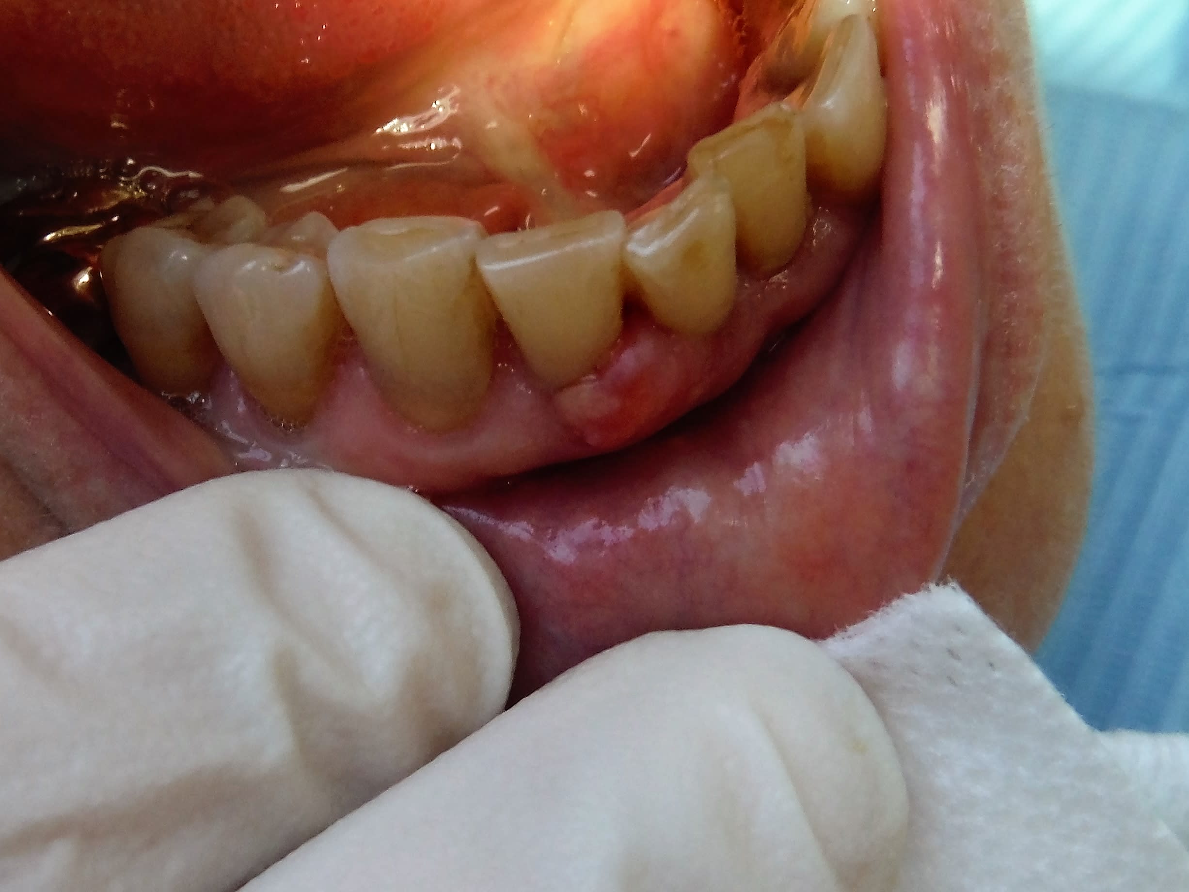
Bonjour a tous, j'ai besoin de vos lumières à nouveau. Jai reçu ce patient ce matin, il s est réveillé avec ca mercredi matin. Depuis la couleur est passé du très foncé au violacé. Douleur à la palpation ou à l effleurement, il n'ose plus brosser. Rx faite , pas de carie radiculaire, pas de lipoe. J avais pensé à un epuli quand il m.a appelé, mais finalement ça n y ressemble pas vraiment. Et ça ne saigne pas au contact contrairement à l epulis. Bref. Si ça parle à qqn.....merci

P87e7cggkr2ziiwfs0l0 - Eugenol

Rape p0as4f - Eugenol
rapelapente

23/01/2020 à 13h10

Tu bosses sans gants ?????
En même temps le gus ne se brosse pas les dents... Et fume comme un pompier.
C'est apparu subitement (si tu accordes du credit à ses dires), à 99% c'est infectieux, vu le terrain bien dégeu.
Une semaine d'antibio+ detartrage et tu y verra plus clair


--
Schooner For Ever


Img 20191001 2330284354654160410666075 i0pcca - Eugenol
Samsam1607

23/01/2020 à 13h44

Non ce sont les doigts du patient. Il ne fume pas, et cest un patient sérieux donc s'il me dit que cest apparu spontanément hier je le crois. Je lui aimons du b de bouche et ainpris rv pour muo chez stomato. J ai déjà eu le cas avec un patient qui avait des crêtes douteuses après extraction multiples au ch. Il s est avéré que ct un cancer. Donc je veux pas passer a coté de qqch, j espere pas . ..


