Cookie Consent byPrivacyPolicies.comMarre.... - Eugenol

Marre....

Hok 1b hgd3rj - Eugenol
Hokusai

05/02/2020 à 11h01

yobi écrivait:
----
> SAUF que le RA avait été voté par l'assemblée nationale ,

l'aveolectomie a 33e ou l'endo a 30e... tout seul au tribunal, je gagne.


yobi

05/02/2020 à 11h04

enlaye écrivait:
------
> yobi écrivait:
> ----
> " Pas de secret l'accord a été refusé par lesCDF "
>
> t ain , pour qu ils refusent , c est que ca devait etre un massacre , pire que
> si c etait pire .
> racontes qu on rigole :-)
> a moins que ce soit un secret d initiés

Non ce n'étais pas un massacre au niveau du Morbihan c'était un choix presque philosophique .
--
YOBI


yobi

05/02/2020 à 11h08

Hokusai écrivait:
-------
> yobi écrivait:
> ----
> > SAUF que le RA avait été voté par l'assemblée nationale ,
>
> l'aveolectomie a 33e ou l'endo a 30e... tout seul au tribunal, je gagne.

Quelle naiveté !
Pas besoin de tribunal c'est juste un passage en commission paritaire , en commission des pénalités de la sécu que tu convaincras , bien sur ,sans difficulté et peut être au TAS et en chambre disciplinaire si l'Ordre est impliqué .
Ta probabilité de gagner est de 000000000001%
--
YOBI


Hok 1b hgd3rj - Eugenol
Hokusai

05/02/2020 à 11h18

yobi écrivait:
----
> Pas besoin de tribunal c'est juste un passage en commission paritaire , en
> commission des pénalités de la sécu que tu convaincras , bien sur ,sans
> difficulté et peut être au TAS et en chambre disciplinaire si l'Ordre est
> impliqué .

Mais c'est pas convaincre... économiquement c'est impossible de travailler a ce tarif la, et plus de convention.


azerty

05/02/2020 à 11h27

moi j 'ai me bien yobi.
je ne suis pas forcement d'accord avec lui mais au moins tu as un autre point de vue.
j'aimais bien ameli pour les memes raisons mais vous lui avez tellement tapé dessus qu'il s'est barré....


Avatar transparent iqadnc - Eugenol
adhoc

05/02/2020 à 11h36

>Je te rappelle que le choix que nous avions était :
Preferez vous exercer sous la nouvelle convention ou sous le RA + RAC0 durci?<<

Tu as vu, yobi, "le choix de Sophie"?????

C'est ici pareil. La fsdl a quitté les lieux pour NE PAS repondre a cette question.

Essaie un peu de piger.

Ps Si j'avais été a la place de la jeune femme qui doit choisir quel enfant sacrifier, je me serais flingué. Le suicide , c'est a dire la fuite extreme, permet de ne pas répondre et de se soustraire a ses bourreaux.

Un peu dur pour toi, yobi, pour qui un carré est juste un parallélépipède a 4 cotés égaux en longueur et disposés a 90 degrés....


2 n2dlt7 - Eugenol
2+2®

05/02/2020 à 11h54

Mais à la CNSD ils ont voté pour leurs gueules.
Ils ne sont pas touchés par les plafonds donc ils ont foutu les autres confrères et quelques prothésistes dans la merde.
La bonne blague de l'endo molaire à 100e en 2021.
Les patients de yobi sont solvabilisés et il a encore une petite marge sur ses tarifs de prothèse.
Elle est pas belle la vie?


4a338550 6a5b 47ea b2a7 d3cb675c5076 oni5gh - Eugenol
fistule 69

05/02/2020 à 12h03

Yobi, il s’en cogne plus que quelques années et c’est la quille...
Une bande de vieux cons qui ont mis la profession dans la merde avant de toucher une retraite !
😷🤮


Pubg2 rjl8jc - Eugenol
lemondestvaste

05/02/2020 à 12h20

Perso ces devis rac de 3 pages, ce bordel à expliquer au patient sur les tarifs différents, la différence entre céramique et full zircone ... pfff ... c'était le bon temps la NGAP !!

La cnsd a vraiment enterré moralement la profession ... au nom du progrès ? Mouarf !


