Cookie Consent byPrivacyPolicies.comProthèse chinoise VS prothèse française - Eugenol

Prothèse chinoise VS prothèse française

3231500709 2 2 94jcbpqu h1bmap - Eugenol
T4xus

18/02/2020 à 16h51

Mireille/Junior est juste un troll de compétition, depuis des années que je suis le forum j'ai pu me rendre compte que la majorité de ses messages c'était de dire de la merde (cf. le topic sur l'irrigation) et de provoquer. Ca ne vaut même pas la peine de lui répondre.


Img 2951 flo3gr - Eugenol
molinarius

18/02/2020 à 17h16

T4xus écrivait:
-----
> Mireille/Junior est juste un troll de compétition, depuis des années que je suis
> le forum j'ai pu me rendre compte que la majorité de ses messages c'était de
> dire de la merde (cf. le topic sur l'irrigation) et de provoquer. Ca ne vaut
> même pas la peine de lui répondre.

Oui c’est vrai ! Mais bon laisser une tribune a quelqu’un qui passe son temps à dénigrer , a un moment donner c’est bon ! Surtout par un mec qui est très loin d’avoir les épaules pour!
Il est bon que ceux qui liront ce posts soient au fait des tenants et aboutissants !
il crachait sur les cameras , trop cher , nul , pas bien etc etc ! 3 mois apres il en achete une ! A tout les coup le moins cher possible donc pas de support et ensuite il casse la marque sur les forums , la encore quand tu grattes un peu qu’il ne s’en sert pas comme il faut !
Ca va maintenant ! Les critiques constructives oui les rageux imbéciles stop!


Capture d écran 2018 05 16 à 21.30 - Eugenol
Daryl

18/02/2020 à 17h18

Lire les trucs farfelus de Junior, moi ça me détend ;-)


Pubg2 rjl8jc - Eugenol
lemondestvaste

18/02/2020 à 17h20

Pareil. Par contre je ne connais pas sa façon de bosser ... Donc je ne peux qu’apprécier ses écrits.

Pour ma part, dans le concert d'éloge de la médit, les post de Junior sur ses scans pas net, décalés, mal en occlusion ont le mérite de dire ... qu'on peut ne pas trouver ça si "greeeeeeen " que ça le passage aux empreintes numériques.


Capture d  cran 2015 03 12 12.28 - Eugenol
chicot29

18/02/2020 à 17h40

Wax up numerique transitoire chinetok.


--
En cas d'échec des négociations conventionnelles, seriez-vous prêt à suivre la promotion d'un déconventionnement massif de la profession par les syndicats représentatifs ? OUI - NON
Participez, anonymement, sur https://goo.gl/forms/nAO0htnsVmxotjYm1

One shot 21 zwqngo - Eugenol

Img 2951 flo3gr - Eugenol
molinarius

18/02/2020 à 17h50

Mireille-Mathieu écrivait:
----------------
> Hokusai écrivait:
> -------
> > L idéologie socialiste est encore a l œuvre pour tuer de l emploi en France...
>
> Tiens encore une couronne descellée qu’on va devoir refaire à neuf :) c’est
> ballot !
> L’idéologie « on rince gratis pour tout le monde » , ça va faire très mal. Quand
> je pense à toutes les couronnes descellées que je refais à neuf.

LA blague ! la couronne se descelle c'est la faute du labo !! la longueur du tenon , l'encrage , les parois restantes , le ciment , NON bha non forcement le labo !!
post le scan ! on verra si ton scanpost n'a pas bougé durant la prise d,'empreinte !
mais comme tu as fais une radio de contrôle lors de la pose il etait bien a fond !
au fait tu fournis bien les references de tes scan post a chaque commande ? non parceque ça aussi
c,est le sport national !!