4a338550 6a5b 47ea b2a7 d3cb675c5076 oni5gh - Eugenol
fistule 69

23/01/2020 à 13h51

Coucou,
Pour moi, épuli...
Soins locaux, éventuellement bi-rodogyl si besoin et bistouri électrique.
Un cancer de la papille ???
Tu fais une belle pano pour rassurer tout le monde et surtout il arrête la cigarette et le jaune !
Bonne journée.
😷😉


6szjws718sv1jksw54v4mpj3a6cu - Eugenol
vulpi

23/01/2020 à 14h03

C'est la bonne attitude. Dans le doute... le fait que ce soit apparu en une nuit est plutôt rassurant.
En photo un carcinome épidermoïde.

Dscf3075 qfa9qx - Eugenol

Img 20191001 2330284354654160410666075 i0pcca - Eugenol
Samsam1607

23/01/2020 à 14h24

Merci Vulpi, ça ressemble un peu , j espere pour lui que non . FISTULE, IL NE FUME PAS.
j'ai déjà vu des epuli ca ny ressemble pas tout a fait mais surtout c est douloureux a l a palpation et ça ne saigne pas contrairement a l l'epulis


Morgan ztbb1b - Eugenol
BONNET jc

23/01/2020 à 14h54

fistule 69 écrivait:
----------
> Coucou,
> Pour moi, épuli...
> Soins locaux, éventuellement bi-rodogyl si besoin et bistouri électrique.
> Un cancer de la papille ???
> Tu fais une belle pano pour rassurer tout le monde et surtout il arrête la
> cigarette et le jaune !
> Bonne journée.
> 😷😉
Bi Rodogyl???? https://www.ansm.sante.fr/var/ansm_site/storage/original/application/adaa00a42032d7120262d3c1a8c04a60.pdf


Gabzou

23/01/2020 à 19h57

Pour moi aussi épulis, même en absence de saignement.

Nettoyage local US + désinfection, surveillance une semaine, il y a de bonnes chances que çà parte.
Les ATB éventuellement ( au cas ou tu pense qu'il s'agisse d'un truc paro agressif ou nécrosant) mais je rejoins BONNET: Métronidazole en première intention (car à priori c'est paro, autrement c'est toujours Amox en 1er) . Et si jamais Birodogyl, attention à bien doubler la dose de la notice.

Tu as les dosages ici en page 16:
https://www.ansm.sante.fr/content/download/5297/52416/version/12/file/Reco-Prescription-des-antibiotiques-en-pratique-buccodentaire_Septembre2011.pdf
Je trouve ce lien plus clair que celui de Bonnet, qui est par contre plus complet.


Img 20191001 2330284354654160410666075 i0pcca - Eugenol
Samsam1607

23/01/2020 à 21h00

Bonsoir, après avoir un peu épluché la biblio, a part l epulis ou le fibrome, je vois pas. Le carcinome j espere pas mais ça reste malheureusement possible , sauf que je ne pense pas que ça aurait évolué en 1 seule nuit donc tant mieux ,comme dit vulpi cest plutôt rassurant.
Les atb j evite au max tant que c est possible biensur, et vu que je ne sais pas ce que c est je ne lui en donne pas en.1 ere intention.....je lui ai pris rv pour demain chez stomato qui fera une biopsie s il le juge nécessaire. Je vous tiendrai au courant . Merci pour vos réponses. Si.ca vous intéresse un.peu la dermato j ai trouvé sur le net un mémo pratique du dr Hauteville, cest pas mal fait et il reprend des cas clinique des nonoliens👍


Img 20191001 2330284354654160410666075 i0pcca - Eugenol
Samsam1607

23/01/2020 à 21h13

https://conseildentaire.com/petit-atlas-de-dermatologie-buccale/


4a338550 6a5b 47ea b2a7 d3cb675c5076 oni5gh - Eugenol
fistule 69

23/01/2020 à 21h48

Au niveau paro, ça semble pas top avec un fond de GUN et sur Lyon
GUN = Birodo...
De toute manière, si avec les AB et les soins locaux on a plus rien, c’est bien que le Schmilblick est bactérien, alors avant de se tripoter la tête avec un truc chelou qui n’en est certainement pas un, on agit...
Ça saigne pas mais vu l’aspect vascularisé de la lésion, on est loin du problème de Vulpi.
😷🥴


