Cookie Consent byPrivacyPolicies.comCas pas sympa... des implants aie aie aie..... - Eugenol

Cas pas sympa... des implants aie aie aie.....

003 penrd2 - Eugenol
Cingulum

24/02/2005 à 14h33

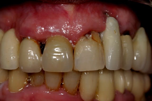
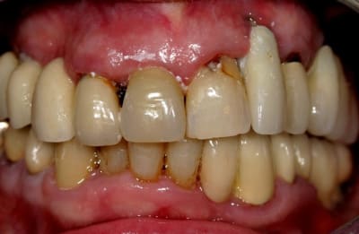
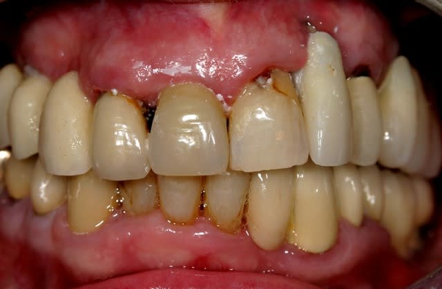
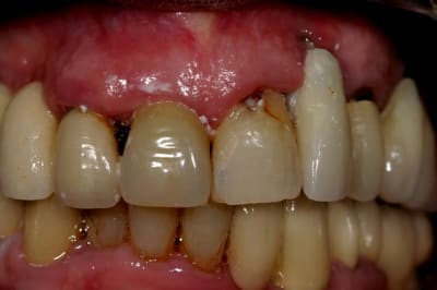
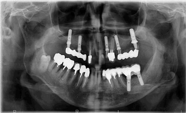
Voilà. Cette patiente se présente à moi. Elle est suivi depuis assez longtemps par un stomato. Qui l'a pris en charge pour la pose des implants que vous voyez sur la Pano.

Depuis deux ans cette patiente perd sa couronne sur 11. Vu l'état de la racine cela se comprend. Son praticien (sto) lui rescelle a chaque fois lui disant que l'on va s'en occuper...et cela tiens quelques jours au mieux.

Les implants maxillaire sont sous provisoires depuis au moins 8 mois. La dernière fois que j'ai vu la patiente je lui ai dit que l'on peut soir envisager un implant en position de 11, ou envisager un bridge 12-11-21 Car je pense que esthétiquement ce sera plus jouable...

Maintenant je lui ai fait comprendre que je voulais qu'elle termine le travail en cours avant d'entreprendre autre chose.

Je l'ai informé qu'elle avait un gros soucis de carie sous les dents 47-46-45...Et que cela allez poser problème rapidement, mais que le site était propice au implants...


La question c'est:

1. Plutot bridge ou implant pour la 11
2. Si je m'écoutais vraiment je ferais péter l'implant censé être en position de 22. Je ferai un conjonctif enfouis pour rattraper un peu la situation gingivale, et je ferai un bridge 12-11-21-22-23


que pensez vous de tout ça... ? :)

Cas 1 q2myqt - Eugenol
Img 1387 lexebb - Eugenol
Img 1385 djjkwx - Eugenol

gal

24/02/2005 à 15h08

tu es sur qu'en post c'est des prov sur les implants?

mais bon pour le devant moi je ferai un bridge 21 11 12 + un ccc unitaire sur la 22 avec un conjonctif enfouie et un alignement des collets



(la 11 n'est elle vraiment pas sauvable?)


Image19 iebot6 - Eugenol
athos

24/02/2005 à 15h10

bin pardonne mon irruption dans le domaine, car je suis bien incapable de répondre, mais pour mon information, les bridges dento implanto portés ont ils acquis une bonne réputation?


003 penrd2 - Eugenol
Cingulum

24/02/2005 à 16h07

oui ce sont des provisoire avec armature....ils sont meulés car l'occlusion ct pas ça...

Moi je prends la patiente en l'état...perso je pense que les bridges dento-implanto porté sont à reserver dans les cas ou on a vraiment pas le choix.