Utilisateur banni

18/02/2020 à 18h05

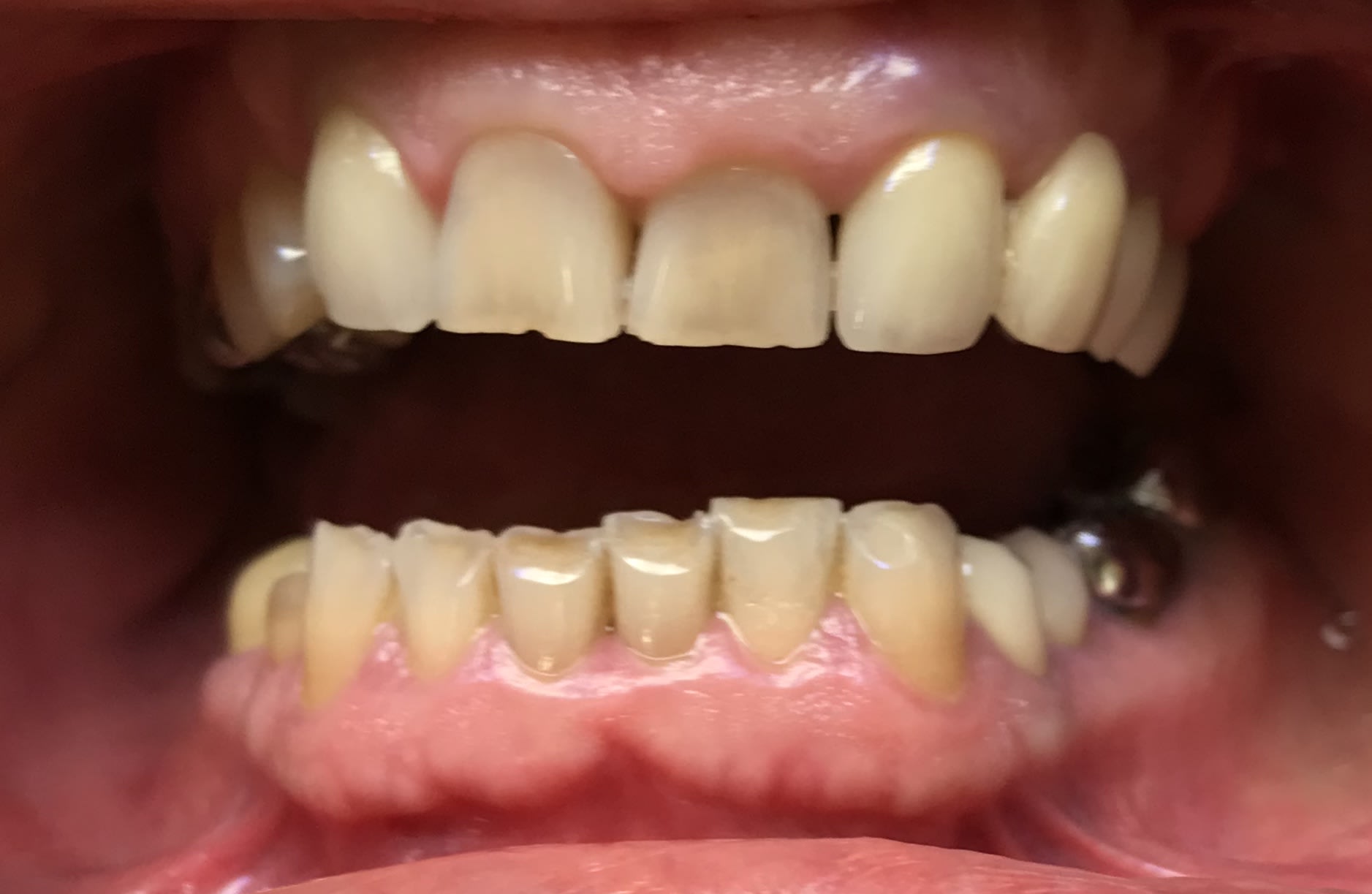
Là par exemple c’est un cas de full zircone low cost chinois RAC0. Tout est rentré au premier rdv

--
La forme de ma coupe de cheveux futuriste me permet une meilleure pénétration dans l'air et d' avoir moins de résistance face au vent lorsque je me déplace.

