Cookie Consent byPrivacyPolicies.compas trop cool comme carie... - Eugenol
S2y2o1v7q53ws4r5wy6ou8czrpom - Eugenol
pxav

19/02/2020 à 15h08

Patiente 39 ans pas d'autres soucis mais le confrère propose l'avulsion...et franchement?


--
xbk
La connaissance s'acquiert par l'expérience, tout le reste n'est que de l'information." ALBERT EINSTEIN

Fm0l8azu9dulmheaxhej - Eugenol

Hok 1b hgd3rj - Eugenol
Hokusai

19/02/2020 à 15h16

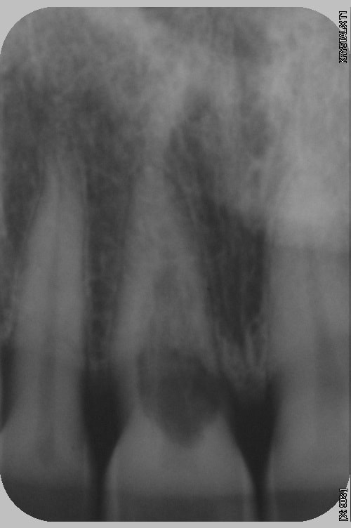
C est carieux ou résorption interne ??


Photo pluton1b h9n4ea - Eugenol
pluton

19/02/2020 à 15h18

çà c'est une résorption interne....c'est mort....davier et clou....


S2y2o1v7q53ws4r5wy6ou8czrpom - Eugenol
pxav

19/02/2020 à 15h40

résorption interne, mais pas trop décidé pour le davier et le clou... patiente limité coté finances
enlaye va trouver un truc....ou chicot29?


--
xbk
La connaissance s'acquiert par l'expérience, tout le reste n'est que de l'information." ALBERT EINSTEIN


Photo pluton1b h9n4ea - Eugenol
pluton

19/02/2020 à 15h51

tu peux toujours temporiser en faisant l'endo....
mais bien préciser a ta patiente que çà n'est que provisoire: sa dent est de toutes façons condamnée à court terme....


Gabzou

19/02/2020 à 16h10

Très court terme même. Rien qu'à voir la tête je m'étonne que çà tienne encore. Si on fait l'endo, on peut être certain que la couronne va fracturer rapidement après vu comme elle aura été affaiblie. Et après bon courage pour faire tenir ne serait-ce qu'une provisoire là dessus.
Je valide le davier et l'implant.


S2y2o1v7q53ws4r5wy6ou8czrpom - Eugenol
pxav

19/02/2020 à 16h13

vous êtes bien pessimistes...


--
xbk
La connaissance s'acquiert par l'expérience, tout le reste n'est que de l'information." ALBERT EINSTEIN


doagui

19/02/2020 à 16h14

Racine bien trop courte pour tenter la traction ortho et faire une couronne.

Avulsion et remplacement...


S2y2o1v7q53ws4r5wy6ou8czrpom - Eugenol
pxav

19/02/2020 à 16h21

et si on traitait simplement : dévitalisation, et produit genre bio dentine, ça permettrait peut-être bien de garder la dent?
les spécialistes de l'endo ,,,,,,,un avis?


--
xbk
La connaissance s'acquiert par l'expérience, tout le reste n'est que de l'information." ALBERT EINSTEIN


Hok 1b hgd3rj - Eugenol
Hokusai

19/02/2020 à 16h25

Perso j y toucherais pas... Y a plus de parois.
Extraction implantation mise en charge immédiate.

Conserve la couronne pour la prov... Le protho pourra s accrocher a son slip pour faire une définitive aussi belle.


S2y2o1v7q53ws4r5wy6ou8czrpom - Eugenol
pxav

19/02/2020 à 16h27

Hokusai écrivait:
-------
> Perso j y toucherais pas...
traitement par l'ignorance et ça va donner quoi?
le problème est que la patiente cherche une solution.
--
xbk
La connaissance s'acquiert par l'expérience, tout le reste n'est que de l'information." ALBERT EINSTEIN


Hok 1b hgd3rj - Eugenol
Hokusai

19/02/2020 à 16h29

Non je ne proposerai que la solution implantaire.

Si cmu, ex + partiel prov 1 dent et 3 mois après stellite 1 dent.

Moi je mets plus mes doigts dans des trucs perdus d avance... Ça me a toujours desservi.
Perte de temps perte d argent et tu passes pour un con avec des petites remarques debiles des patients que tu penses "aider".


S2y2o1v7q53ws4r5wy6ou8czrpom - Eugenol
pxav

19/02/2020 à 16h32

c'est vrai que les implants c'est cool mais si la patiente n'a pas les €€€€?
et c'est vrai que je n'aime pas la facilité,
il y a sans doute d'autres possibilités


--
xbk
La connaissance s'acquiert par l'expérience, tout le reste n'est que de l'information." ALBERT EINSTEIN


South park   craig te7bfk - Eugenol
CRAIG

19/02/2020 à 16h54

Hokusai écrivait:
-------
> Moi je mets plus mes doigts dans des trucs perdus d avance... Ça me a toujours
> desservi.
> Perte de temps perte d argent et tu passes pour un con avec des petites
> remarques debiles des patients que tu penses "aider".