Le conjonctif sur la 22...je vois pas comment ça pourrait prendre je vois presques des spires de l'implant...


alhoun

24/02/2005 à 16h43

merci cingulum.ça a l'air chaud ton truc. j'y reviens.


alhoun

24/02/2005 à 17h20

intéressants, les implants zygomatiques qui s'arrêtent au quart du chemin. d'un point de vue biomécanique, ce traitement implantaire, c'est n'importe quoi. les édentements terminaux à droite et à gauche doivent être soutenus par 3 implants minimum, de préférence ostéo-intégrés, et de préférence pas dans la cavité sinusienne (il se peut que les implants soient placés dans une paroi sinusienne en évitant la cavité, mais je doute). la ligne de gencive sur l'implant en 22 est irrécupérable, car il n'y a rien pour soutenir une greffe. ce que je ferai:
1-examen scanner pour voire exactement ou se baladent ces implants.
2-dépose des implants douteux, je pense par exemple à l'implant distal à gauche.
3- bien sûr, le tout précédé d'un assainissement rigoureux, mais ça, je ne sais pas faire, il faut demander à amibien.


003 penrd2 - Eugenol
Cingulum

24/02/2005 à 17h34

Merci de ton analyse que je partage grandement...

Effectivement c'est du grand n'importe quoi, et j'aime pas ce genre de situtation on la patiente sent bien qu'il y a un truc pas top avec l'autre praticien et aimerais bien qu'on lui dise que c'est pas terrible ce qu'on lui a fait...

Mais bon elle est encore en cours de trt....
Je pense que l'idée du scanner c'est bien.
Et je vais tater le terrain avec elle pour voire si elle est motivée pour une dépose de 22...

Pour les secteurs post j'aimerais que le praticien termine son traitement et assume les éventuelles conséquences...il sera toujours temps de déposer d'autre implant si les choses se compliquent.

Donc ce que je vais faire: :)

1.Scanner
2.Envisager avec la patiente de retirer 22.


Et ensuite

3. bridge 12-11-21 (ça me gène de faire 12-11-21 à coté d'un truc posé par un autre...surtout si les ceram sont du meme acabit que les implants...)

3' soit bridge 12-11-21-22-23

Et aprés on s'attaque au bas...........
Merci alhoun


alhoun

24/02/2005 à 17h52

je t'accorde que c'est très casse pied à gérer.


Amibien

24/02/2005 à 20h25

C'est ça Alhoun, fous-toi bien de ma gueule alors que tu sais pertinemment que j'ai raison sur le fond... maintenant, dans le cas présenté par cingulum, je suis d'accord avec toi à 100%, c'est vraiment N'IMPORTE QUOOOIIIIIII !!!!!!!

il faut le hurler, le montrer sur la place publique...

et ce patient à qui on n'a pas appris à se nettoyer correctement, à qui on a laissé des foyers infectieux à gauche et à droite, à qui on a planté des implants au petit bonheur la chance....

en espérant que le scanner soit suffisamment lisible avec tout ce fatras, bonjour les artéfacts...

et maintenant Alhoun, c'est pas un cas pour parler d'abord de paro ? hein ????

ou plutôt de soins locaux d'abord ...!!!

tu reconnais aussi que c'est très difficile à gérer, et notre pauvre cingulum, il a vraiment intérêt à suivre un protocole rigoureux et de ne rien tenter avant d'avoir planifié et chiffré le bazar de A à Z, sinon bonjour les ennuis...

il faut absolument revoir complètement l'affaire et ne pas commencer à chipoter par çi par là...

ce que j'en dis n'engage que moi...

pour moi, c'est condamné non seulement en haut à gauche mais aussi en bas à gauche...

en haut à droite, il y a trop peu d'implants et le bras de levier par rapport à l'axe implantaire est trop important...

cette bouche est en train de s'effondrer.





alhoun

24/02/2005 à 20h48

t'es vraiment un couillon. tu vas comprendre que mon interêt pour la paro se limite aux dents sauvables de manière raisonnablement prévisible??


Amibien

25/02/2005 à 00h01

alhoun a écrit:
-------------------------------------------------------
> t'es vraiment un couillon. tu vas comprendre que
> mon interêt pour la paro se limite aux dents
> sauvables de manière raisonnablement prévisible??

Ben,là-dessus je suis entièrement d'accord avec toi...

Je suis comme toi à virer des dents qui ne sont plus prévisibles, comme tu dis...

Je ne suis pas un fêlé de la paro avec les matériaux de comblement pour poche infraosseuse, etc...

L'objectif que je poursuis n'est pas de chercher à sauver ce qui est perdu mais de rendre les patients conscients de leur parodonte...

