Cookie Consent byPrivacyPolicies.comAlerte identification du CO - Eugenol

Alerte identification du CO

Morgan ztbb1b - Eugenol
BONNET jc

02/03/2020 à 18h52

Etes vous arrivés a ouvrir le lien? J'ai 2 ordi. Impossible sur les 2.


Ylfwcw979cz1jnx9gfqeaxndiuzk - Eugenol
Algi

02/03/2020 à 20h34

La je suis sur mon téléphone...

C'est un zip.... Mais ça s'ouvre sans souci...

Patamoi.




--

https://open.spotify.com/user/8iz7teu84dfphmgspeh2979o8/playlist/59Tfpt7zoHfkI27430lfNg?si=MAiYEkb2S6mMV6qNX2aFwg


On a toujours le choix mais entre quoi et quoi?
Vas-y boulégue et l'avenir te le dira!


merlin31000

03/03/2020 à 01h50

BONNET jc écrivait:
---------
> Etes vous arrivés a ouvrir le lien? J'ai 2 ordi. Impossible sur les 2.

Voili voilou...

Photo1 axqqqp - Eugenol
Photo2 uiomxo - Eugenol
Photo3 z28hqr - Eugenol
Photo4 uo8kxh - Eugenol
Photo5 qr6iyi - Eugenol
Radios1 dxb8my - Eugenol
Radios2 kprrcu - Eugenol
Radios3 auio0x - Eugenol
Radios4 pfsefa - Eugenol
Radios5 uwurgt - Eugenol
Radios6 ycayfo - Eugenol

Rape p0as4f - Eugenol
rapelapente

03/03/2020 à 04h17

En tant qu' expert, à la simple vue des photos, je peux déjà affirmer que le sujet est décédé...


--
Schooner For Ever


Rape p0as4f - Eugenol
rapelapente

03/03/2020 à 04h23

En fait je doute que ces appels puissent donner quelques résultats.
Vous pouvez reconnaître une radio comme ça vous ? Sans élément supplémentaire ?


--
Schooner For Ever


Hok 1b hgd3rj - Eugenol
Hokusai

03/03/2020 à 07h49

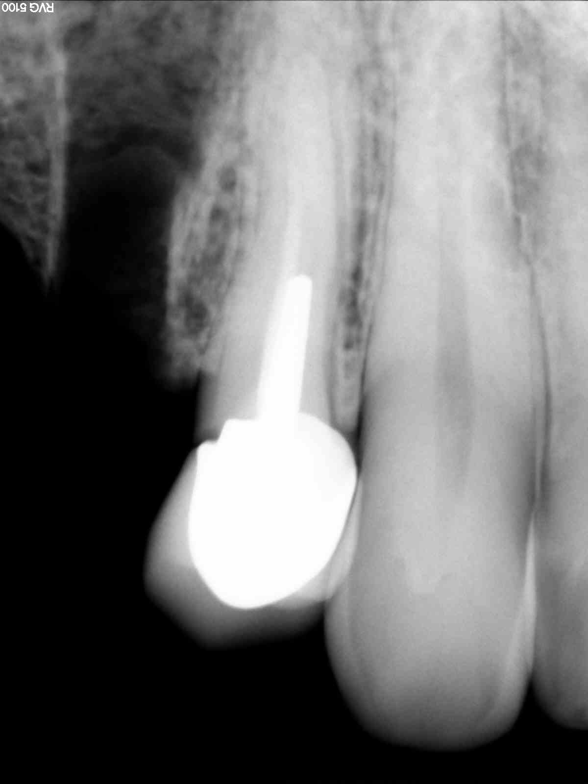
Des inlay core... Des endos moisies... C est un français.


