Cookie Consent byPrivacyPolicies.compourquoi !!!!!!! - Eugenol

pourquoi !!!!!!!

moi22

29/02/2020 à 16h01

Bonjour à tous,
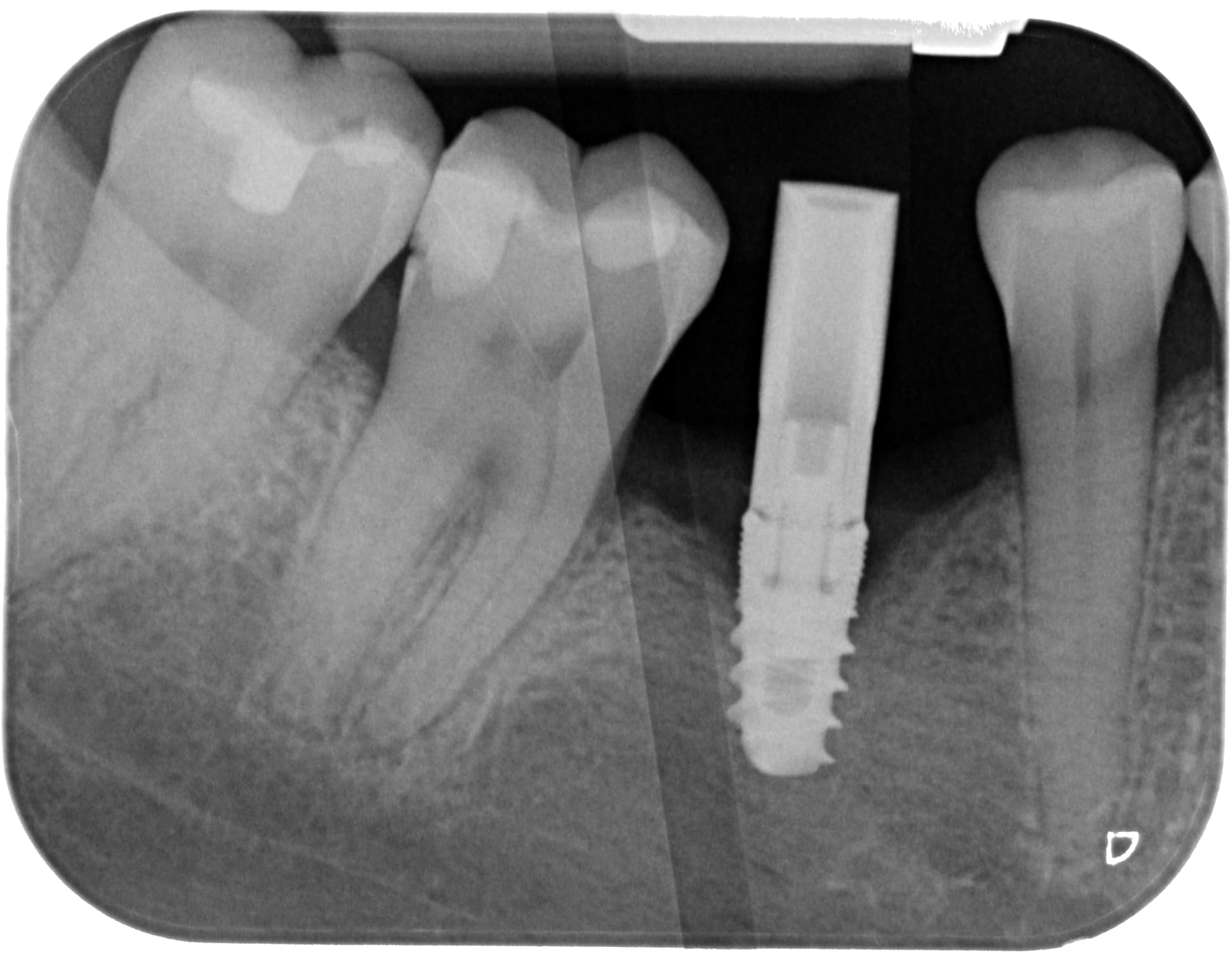
controle à 3 mois post pose d'implant et voilà... perte au niveau des micro-spires ++...
Pourquoi ? la gencive est nickel, RAS niveau santé, compression de l'os? pourtant j'évase la corticale...
On dépose ou pas ? car vraiment gencive RAS? pas de saignement ou autre
Merci pour vos avis éclairés

M4tjqsesbtda5nbm5icy - Eugenol
Ufm8wkghxoxw1llo5m0h - Eugenol

Utilisateur banni

29/02/2020 à 17h07

pose avec lambeau ou flapless ?


moi22

29/02/2020 à 17h27

Lambeau

posit écrivait:
-----
> pose avec lambeau ou flapless ?