Cynthia

05/02/2020 à 12h31

Pour moi c’est simple dès que je voies le nom de Yobi ds 1 discussion je zappe

Il radote et son point de vue est inintéressant ;
Ne discuter pas avec lui
Vous perdez votr temps et vote énergie 🤪🤪🤪


makalu

05/02/2020 à 12h37

Cynthia écrivait:
-------
> Pour moi c’est simple dès que je voies le nom de Yobi ds 1 discussion je zappe
>
> Il radote et son point de vue est inintéressant ;
> Ne discuter pas avec lui
> Vous perdez votr temps et vote énergie 🤪🤪🤪

bravo bravo Cynthia +1


Dabitz

05/02/2020 à 13h14

C est dingue ce nombre de mécontent et ce faible taux de déconventionnement... il faudrait vous rendre compte à un moment que le gouvernement fait ce qu'il veut. Les bas de plafonds qui pensent qu'on peut changer ça ils perdent de l'énergie pour rien. On est dans la tranche supérieure des revenus, et on représente 0.001 % des votants. On a un pouvoir de nuisance proche de zéro. Moi non plus je ne la trouve pas parfaite cette convention, moi aussi j'ai des charges et moi ça me gonfle de bosser pour parfois moins cher qu'une coupe de cheveux. Mais pour le reste je continue à gagner correctement ma vie. Alors arrêter de pleurer ici ou sur DDF et rendez vous compte de la réalité, l'Etat ne nous aime pas et on peut juste tenter de limiter les dégats.


RépondreCiter
Hok 1b hgd3rj - Eugenol
Hokusai

05/02/2020 à 13h30

Dabitz écrivait:
------
>Mais pour le reste je continue à gagner correctement ma vie.

Tout va bien du coup.


RépondreCiter
Vw campersurfvan bmnk1q - Eugenol
enlaye

05/02/2020 à 13h48

Cynthia écrivait:
-------
"Pour moi c’est simple dès que je voies le nom de Yobi ds 1 discussion je zappe "

ah ben heureusement qu il ne se mêle pas des posts cliniques sinon tu n aurais rien a faire sur eugenol.
d'ailleurs , on ne t y voit pas trop non plus :-)
sinon , avec le Yobi , en le decodant bien , tu as quand même une idee de ton avenir .
alors Yobi , c etait quoi ce pb de protocole proposé par les mut ???


Cynthia

05/02/2020 à 13h58

MOn Cher Enlaye

Je ne passe pas mon temps sur Eugénol car les sujets deviennent de mois en moins intéressants et dérapent très rapidement;

Les cas cliniques : j'en mets de temps en temps et surtout j'interviens en MP.

Quant à mon avenir, je te rassure je le connais après près de 35 ans dans le libéral ....
enlaye écrivait:
------
> Cynthia écrivait:
> -------
> "Pour moi c’est simple dès que je voies le nom de Yobi ds 1 discussion je zappe
> "
>
> ah ben heureusement qu il ne se mêle pas des posts cliniques sinon tu n aurais
> rien a faire sur eugenol.
> d'ailleurs , on ne t y voit pas trop non plus :-)
> sinon , avec le Yobi , en le decodant bien , tu as quand même une idee de ton
> avenir .
> alors Yobi , c etait quoi ce pb de protocole proposé par les mut ???


yobi

05/02/2020 à 14h28

Dabitz écrivait:
------
> C est dingue ce nombre de mécontent et ce faible taux de déconventionnement...
> il faudrait vous rendre compte à un moment que le gouvernement fait ce qu'il
> veut. Les bas de plafonds qui pensent qu'on peut changer ça ils perdent de
> l'énergie pour rien. On est dans la tranche supérieure des revenus, et on
> représente 0.001 % des votants. On a un pouvoir de nuisance proche de zéro. Moi
> non plus je ne la trouve pas parfaite cette convention, moi aussi j'ai des
> charges et moi ça me gonfle de bosser pour parfois moins cher qu'une coupe de
> cheveux. Mais pour le reste je continue à gagner correctement ma vie. Alors
> arrêter de pleurer ici ou sur DDF et rendez vous compte de la réalité, l'Etat ne
> nous aime pas et on peut juste tenter de limiter les dégats.

BRAVO!
Tu as tout compris mais prépare toi à en prendre plein la gueule , les pleureuses d'Eugénol ne sont pas tendre avec les clairvoyants...
Prend l'exemple de notre brave Hokusai . Il prétend qu'avec le RA , il aurait pu pratiquer les tarifs qu'il désire et gagner devant le juge . Meme le plus mauvais conseiller juridique de la FSDL lui aurait recommandé la plus grande prudence .
Par contre pour facturer une reconstitution préendodontique , il a la trouille devant le risque qu'on lui reproche un "manque de tact et de mesure " ...
Tout le paradoxe des râleurs d'Eugénol
--
YOBI


Hok 1b hgd3rj - Eugenol
Hokusai

05/02/2020 à 14h44

yobi écrivait:
----
> Par contre pour facturer une reconstitution préendodontique , il a la trouille
> devant le risque qu'on lui reproche un "manque de tact et de mesure " ...