E922cb58f40adb4b770d0cd0158b332f p1seg7 - Eugenol
chic22

03/03/2020 à 07h51

Peux être qu’avec l’empreinte du pouce sur l’amlagame ? ^^


Morgan ztbb1b - Eugenol
BONNET jc

03/03/2020 à 08h16

merlin31000 écrivait:
-----------
> BONNET jc écrivait:
> ---------
> > Etes vous arrivés a ouvrir le lien? J'ai 2 ordi. Impossible sur les 2.
>
> Voili voilou…
Ton lien marche.


baroud69

03/03/2020 à 15h12

En général quand il y a un appel général c'est que toutes les autres voies ont été infructueuses....


Avatar transparent iqadnc - Eugenol
adhoc

03/03/2020 à 15h34

Depuis le temps qu'il faudrait rendre les radios panoramiques obligatoires tous les 5 ans. Oui, nia, nia nia , la has, les recos débiles, je sais.....
Avec ces radios merdiques et disparates , comment un systeme expert pourrait identifier un machab?.
On rappelle qu'au niveau doses, 2radios retro = une pano.


Capture d  cran 2015 03 12 12.28 - Eugenol
chicot29

03/03/2020 à 15h37

Ah ? C'est un français il a des inlay cores et des endos pourries. Ca réduit considérablement les recherches. -))))


--
En cas d'échec des négociations conventionnelles, seriez-vous prêt à suivre la promotion d'un déconventionnement massif de la profession par les syndicats représentatifs ? OUI - NON
Participez, anonymement, sur https://goo.gl/forms/nAO0htnsVmxotjYm1


Capture d  cran 2015 03 12 12.28 - Eugenol
chicot29

03/03/2020 à 15h39

adhoc écrivait:
-----
> Depuis le temps qu'il faudrait rendre les radios panoramiques obligatoires tous
> les 5 ans. Oui, nia, nia nia , la has, les recos débiles, je sais.....
> Avec ces radios merdiques et disparates , comment un systeme expert pourrait
> identifier un machab?.
> On rappelle qu'au niveau doses, 2radios retro = une pano.

Ah ? 0,06 secondes de temps d'exposition par rétro. Il met combien de temps à tourner ton pano ? -)))

--
En cas d'échec des négociations conventionnelles, seriez-vous prêt à suivre la promotion d'un déconventionnement massif de la profession par les syndicats représentatifs ? OUI - NON
Participez, anonymement, sur https://goo.gl/forms/nAO0htnsVmxotjYm1


zoulman

03/03/2020 à 15h41

Pano obligatoire + base de donnée informatisée nationale + logiciel d'IA pour faire le match et on en parle plus.^^


Avatar transparent iqadnc - Eugenol
adhoc

03/03/2020 à 15h58

Oui zoulman.
Mon chicot, la quantité efficace d'irradiation n'est pas liée directement au temps relatif d'exposition .
Mais je me suis quand meme trompé
1 pano=4 RX
https://www.irsn.fr/FR/professionnels_sante/faq/Pages/faq_radiologie_dentaire.aspx#.Xl5wRR9Khkg


Capture d  cran 2015 03 12 12.28 - Eugenol
chicot29

03/03/2020 à 16h05


C'est pas liée à la dose. Bien sur. Mais là n'est pas le souci. C'est une question d'indication. Premier principe de radioprotection. L'optimisation des doses délivrées c'est le deuxième. Mais ça il faut avoir eu un entretien confraternel pour en mesurer l'importance. -)))

--
En cas d'échec des négociations conventionnelles, seriez-vous prêt à suivre la promotion d'un déconventionnement massif de la profession par les syndicats représentatifs ? OUI - NON
Participez, anonymement, sur https://goo.gl/forms/nAO0htnsVmxotjYm1


Avatar transparent iqadnc - Eugenol
adhoc

03/03/2020 à 16h14

La tu fais le nia nia fayot de la has!!!!!
Une pano tous les 5 ans respecte les principes de la radio protection, évite beaucoup de radios inutiles, pasd toutes mais beaucoup.
Tous les 5 ans pour la médico légale, ils n'en parlent meme pas,
Et au niveau recherche, ca permettrait a l'IA biologique et anthropométrique de progresser efficacement.
Les pdf issus de ces radio panos devraient etre transmis au ministere de l' intérieur , comme la FEC en co:mpta est transmise aux inspecteurs du Fisc en format universel...
Ah oui, les droits de l'Homme et du Citoyen, , le respect de la vie privée , lo!!!!!