Utilisateur banni

29/02/2020 à 18h02

l'angle de prise de vue me semble accentuer une perte au col de l'implant qui me parait à la base un manque d'enfouissement. En flapless il est plus délicat de contrôler mais apparemment ce n'est pas cela...


zamzamleroi

29/02/2020 à 18h25

L'implant me semble presenter une plateforme sweatching du coup il fut poser 1mm ou 1,5 en sous crestale ...rien a voir mais pour une 6 la position idéal est a cheval sur septum racine médiale...


Pierre logo clykpp - Eugenol
Denteo33

29/02/2020 à 18h36

Laisse moi deviner ... c’est un ETK?


moi22

29/02/2020 à 18h46

Raté ! Mis Seven

Denteo33 écrivait:
--------
> Laisse moi deviner ... c’est un ETK?


moi22

29/02/2020 à 18h49

Non pas ce type de plate-forme... Il se pose juxta crestal

zamzamleroi écrivait:
-----------
> L'implant me semble presenter une plateforme sweatching du coup il fut poser 1mm
> ou 1,5 en sous crestale ...rien a voir mais pour une 6 la position idéal est a
> cheval sur septum racine médiale...


moi22

29/02/2020 à 18h50

Je suis d'accord pour l angulation mais si c'était un manque d'enfouissement nous aurions plus une perte horizontale plutôt qu'en V non ?

posit écrivait:
-----
> l'angle de prise de vue me semble accentuer une perte au col de l'implant qui
> me parait à la base un manque d'enfouissement. En flapless il est plus délicat
> de contrôler mais apparemment ce n'est pas cela...


moi22

29/02/2020 à 18h51

Mais en gros on garde ou pas ? Une mise en fonction peut il stimuler l'os et limiter la perte


S2y2o1v7q53ws4r5wy6ou8czrpom - Eugenol
pxav

29/02/2020 à 20h10

moi22 écrivait:
-----
> Une mise en fonction peut il stimuler l'os et
> limiter la perte

Non ...



--
xbk
La connaissance s'acquiert par l'expérience, tout le reste n'est que de l'information." ALBERT EINSTEIN


moi22

29/02/2020 à 20h31

Et donc plutôt depose ? Ou ça peut se stabiliser ?


Chinkungunya

29/02/2020 à 21h54

Fais voir une coupe 3d pré implantaire?
Je parie que l'os autour du col implantaire était pas suffisant. Tu as dû posé un 4mm dans un os qui fait 6 mm d'épaisseur au sommet.. du coup os pas assez nourri, et donc résorption.. voula mon humble avis.


moi22

29/02/2020 à 22h08

Et si c'est le cas d'après toi la résorption. Va se poursuivre ou pas ?

Chinkungunya écrivait:
------------
> Fais voir une coupe 3d pré implantaire?
> Je parie que l'os autour du col implantaire était pas suffisant. Tu as dû posé
> un 4mm dans un os qui fait 6 mm d'épaisseur au sommet.. du coup os pas assez
> nourri, et donc résorption.. voula mon humble avis.


Photo pluton1b h9n4ea - Eugenol
pluton

29/02/2020 à 23h02

malheureusement, c'est mort pour cet implant...
donc dépose
pour les causes possibles:
-manque de volume osseux
-compression due à cet implant extrèmement compressif...le seven c'est plutôt un implant pour l'os maxillaire ou os peu dense...et là tu es en mandibulaire...
-échauffement lors du forage
-etc....


moi22

01/03/2020 à 20h40

Et si je le laisse 3 mois encore histoire de voir si ça se stabilise ou pas?

pluton écrivait:
------
> malheureusement, c'est mort pour cet implant...
> donc dépose
> pour les causes possibles:
> -manque de volume osseux
> -compression due à cet implant extrèmement compressif...le seven c'est plutôt un
> implant pour l'os maxillaire ou os peu dense...et là tu es en mandibulaire...
> -échauffement lors du forage
> -etc....


moi22

01/03/2020 à 20h40

Et si je le laisse 3 mois encore histoire de voir si ça se stabilise ou pas?

pluton écrivait:
------
> malheureusement, c'est mort pour cet implant...
> donc dépose
> pour les causes possibles:
> -manque de volume osseux
> -compression due à cet implant extrèmement compressif...le seven c'est plutôt un
> implant pour l'os maxillaire ou os peu dense...et là tu es en mandibulaire...
> -échauffement lors du forage
> -etc....


Photo pluton1b h9n4ea - Eugenol
pluton

01/03/2020 à 21h47

ne perds pas plus de temps, çà ne sert à rien
tu déposes tu attends 2 mois et tu reposes

ton patient ne t'en voudra pas du temps perdu, mais t'en voudra si tout se casse la gueule dans 6 mois....