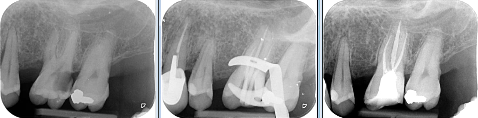
Pas du tout... Des reconstitutions pré-endo j'en fait quasiment sur chaque molaire. Ça me prend a peu près... 2min et une capsule d'equia forte a 3e. Je demande 50e d'honoraires. Ca ne vaut pas plus.
Demander 100 ou 200e, une reconstitution pré-endo, c'est s’asseoir sur le tact et mesure.

Les techniques de "compensation", faut bien comprendre que c'est fini.

Reconstitution pre endo ilntq8 - Eugenol

P2eqdh3csim6s7nb09ktdq3e7ev8 - Eugenol
barbabapat

05/02/2020 à 15h04

https://lescdf.fr/actualites/il-est-temps-dalleger

Les gars sont des flèches. ils veulent le RAC0 et maintenant râlent sur le coûts des charges sociales qui empêchent l'emplois en France.


yobi

05/02/2020 à 15h05


Et pourtant certains praticiens moins râleur que toi mais plus courageux estiment le montant de leur endo et utilisent le NPC pour obtenir un montant global . Combien de plainte ? Combien de dossier devant l'Ordre?
Demande à Stéphane Simon (endo exclusif conventionné )s'il prend 50 € pour une RPE .
Rale moins et prend ton destin en main .

--
YOBI


Hok 1b hgd3rj - Eugenol
Hokusai

05/02/2020 à 15h23

yobi écrivait:
----
>
> Et pourtant certains praticiens moins râleur que toi mais plus courageux
> estiment le montant de leur endo et utilisent le NPC pour obtenir un montant
> global . Combien de plainte ? Combien de dossier devant l'Ordre?
> Demande à Stéphane Simon (endo exclusif conventionné )s'il prend 50 € pour une
> RPE .
> Rale moins et prend ton destin en main .


Mais la c'est la même chose, prendre un exemple particulier pour faire une généralité sur toute la profession n'a aucun sens.
Les endo exclusifs sont conventionnés comme les implanto exclusifs sont conventionnés.


Hok 1b hgd3rj - Eugenol
Hokusai

05/02/2020 à 15h24

barbabapat écrivait:
----------
> https://lescdf.fr/actualites/il-est-temps-dalleger
>
> Les gars sont des flèches. ils veulent le RAC0 et maintenant râlent sur le coûts
> des charges sociales qui empêchent l'emplois en France.

oui c'est complètement débile. Les charges ne feront qu'augmenter.


zoulman

05/02/2020 à 15h42

J'aime bien la charte d'engagement des CDF à afficher au cabinet, est elle compatible avec le RAC0 ?
https://www.information-dentaire.fr/actualites/la-charte-d-engagement-des-cdf/
"délivrer des soins de qualité « conformes aux données acquises de la science, en mettant l’accent sur les soins conservateurs et préventifs, comme cela a été fait lors des dernières négociations conventionnelles »"


P2eqdh3csim6s7nb09ktdq3e7ev8 - Eugenol
barbabapat

05/02/2020 à 16h18

yobi écrivait:
----
>
> Et pourtant certains praticiens moins râleur que toi mais plus courageux
> estiment le montant de leur endo et utilisent le NPC pour obtenir un montant
> global . Combien de plainte ? Combien de dossier devant l'Ordre?
> Demande à Stéphane Simon (endo exclusif conventionné )s'il prend 50 € pour une
> RPE .
> Rale moins et prend ton destin en main .
>
> --
> YOBI

Peut être que la patientèle de Stéphane Simon est légèrement sélectionnée par sont exercice et vient chez lui bien qu'elle soit au courant des tarifs pour des demandes spécifique surtout avec des patients adressés et souvent informés par la personne qui les adresses.

Après, ca serait sympa qu'il fasse un papier sur les coûts de réalisation d'une endo car selon les négociateurs de la sécu vous étiez incapable de leur sortir une études clinique valable démontrant qu'il y avait plus de 10 euros de matériels utilisé pour une endo.


Pierre logo clykpp - Eugenol
Denteo33

05/02/2020 à 16h27

Les syndicats valident la convention nous liant à la sécurité sociale tous les combien? 5 ans?


azerty

05/02/2020 à 16h34

oui