Img 20191001 2330284354654160410666075 i0pcca - Eugenol
Samsam1607

23/01/2020 à 21h58

C'est pas une gun. De tte façon il a rv demain, si c est bactérien il aura son atb demain. En attendant je n'aime pas dégommer la flore intestinale sans savoir et s'il y a une autre possibilité. Je préfère me tripoter la tête 😉


4a338550 6a5b 47ea b2a7 d3cb675c5076 oni5gh - Eugenol
fistule 69

23/01/2020 à 22h05

Ben sur la photo, entre 11et 12, collet 44 et saignement 41 42, ça ressemble bien à une GUN ou gingivite agressive comme tu veux...
Dans tous les cas la gencive et pas top.
Mais perso je préfère qu’il fasse caca mou et connaître le fond du truc...
😷😉


4a338550 6a5b 47ea b2a7 d3cb675c5076 oni5gh - Eugenol
fistule 69

23/01/2020 à 22h07

Après, vu la quantité de plaque en inter dentaire, je suis pas étonné du résultat. Système immunitaire ???
😷🤔


Img 20191001 2330284354654160410666075 i0pcca - Eugenol
Samsam1607

23/01/2020 à 22h43

Jte dirai koi demain, il m'appelle après son rdv. Je l'ai vu entre 2 pas eu le temps de creuser le pourquoi du comment , juste photo, Mais compte bien lui remonter les bretelles à son prochain rv


Img 20191001 2330284354654160410666075 i0pcca - Eugenol
Samsam1607

24/01/2020 à 10h09

Bonjour a tous, le patient m a laissé un msg ce matin pour me dire " plus besoin d aller chez le stomato, c est parti comme c est venu, plus de douleur . Il m a envoyé une photo ,les dents sont nettoyées le machin truc s est bien résorbé donc ct bien un machin bactérien, tant mieux pour lui, et moi ça me fait un spécimen bizarre de plus dans mon atlas des bizarreries qu'on vous apprend pas en Fac. Le seul traitement à été nettoyage et bain de bouche. Merci a tous les neurones qui ont cogité avec moi hier 👍


Img 20191001 2330284354654160410666075 i0pcca - Eugenol
Samsam1607

24/01/2020 à 10h12

Desolee pour la photo pourrie j arrive pas a envoyer de fichiers photos depuis mon tel

15798570558438904558957835231376 xdk47i - Eugenol

6szjws718sv1jksw54v4mpj3a6cu - Eugenol
vulpi

24/01/2020 à 10h25

L'approche rationnelle sur ce genre de trucs, c'est: je suis pas sûr, 15 jours de bobologie... ça passe, ok... ça passe passe pas, il faut déléguer.


Img 20191001 2330284354654160410666075 i0pcca - Eugenol
Samsam1607

24/01/2020 à 10h56

Je suis d accord avec toi Vulpi, mais c est l inconnu de ce type de lésion et l inquiétude du patient qui m a amené a déléguer au plus vite et a vous demander votre avis a tous. J'ai un excellent rapport avec mon stomato que je connais depuis 15 ans donc ça ne le derangeait pas de me donner son avis rapidement . On est obligé de s adapter aussi à la psychologie de nos patients. La tant mieux ct rien de méchant mais ça aurait pu


Morgan ztbb1b - Eugenol
BONNET jc

24/01/2020 à 13h54

Gabzou écrivait:
------
> Pour moi aussi épulis, même en absence de saignement.
>
> Nettoyage local US + désinfection, surveillance une semaine, il y a de bonnes
> chances que çà parte.
> Les ATB éventuellement ( au cas ou tu pense qu'il s'agisse d'un truc paro
> agressif ou nécrosant) mais je rejoins BONNET: Métronidazole en première
> intention (car à priori c'est paro, autrement c'est toujours Amox en 1er) . Et
> si jamais Birodogyl, attention à bien doubler la dose de la notice.
>
> Tu as les dosages ici en page 16:
> https://www.ansm.sante.fr/content/download/5297/52416/version/12/file/Reco-Prescription-des-antibiotiques-en-pratique-buccodentaire_Septembre2011.pdf
> Je trouve ce lien plus clair que celui de Bonnet, qui est par contre plus
> complet.
Métronidazole c'est Flagyl. Rodogyl c'est Spiramycine- Métrodinazole