Ba2d9358 c922 4e5f 866d ff812e651576 r6bj4s - Eugenol
F275cc77 9914 4861 9d50 4bcc0b987c3f vdnqtn - Eugenol

Hok 1b hgd3rj - Eugenol
Hokusai

18/02/2020 à 18h40

molinarius, t'as senti un effet post RAC0 ?? tes clients te demandent un effort sur les ccm ant ??
Tu as des clients qui sont partis ?


Hok 1b hgd3rj - Eugenol
Hokusai

18/02/2020 à 18h42

chicot29 écrivait:
--------
> Wax up numerique transitoire chinetok.

du coup tu fais une clé en silicone pour faire de l'isomoulage du modèle en résine ?? Pas bete... en plus un seul modèle pour les prov et la partiel prov... en occlusion... pas bête...

Maintenant je m’embête même plus je demande au protho de faire mes prov... le pouvoir de la flemme.


Capture d  cran 2015 03 12 12.28 - Eugenol
chicot29

18/02/2020 à 18h43

De toutes façons c'est ridicule de comparer les prothésistes de différents pays. Il y en ajuste certains qui exportent plus que d'autres. -)))

--
En cas d'échec des négociations conventionnelles, seriez-vous prêt à suivre la promotion d'un déconventionnement massif de la profession par les syndicats représentatifs ? OUI - NON
Participez, anonymement, sur https://goo.gl/forms/nAO0htnsVmxotjYm1


Hok 1b hgd3rj - Eugenol
Hokusai

18/02/2020 à 18h44

chicot29 écrivait:
--------
> De toutes façons c'est ridicule de comparer les prothésistes de différents pays.
> Il y en ajuste certains qui exportent plus que d'autres. -)))

surtout certains plus compétitifs que d'autres. Il va rester quoi chez nous ?


Capture d  cran 2015 03 12 12.28 - Eugenol
chicot29

18/02/2020 à 18h45

Hokusai écrivait:
-------
> chicot29 écrivait:
> --------
> > Wax up numerique transitoire chinetok.
>
> du coup tu fais une clé en silicone pour faire de l'isomoulage du modèle en
> résine ?? Pas bete... en plus un seul modèle pour les prov et la partiel prov...
> en occlusion... pas bête...
>
> Maintenant je m’embête même plus je demande au protho de faire mes prov... le
> pouvoir de la flemme.

C'est fait en 5minutes. là en empreinte il n'y avait pas les tenons. juste la situation initiale. augmentation de DV pouf !

--
En cas d'échec des négociations conventionnelles, seriez-vous prêt à suivre la promotion d'un déconventionnement massif de la profession par les syndicats représentatifs ? OUI - NON
Participez, anonymement, sur https://goo.gl/forms/nAO0htnsVmxotjYm1


Hok 1b hgd3rj - Eugenol
Hokusai

18/02/2020 à 18h48

Pour augmenter la DV t'as fait une cale en résine sur l'ancien pariel sup à droite ? puis t'as scanné l'occ ?


Img 2951 flo3gr - Eugenol
molinarius

18/02/2020 à 18h50

pour l'instant les usineuses tournent à plein régime ..
les imprimantes sont full
honnêtement il n'y pas grand changement !


Hok 1b hgd3rj - Eugenol
Hokusai

18/02/2020 à 18h59

tu fais surtout quoi ??? de la zircone ?? de l'emax ?


Img 2951 flo3gr - Eugenol
molinarius

18/02/2020 à 19h04

Hokusai écrivait:
-------
> tu fais surtout quoi ??? de la zircone ?? de l'emax ?

De tout ! Dla zr sous toute ses formes , de l’emax , de l’amber mill. Du TI du CrCo du peek , compo ceramisé etc etc etc


Hok 1b hgd3rj - Eugenol
Hokusai

18/02/2020 à 19h07

Amber mill c est un peu comme l Emax ???
Tu usines dans le titane ???


Img 2951 flo3gr - Eugenol
molinarius

18/02/2020 à 19h16

Hokusai écrivait:
-------
> Amber mill c est un peu comme l Emax ???
> Tu usines dans le titane ???

Oui c’est mieux !😉


Capture d  cran 2015 03 12 12.28 - Eugenol
chicot29

18/02/2020 à 19h32

Hokusai écrivait:
-------
> Pour augmenter la DV t'as fait une cale en résine sur l'ancien pariel sup à
> droite ? puis t'as scanné l'occ ?

