Cookie Consent byPrivacyPolicies.compas trop cool comme carie... - Eugenol
Utilisateur banni

21/02/2020 à 13h50

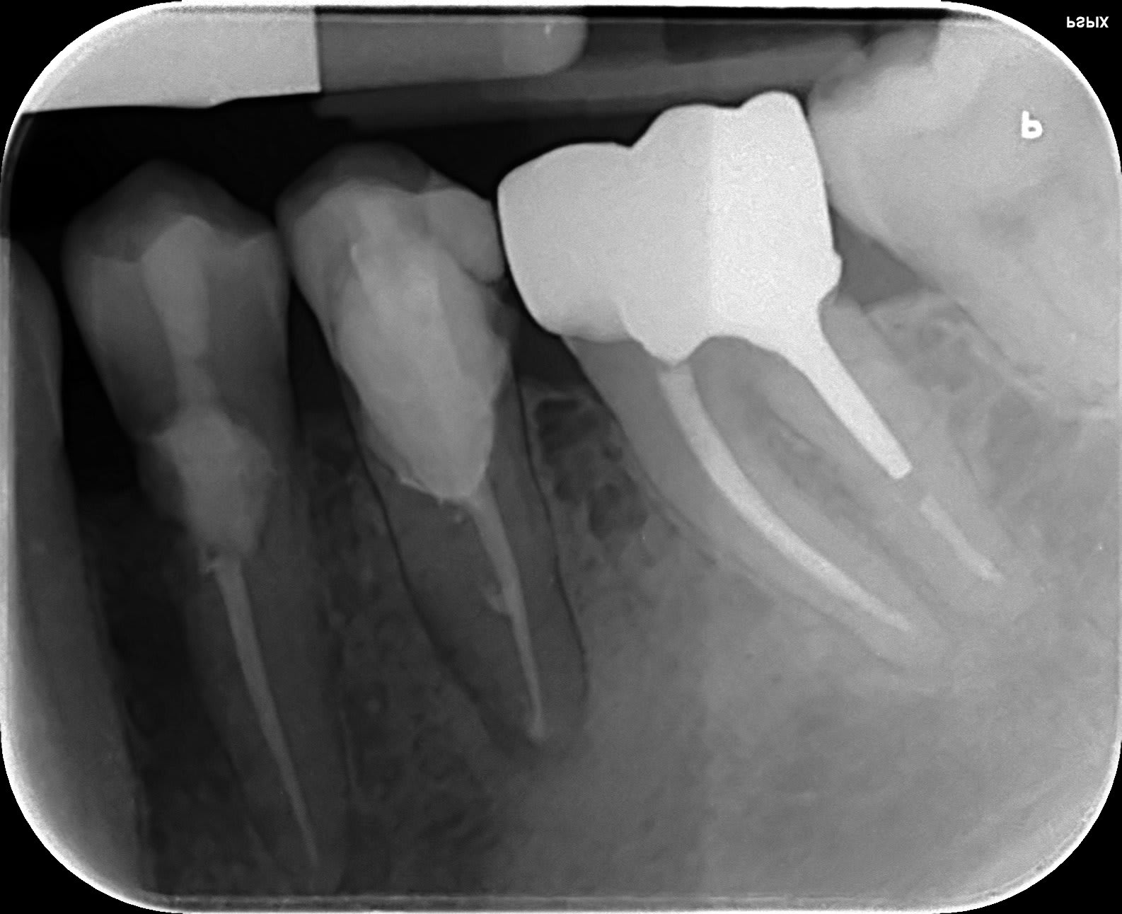
Du CVI à la place de la Biodentine du coup ?


--
La forme de ma coupe de cheveux futuriste me permet une meilleure pénétration dans l'air et d' avoir moins de résistance face au vent lorsque je me déplace.


S2y2o1v7q53ws4r5wy6ou8czrpom - Eugenol
pxav

21/02/2020 à 13h52

enlaye écrivait:
------
> ah oui , il est fort pour ça , 5 page et on ne sait tjs pas comment il va se la
> farcir .

Promis pourtant que je ne toucherais pas la patiente ...incorigible ce enlaye.
Néanmoins j'avoue que c'est presqu' une surprise ce post, pratiquement pas d'agressions ni d'insulte... Nonol redeviendrait il fréquentable ?


--
xbk
La connaissance s'acquiert par l'expérience, tout le reste n'est que de l'information." ALBERT EINSTEIN


S2y2o1v7q53ws4r5wy6ou8czrpom - Eugenol
pxav

21/02/2020 à 13h55

vulpi écrivait:
-----
> Pour la 11 ça a pas fonctionné:-(
> (gériatrie).
> C'est la même 11, j'ai pas mis la RX dans le bon sens.

Même en gériatrie on peut les mettre dans les 2 sens... ?
Ok je sors
--
xbk
La connaissance s'acquiert par l'expérience, tout le reste n'est que de l'information." ALBERT EINSTEIN


S2y2o1v7q53ws4r5wy6ou8czrpom - Eugenol
pxav

21/02/2020 à 13h56

Mireille-Mathieu écrivait:
----------------
> Du CVI à la place de la Biodentine du coup ?
>
>
> --
> La forme de ma coupe de cheveux futuriste me permet une meilleure pénétration
> dans l'air et d' avoir moins de résistance face au vent lorsque je me déplace.

