Cookie Consent byPrivacyPolicies.comlésion condensante - Eugenol

lésion condensante

chichi

04/02/2020 à 12h27

bonjour

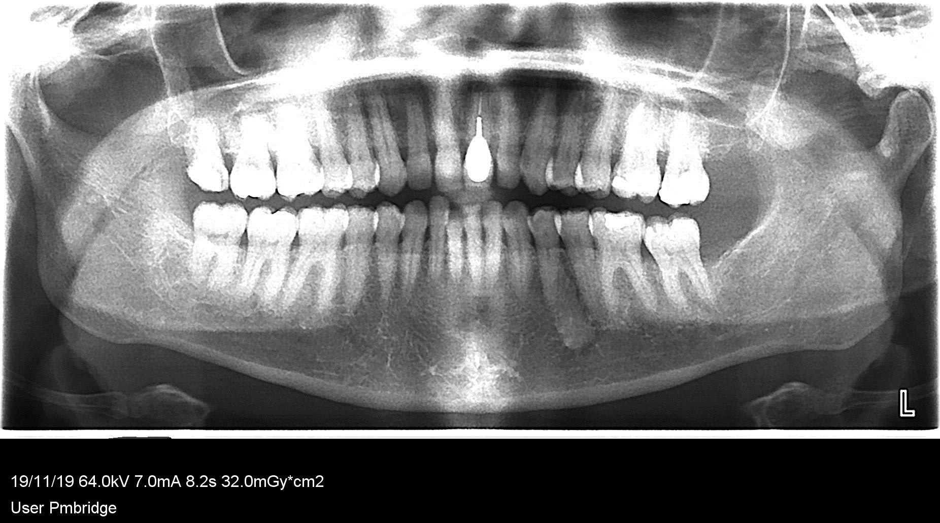
le diagnostic du radiologue après dentalscanner: il s'agit d'un ilôt condensant bénin. contours spiculés, venant focalement au contact de la corticale osseuse. vous feriez d'autres investigations?

Ejuifrau23xo6qgnqwj8 - Eugenol

chichi

04/02/2020 à 12h28

entre 34/35


Tousensemble

05/02/2020 à 22h16

Aspect de cémentome, rien à faire


chichi

06/02/2020 à 23h08

Merci pour ta réponse