Vw campersurfvan bmnk1q - Eugenol
enlaye

03/03/2020 à 16h24

chicot29 écrivait:
--------
" Ah ? C'est un français il a des inlay cores et des endos pourries. "
mais sans granulome , on ne peut pas tout avoir , non plus :-))


Capture d  cran 2015 03 12 12.28 - Eugenol
chicot29

03/03/2020 à 16h39

zoulman écrivait:
-------
> Pano obligatoire + base de donnée informatisée nationale + logiciel d'IA pour
> faire le match et on en parle plus.^^

Tu notes les soins réalisés et tu matches avec les données sécu. Sans irradiation tu vas avoir des résultats. T'élimines ceux qui te répondent au tel . -)))

--
En cas d'échec des négociations conventionnelles, seriez-vous prêt à suivre la promotion d'un déconventionnement massif de la profession par les syndicats représentatifs ? OUI - NON
Participez, anonymement, sur https://goo.gl/forms/nAO0htnsVmxotjYm1


Capture d  cran 2015 03 12 12.28 - Eugenol
chicot29

03/03/2020 à 17h02

maladie dentaire diffuse + antécédent de choc (11 racine fracturée)


--
En cas d'échec des négociations conventionnelles, seriez-vous prêt à suivre la promotion d'un déconventionnement massif de la profession par les syndicats représentatifs ? OUI - NON
Participez, anonymement, sur https://goo.gl/forms/nAO0htnsVmxotjYm1

Status 6 llkvmw - Eugenol

Capture d  cran 2015 03 12 12.28 - Eugenol
chicot29

03/03/2020 à 17h05

Tu fais un pano t'es mort : en l'absence de signe d'appel apport diagnostique inférieur. -)))


--
En cas d'échec des négociations conventionnelles, seriez-vous prêt à suivre la promotion d'un déconventionnement massif de la profession par les syndicats représentatifs ? OUI - NON
Participez, anonymement, sur https://goo.gl/forms/nAO0htnsVmxotjYm1


Capture d  cran 2015 03 12 12.28 - Eugenol
chicot29

03/03/2020 à 17h07

Pouf ! 14 secteurs. -)))


--
En cas d'échec des négociations conventionnelles, seriez-vous prêt à suivre la promotion d'un déconventionnement massif de la profession par les syndicats représentatifs ? OUI - NON
Participez, anonymement, sur https://goo.gl/forms/nAO0htnsVmxotjYm1


Avatar transparent iqadnc - Eugenol
adhoc

03/03/2020 à 17h09

>Tu notes les soins réalisés et tu matches avec les données sécu. Sans irradiation tu vas avoir des résultats. T'élimines ceux qui te répondent au tel . -)))<

Ca ne fonctionne pas bien, on n'a pas toujours de radios, il en manque, si tu as un amalgame ou un compo 17 et 26 par exemple, comment veux tu décrire la forme et la profondeur email dentine? C'est pour ca qu'on a ce cas de recherche ici , c'est merdique. Comment veux que les anatomo pathologistes et les médicaux legaux renseignent tout ce que voir l’œil humain ou celui de la machine?
Efficacité impose un peu de brutalité!!!!!

Tiens, mon grand, une histoire qui s'est passée il y a une dizaine d'années. Coup de téléphone de la brigade de gendarmerie d'une métropole du sud de la France: ,"on a deux corps a identifier dans un van brûle, on a retrouvé une partie d'un document qui est une de vos ordonnances, on va faire venir chez vous la brigade de Nantes pour collecter les documents radiographiques et autres concernant votre patiente"
-oui, je veux bien, mais pourquoi une brigade? J'ai une radio panoramique faitre il y a un an -ah, c'est bien, mais vous pouvez nous l'envoyer par mail ? - ba oui -ok"

Un quart d'heure apres , ils m'(envoyaient un mail pour me remercier chaleureusement, l'identification de la jeune femme etait confirmée....Ils m'ont dit que jamais un CD (c'etait il ya 12 ans) , n'avait envoyé aussi rapidement des éléments aussi probants.