Non
--
xbk
La connaissance s'acquiert par l'expérience, tout le reste n'est que de l'information." ALBERT EINSTEIN


6szjws718sv1jksw54v4mpj3a6cu - Eugenol
vulpi

21/02/2020 à 13h57

😁


S2y2o1v7q53ws4r5wy6ou8czrpom - Eugenol
pxav

21/02/2020 à 13h59


Et j'offre un minitel a celui qui trouve avec quoi je vais sauver cette petite malheureuse 🐁

--
xbk
La connaissance s'acquiert par l'expérience, tout le reste n'est que de l'information." ALBERT EINSTEIN


Utilisateur banni

21/02/2020 à 14h05

3615 Ulla il connaît bien le Vulpi :)
IRM?
Compo?
Amalgame?


--
La forme de ma coupe de cheveux futuriste me permet une meilleure pénétration dans l'air et d' avoir moins de résistance face au vent lorsque je me déplace.


Gabzou

21/02/2020 à 14h36

Implant transradiculaire?
Tu créée une deuxième racine comme dans mon fantastique cas ?https://www.eugenol.com/sujets/423557-beau-traitement?page=2#post_1054319


6szjws718sv1jksw54v4mpj3a6cu - Eugenol
vulpi

21/02/2020 à 14h46

Mireille-Mathieu écrivait:
----------------
> 3615 Ulla il connaît bien le Vulpi :)
C'est vrai, elle manque Ulla.


6szjws718sv1jksw54v4mpj3a6cu - Eugenol
vulpi

21/02/2020 à 15h03

Sans endo, la 5 c'est un amalgame.

Frema uwspgp - Eugenol

Vw campersurfvan bmnk1q - Eugenol
enlaye

21/02/2020 à 15h27

Gabzou écrivait:
------
" Implant transradiculaire? "

pas loin , une pinoche en ceram ?


6szjws718sv1jksw54v4mpj3a6cu - Eugenol
vulpi

21/02/2020 à 15h57

Avant "reconstitutions".

Bouc1 i2hubw - Eugenol
Bouc2 fkczpk - Eugenol

Photo pluton1b h9n4ea - Eugenol
pluton

21/02/2020 à 16h07

un implant aiguille en tantale?
ou encore plus RAC0: un screwpost titane en version XXL stérilisé et transfixant....à la Mireille quoi....;-)))


Utilisateur banni

21/02/2020 à 16h07

reconstitution avec une tranche d'émail du patient sur lit de cvi.


montmartre

21/02/2020 à 16h51

.


Utilisateur banni

21/02/2020 à 17h10

pluton écrivait:
------
> un implant aiguille en tantale?
> ou encore plus RAC0: un screwpost titane en version XXL stérilisé et
> transfixant....à la Mireille quoi....;-)))

Bim allez op on longe la racine et on fixe le tout à l’os :) et pas besoin de stériliser :) et ça redevient à la mode puisque certains transpercent les dents incluses .
J’ai d’ailleurs lu un article là dessus très marrant. Il y avait notamment un cas où 80% de l’implant était dans la dent incluse, et ils remarquaient qu’il y avait eu un échec . Tu m’ étonnes :) Doit on rappeler qu’il n’y a pas d’osteointégration dans l’email et la dentine :) ?

--
La forme de ma coupe de cheveux futuriste me permet une meilleure pénétration dans l'air et d' avoir moins de résistance face au vent lorsque je me déplace.

5eecb4d4 8f0d 48b8 9806 fc20adea3b87 axuihp - Eugenol

S2y2o1v7q53ws4r5wy6ou8czrpom - Eugenol
pxav

21/02/2020 à 17h54

montmartre écrivait:
----------
> culture de cellules souches, transplantation d'odontoblastes, et vascularisation
> en créant une microvascularisation issue du réseau vasculaire naso-palatin.

interessant
--
xbk
La connaissance s'acquiert par l'expérience, tout le reste n'est que de l'information." ALBERT EINSTEIN


S2y2o1v7q53ws4r5wy6ou8czrpom - Eugenol
pxav

21/02/2020 à 17h56


non, pas de vis ni de screw post ni pivot ou autres truc pointu ou pas

--
xbk
La connaissance s'acquiert par l'expérience, tout le reste n'est que de l'information." ALBERT EINSTEIN


S2y2o1v7q53ws4r5wy6ou8czrpom - Eugenol
pxav

21/02/2020 à 18h00


voilà c'est fini ... et je vous assure que ça va tenir 10 ans au moins.... enfin si tout se passe normalement et que la patiente ne décède pas avant

--
xbk
La connaissance s'acquiert par l'expérience, tout le reste n'est que de l'information." ALBERT EINSTEIN

023 eun1nh - Eugenol

dent2669

21/02/2020 à 18h51

Si ça dure longtemps, c'est parfait ! Ca peut le faire si cest une mamie qui ne mange que de la soupe et de la purée mais faudrait pas qu'elle prenne idée de croquer dans une pomme !!!


Avatar transparent iqadnc - Eugenol
adhoc

21/02/2020 à 19h03

10 ans -2727 jours!!! :-))))


Vw campersurfvan bmnk1q - Eugenol
enlaye

21/02/2020 à 19h13

Il y a deja eu résection ? T es un rapide toi ? :-)


Photo pluton1b h9n4ea - Eugenol
pluton

22/02/2020 à 09h09

et du coup c'est quoi le matériau?


Hok 1b hgd3rj - Eugenol
Hokusai

22/02/2020 à 09h24

Du cavit g.


Vw campersurfvan bmnk1q - Eugenol
enlaye

22/02/2020 à 09h27

Eh lui non ? Il se leve à 9h.09 et il croit qu il va tout savoir !
Tu attends ton tour comme tout le monde ! :-))


1...5678