+1
Le patient qui te remercie le jour du dépannage est le premier à t'incendier dès que ça merde même s'il avait été prévenu....


S2y2o1v7q53ws4r5wy6ou8czrpom - Eugenol
pxav

19/02/2020 à 16h57


moi j'aime bien y mettre les doigts... enfin des fois :-))

--
xbk
La connaissance s'acquiert par l'expérience, tout le reste n'est que de l'information." ALBERT EINSTEIN


Pierre logo clykpp - Eugenol
Denteo33

19/02/2020 à 17h00

+1 extraction
J'ai déjà fait une endo sur une dent avec une résorption devenue douloureuse : plus de douleur mais la résorption ne s'est pas arrêtée jusqu'au parodonte.

>c'est vrai que les implants c'est cool mais si la patiente n'a pas les €€€€?
et c'est vrai que je n'aime pas la facilité,
il y a sans doute d'autres possibilités

Oui plein, bridge, bridge collé, Prothèse amovible 1 dent


S2y2o1v7q53ws4r5wy6ou8czrpom - Eugenol
pxav

19/02/2020 à 17h11


bridge collé je n'en fais plus (10 ans max) amovible 1 dent ... sort de ce corps Satan
donc les soins mais c'est mal barré.

--
xbk
La connaissance s'acquiert par l'expérience, tout le reste n'est que de l'information." ALBERT EINSTEIN


Nouveau image bitmap fz77zh - Eugenol
Sethef

19/02/2020 à 17h14

Le problème n'est pas endo mais mécanique. Si la résorption est effectivement interne, ce qui semble être le cas, l'endo stoppera le processus.
Mais après, la perforation semble nettement infra osseuse (scan?), donc quid de la reconstruction? Mécaniquement, en terme d'étanchéité, et de profil d'émergence, ça se traite comme une carie. Et une carie dans cette zone, je ne vois que le davier, ou la traction ortho, qui semble improbable au vu de la taille de la racine.

Bref...


S2y2o1v7q53ws4r5wy6ou8czrpom - Eugenol
pxav

19/02/2020 à 17h18


si j'osais je partirais sur ttt endo en lambeau vestibulaire pour avoir un accès net à la lésion radiculaire nettoyage soigneux et précautionneux, comblement avec poudre de perlimpinpin, obturation..

--
xbk
La connaissance s'acquiert par l'expérience, tout le reste n'est que de l'information." ALBERT EINSTEIN


Nouveau image bitmap fz77zh - Eugenol
Sethef

19/02/2020 à 17h52

En terme d'étanchéité, faut être doué mais pourquoi pas, mais mécaniquement, combien de temps avant d'entendre crac? Et ça arrive jamais au meilleur moment.


dent2669

19/02/2020 à 17h58

Il s'agit d'une résorption cervicale invasive d'origine externe. Le point d'entrée est au niveau du collet de la dent juste sous la jonction amelo-cementaire. On le sait car on voit encore l'image du canal au milieu de la lésion. Les résorptions externes n'attaquent que les tissus minéralisés (la dentine) mais pas la pre-dentine qui entoure la pulpe d'où l'image du canal. La dent est probablement encore vivante !
Là, vu l'importance de la lésion malheureusement la seule chose à faire est de programmer le remplacement de la dent avant qu'elle ne casse sur un morceau de pain !


doc.yoyo

19/02/2020 à 18h09

CRAIG écrivait :
"Le patient qui te remercie le jour du dépannage est le premier à t'incendier dès que ça merde même s'il avait été prévenu...."
C'est vrai à 2000 %, dans ce cas faut pas rêver c'est devis pour implant et si malheureusement pb côté finances c'est pap.


S2y2o1v7q53ws4r5wy6ou8czrpom - Eugenol
pxav

19/02/2020 à 18h14

oui c'est sûr.
Le problème c'est que je ne crois pas aux sciences exacte donc je ferais sans doute, fi de certaines certitudes.
comme souvent d'ailleurs... des fois ça marche, des fois ça ne marche pas.
il y a quelques années, les consignes en cas d'atteinte d'une furcation (molaire) c'était avulsion, de toutes façons ça ne se soigne pas, et ce n'est qu'un exemple parmi tant d'autres.
utopiste sans doute mais je pense que ça se soigne.
Ps je confirme dent vivante.


--
xbk
La connaissance s'acquiert par l'expérience, tout le reste n'est que de l'information." ALBERT EINSTEIN


X ray 03 medium zvq18j - Eugenol
cyber_quenottes

19/02/2020 à 18h17

radio postée à 15H00 aujourd'hui

La patiente vient d'appeler à 18H00

le dent est cassée

fin de la discussion

\O/


S2y2o1v7q53ws4r5wy6ou8czrpom - Eugenol
pxav

19/02/2020 à 18h22

cyber_quenottes écrivait:
---------------
> radio postée à 15H00 aujourd'hui
>
> La patiente vient d'appeler à 18H00
>
> le dent est cassée
>
> fin de la discussion
>
> \O/

c'est Julie qui te dit ça? cafteuse..:-))
non franchement c'est pas trop méchant quand même

--
xbk
La connaissance s'acquiert par l'expérience, tout le reste n'est que de l'information." ALBERT EINSTEIN

002r v9q4hq - Eugenol

12...