On dit toujours "lavez les dents, comme çi, avec ça, etc" mais 50% des jeunes de 20 ans sont touchés au niveau parodontale et là, on ne dit rien, alors qu'on parle du sida, de la fièvre aviare, ... et il y a un tellement petit pourcentage de praticiens qui tentent d'apporter une aide dans ce domaine que c'en est à se demander si c'est vraiment possible !!!???

Alors quand j'entends Alhoun, dire qu'il n'en a rien à foutre, je sors de mes gonds...

Avant les Français roulaient trop vite sur les routes, maintenant il y a les radars, il y a moins d'accidents mortels...

Rendre les patients paroconscients, c'est une bonne idée, non ?

Je ne suis pas aussi couillon que ce que tu voudrais faire entendre...





gal

25/02/2005 à 11h45

cingulum d'abord bon courage

je ne comprend pas pourquoi tu veux imperativement enle ve l'implant de 22
realise tu le delabrement que cela occasionnera de retirer un implnat osteointegre surtout en position d'une incisve lateral
si j'etais toi je ne toucherai pas au sectuer post et je laisserai l'autre praticien gerai ses merdes et je ne m'en occuperai si et seulement si il n'assume rien et n'est pas correct avec la patiente


concernant ,encore la 22 pour repondre a alhoun une gregffe sur la 22 peut tres bien prendre (je dis pas que c'est sur a 100% ) mais largement tentable et souvent reussi ;il faut juste des petites precautions comme fraiser les spires appare,ntes V de l'implant avt de positionner le greffon ,etc..
en tout cas moi je me risquerai pas a retirer l'implant sans avoir essayer une chir paro. et je ferair un petit bridge 11 21 +unitaire 22 et 23

by


25/02/2005 à 13h51

Renvoie cette patiente voir son grand chirurgien, ne joue pas les bons samaritains, ça va te retomber dessus si tu la prends en charge.


003 penrd2 - Eugenol
Cingulum

25/02/2005 à 14h48

Donc aprés un peu de recul (ç'est important...)
Je proposerai à la patiente de retirer le pilier sur 22 et tenter de le réenfouir pour au final faire un bridge 12.11.21.22.23 conventionnel.

La première partie du traitement va être bien sur une bonne motivation et extraire la 11...

Merci pour votre soutien...je vous mettrai d'autre photo pour que vous ne perdiez perdiez pas le fil

Le reste on va voire au fil de l'évolution.


conseil1

25/02/2005 à 18h22

déontologiquement je porterais plainte contre le stomato histoire de le clore !!!


Humator t9r5wy - Eugenol
humator

26/02/2005 à 10h11

je viens juste de découvrir ce cas. Les voyants se mettent au rouge! J'ai pas besoin de microscope pour voir de suite que ce cas pue le paropathogène à fond!
donc bien d'acc avec françois, fais gaffe où tu mets les pieds: cingulum, si tu te lances, malgré ta bonne volonté, en extrayant 22, ce sera toi le résponsable de la perte de cet implant ( compte sur le stomato pour bien appuyer sur ce fait!) Si tu agis, tu co engage ta responsabilité.
C'est pas confortable , hein!
bon courage.


Image19 iebot6 - Eugenol
athos

26/02/2005 à 10h14

moi ausii je trouve que Cingulum est bien courageux...


djinn

26/02/2005 à 11h42

pareil. Je ne me lancerais pas la dedans comme ca. ca peut te retomber dessus.

Bon courage


alhoun

26/02/2005 à 19h22

eh oui cingulum, que des conseils de bon sens. le traitement est une chose, le médico-légal en est une autre. cette patiente doit être complètement libérée de ce praticien avant que tu ne lui fasse quoi que ce fut. libérée, ça veut malheureusement dire en l'occurence expertisée et indemnisée. en même temps, elle entretient sa bouche comme moi le souvenir de pol pot. délicat.


Amibien

26/02/2005 à 19h56

Cingulum,

il y a une infection parodontale et péri implantaire manifeste...

primo: SCANNER et stratégie de SOINS LOCAUX

secundo: tu ne peux arriver à t'en sortir au maxillaire pour une longue durée à moins de virer toutes les dents et de procéder à une greffe et ROG en haut à hauche après avoir déposé l'implant 27, et donc tu dois PLANIFIER les extractions dentaires, le placement des racines artificielles, la dépose de l'implant 27, la surélévation sinusale,plus la greffe d'apposition certainement nécessaire et la ROG associée...

tertio: quand l'infection anaérobique est maîtrisée, démonter les provisoires, effectuer un prélèvement ramique en bas à gauche (à conserver en liquide physiologique), lambeau bien disséqué (pour la fermeture) de 17 à 27 et LA TOTALE EN UNE SEANCE...avec extractions dentaires, pose des implants 15, 13, 12, 11, 21, 23, 25, vissage des vis de couverture (y compris celles des implants déjà posés), dépose de l'implant 27, sinus lift, greffe d'apposition, chips d'os tout autour et au-dessus des implants, membranes par dessus tout le bazar, fermeture hermétique, et la soupe pour un mois.

