Cookie Consent byPrivacyPolicies.comIdentification implant - Eugenol

Identification implant

steg

12/05/2020 à 10h15

Bonjour à tous ,j espère que la reprise se passe bien ?
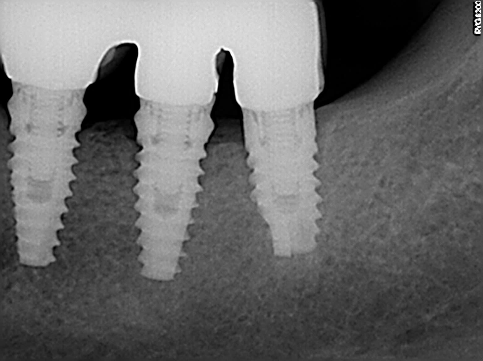
Quel qu un peut il me donner la marque de ces implants?

Gwelp9tifygaipruhygf - Eugenol

Photo pluton1b h9n4ea - Eugenol
pluton

12/05/2020 à 13h31

fichier, exporter en jpeg, importer dans nonol....çà sera bien mieux que la photo au smartphone de l'écran...on prend un max de pixellisation comme tu fais donc on a beaucoup de perte d'info....

après, comme çà ils ont une bonne tête de biohorizon...


steg

14/05/2020 à 11h43

voila merci de votre aide

R11 i8uept - Eugenol

Photo pluton1b h9n4ea - Eugenol
pluton

14/05/2020 à 12h22

ouaip, çà m'a bien l'air d'être des biohorizon