Cookie Consent byPrivacyPolicies.comIdentification Implant - Eugenol

Identification Implant

Decapfour

07/02/2020 à 13h20

Bonjour à tout le monde,

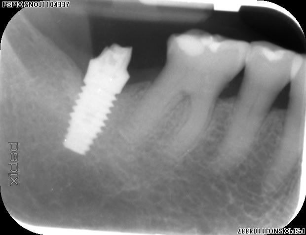
Pourriez vous me donner un coup de main pour identifier cet implant s'il vous plait?
Il a été posé il y a 8 ans et il faut que je change le pilier.

Je pense que c'est du biomet 3i mais rien de sur, je n'en pose pas.
Merci à vous!!

Hacl3mmmyoaq1uy0d4hr - Eugenol

Photo pluton1b h9n4ea - Eugenol
pluton

07/02/2020 à 13h57

dommage on voit pas bien la connexion par manque de contraste....mais amha oui çà ressemble bien à du Biomet 3i...