Tu te refugies derriere des doses insignifiantes . Tous les 5 ans, pffffff, c'est que dalle.





Capture d  cran 2015 03 12 12.28 - Eugenol
chicot29

03/03/2020 à 17h31

Nan mais ça réduit ou il faut chercher. T'as des combinaisons de soins réalisés ca va te sortir une liste de combien de noms ? Avec la CCAM c'est ultra précis.



--
En cas d'échec des négociations conventionnelles, seriez-vous prêt à suivre la promotion d'un déconventionnement massif de la profession par les syndicats représentatifs ? OUI - NON
Participez, anonymement, sur https://goo.gl/forms/nAO0htnsVmxotjYm1


Gabzou

03/03/2020 à 18h04

L'idée est bonne, mais je vois quand même un soucis (en dehors de l'utilisation des données à caractère personnel sans autorisation mais çà doit pouvoir facilement se régler, çà).
Les bases de données CCAM remontent à la mise en place de la CCAM, donc d'ici une génération çà pourra marcher comme il faut, en attendant, tous les soins un peu anciens ne sont pas pris en compte.

Cela dit, je trouve vraiment l'idée sympa. Évidemment à peaufiner et prévoir des recherches avec critères exclusifs (pas de soin sur 25, couronne sur 12) et d'autres plus lâches (n'importe quelle soin sur 45) ainsi qu'une marge d'erreur parce qu'on en connait des margoulins qui cotent un soin 3 face sur une carie occlusale ;)


Capture d  cran 2015 03 12 12.28 - Eugenol
chicot29

03/03/2020 à 18h08

adhoc écrivait:
-----
> >Tu notes les soins réalisés et tu matches avec les données sécu. Sans
> irradiation tu vas avoir des résultats. T'élimines ceux qui te répondent au tel
> . -)))<
>
> Ca ne fonctionne pas bien, on n'a pas toujours de radios, il en manque, si tu as
> un amalgame ou un compo 17 et 26 par exemple, comment veux tu décrire la forme
> et la profondeur email dentine? C'est pour ca qu'on a ce cas de recherche ici ,
> c'est merdique. Comment veux que les anatomo pathologistes et les médicaux
> legaux renseignent tout ce que voir l’œil humain ou celui de la machine?
> Efficacité impose un peu de brutalité!!!!!
>
> Tiens, mon grand, une histoire qui s'est passée il y a une dizaine d'années.
> Coup de téléphone de la brigade de gendarmerie d'une métropole du sud de la
> France: ,"on a deux corps a identifier dans un van brûle, on a retrouvé une
> partie d'un document qui est une de vos ordonnances, on va faire venir chez
> vous la brigade de Nantes pour collecter les documents radiographiques et autres
> concernant votre patiente"
> -oui, je veux bien, mais pourquoi une brigade? J'ai une radio panoramique faitre
> il y a un an -ah, c'est bien, mais vous pouvez nous l'envoyer par mail ? - ba
> oui -ok"
>
> Un quart d'heure apres , ils m'(envoyaient un mail pour me remercier
> chaleureusement, l'identification de la jeune femme etait confirmée....Ils m'ont
> dit que jamais un CD (c'etait il ya 12 ans) , n'avait envoyé aussi rapidement
> des éléments aussi probants.
>
> Tu te refugies derriere des doses insignifiantes . Tous les 5 ans, pffffff,
> c'est que dalle.
>
>
>
>

petit joueur j'ai les empreintes 3 D. -)))
--
En cas d'échec des négociations conventionnelles, seriez-vous prêt à suivre la promotion d'un déconventionnement massif de la profession par les syndicats représentatifs ? OUI - NON
Participez, anonymement, sur https://goo.gl/forms/nAO0htnsVmxotjYm1


12