Meme pas.

--
En cas d'échec des négociations conventionnelles, seriez-vous prêt à suivre la promotion d'un déconventionnement massif de la profession par les syndicats représentatifs ? OUI - NON
Participez, anonymement, sur https://goo.gl/forms/nAO0htnsVmxotjYm1


Utilisateur banni

18/02/2020 à 19h35

Ici nous sommes sur des prothèses implantaires au maxillaire... toujours du chinois
De la CCM sur implants

--
La forme de ma coupe de cheveux futuriste me permet une meilleure pénétration dans l'air et d' avoir moins de résistance face au vent lorsque je me déplace.

6366e1cc e294 4c10 8879 9954c5929cf7 shtt75 - Eugenol

Photo thumb 45 lnhuvp - Eugenol
wakrap

18/02/2020 à 19h52

molinarius écrivait:
----------
> Hokusai écrivait:
> -------
> > tu fais surtout quoi ??? de la zircone ?? de l'emax ?
>
> De tout ! Dla zr sous toute ses formes , de l’emax , de l’amber mill. Du TI du
> CrCo du peek , compo ceramisé etc etc etc

Justement pour l'ambermill tu utilises quel CAM, des stratégies adaptées ?, quid de l'usure des fraises, sur les mcxl les fraises se crament super vite du coup jai pas tenté sur ma VHF avec son CAM VHF pas optimisé. Et tu utilises les disques ou lesblocs?


Utilisateur banni

18/02/2020 à 20h37

On a montré quoi ? De la prothèse fixe sur dents naturelles, des couronnes sur implants .... on va finir sur du complet immédiat chinois et on aura fait le tour, avec du sang sur la photo ça rend toujours pas mal. Notez la translucidité des bords libres , ils ne sont pas là pour rigoler


--
La forme de ma coupe de cheveux futuriste me permet une meilleure pénétration dans l'air et d' avoir moins de résistance face au vent lorsque je me déplace.

94c86d4c 804f 417f 9b5a f5d0dfc7225b nekqyh - Eugenol

Img 2951 flo3gr - Eugenol
molinarius

18/02/2020 à 20h46

Pour ça il faut des gammes ( strategies d’usinage)
Moi je travail avec des gens compétents situé en france , a coté de chez moi , chez qui j’achète mes fraises et matière premiere j’ai un service et suivi
Et dons pas d’enmerdes ! RMP27 pour pas les nommer! Cherche pas mireille ! Ils sont en france !


Photo thumb 45 lnhuvp - Eugenol
wakrap

18/02/2020 à 21h11

molinarius écrivait:
----------
> Pour ça il faut des gammes ( strategies d’usinage)
> Moi je travail avec des gens compétents situé en france , a coté de chez moi ,
> chez qui j’achète mes fraises et matière premiere j’ai un service et suivi
> Et dons pas d’enmerdes ! RMP27 pour pas les nommer! Cherche pas mireille ! Ils
> sont en france !

Oui, je suis en bon contact avec Cesar Roinard. Mais c'est imes et worknc. Comme jai vhf, pour l'instant j'attends la maj de leur cam pour les amber.
Sinon, tu usines les blocs ou les disques amber?
>


Img 2951 flo3gr - Eugenol
molinarius

18/02/2020 à 21h23

wakrap écrivait:
------
> molinarius écrivait:
> ----------
> > Pour ça il faut des gammes ( strategies d’usinage)
> > Moi je travail avec des gens compétents situé en france , a coté de chez moi ,
> > chez qui j’achète mes fraises et matière premiere j’ai un service et suivi
> > Et dons pas d’enmerdes ! RMP27 pour pas les nommer! Cherche pas mireille ! Ils
> > sont en france !
>
> Oui, je suis en bon contact avec Cesar Roinard. Mais c'est imes et worknc. Comme
> jai vhf, pour l'instant j'attends la maj de leur cam pour les amber.
> Sinon, tu usines les blocs ou les disques amber?
> > les bloques ! Les disques ne sont pas encore commercialisé je crois .