Tu dois vraiment t'organiser pour avoir une fermeture complète des muqueuses après l'intervention.

Pendant que ça guérit en haut, tu t'attaques au bas, un mois après la chirurgie en haut, tu poses un complet avec résine molle...

Si tu veux, on fait cela ensemble, mmmmhhhhhh !!!

Fais comme tu veux, mais un autre chemin me semble voué à l'échec...

Pense à l'échec de ton "pédé"cesseur, euh prédécesseur...! tu ne veux pas continuer comme lui ? il faut penser loin dans un tel cas...

Tu ne peux pas gérer les tissus mous et obtenir un résultat stable à long terme en essayant de raccomoder ce qui est pour moi un plan de traitement de "débile mental"


Squash u44zd8 - Eugenol
steph

26/02/2005 à 22h18

Salut cingulum,
t'as tiré le gros lot apparemment, je te livre mon humble avis qui pour une fois réconciliera peut-être alhoun et amibien...
Evidemment commencer par l'assainissement de sa bouche par les soins locaux (histoire de tester sa motivation) mais je serais encore plus radical quant au traitement et au vu du tableau : tu élimines tous les pathogènes en retirant tous ses implants et les dents restantes (axes implantaires aberrants, dents perdues, terrain fragile) et tu fais une reconstruction osseuse, ou plutôt tu fais faire, par prélèvement pariétal sous AG!!!
Avantage, en une séance tu combles les sinus et augmentes ta crête en hauteur et épaisseur avec une AUTOGREFFE, résultat esthétique et fonctionnel garanti!!!!
Un complet provisoire avant la pose de 12 implants mettons, sur du velours...
Plus question de mégoter, "un petit bridge de x à y", une "petite greffe", je "conserve" telle ou telle dent...rien du tout, il faut du solide et je ne vois pas d'autres solutions.
Autre avantage, suites op=aucunes, vu de mes yeux, très impressionnant.
Mais à part l'éduquer à brosser efficacement, je rejoins mes "petits" copains, ne fais rien.
Courage.


003 penrd2 - Eugenol
Cingulum

27/02/2005 à 12h53

Ne rien faire c'est difficile, la 11 tiens avec du coton...la racine est HS....

Déposer tout les implants c'est bien dans le texte...mais bon, ma patiente de 68 ans elle suivra pas. Elle a pas fini encore son "traitement" chez l'autre praticien.

Les implants sont mal placés certes. Mais ils sont asymptomatiques. Pas de mobilité, pas de douleur, pas de pb sinusien... Est ce que derriere tu assures à tes patients que tu fera mieux...c'est s'engager sur un terrain a risque. Sans compter l'engagement financier...On se paye pas 7 implants tout les ans...

Il y a pas à opposer "petit bridge" a "gros comblement" ...il y a à trouver une solution qui rende service et donne un résultat stable dans le temps si cela est possible...


ben

27/02/2005 à 13h08

Je ne commencerais rien sans une expertise préalable.


Squash u44zd8 - Eugenol
steph

27/02/2005 à 13h22

La durée de vie moyenne des femmes étant de 83 ans, il reste à ta patiente 15 ans à "tirer" ses pauvres implants malades avant d'arriver au complet certainement...
Au vu de la pano je crois pas que ce soit le voeu de la patiente de finir avec une prothèse mobile!!!
Je ne veux pas opposer petit bridge et gros comblement mais à vouloir minimiser les travaux, on induit dans l'esprit des patients des idées fausses qui peuvent mener au clash, et donc la solution stable dans le temps et qui lui rende service c'est reconstruction osseuse + bridge complet sur implants.
Bon courage encore une fois.


003 penrd2 - Eugenol
Cingulum

27/02/2005 à 15h25

"15 ans à tirer" dont presque 1/3 chez son dentiste....:)


12