Cookie Consent byPrivacyPolicies.comAvis sur un cas un peu particulier - Eugenol

Avis sur un cas un peu particulier

azorliquid

09/06/2020 à 20h29

Bonjour,

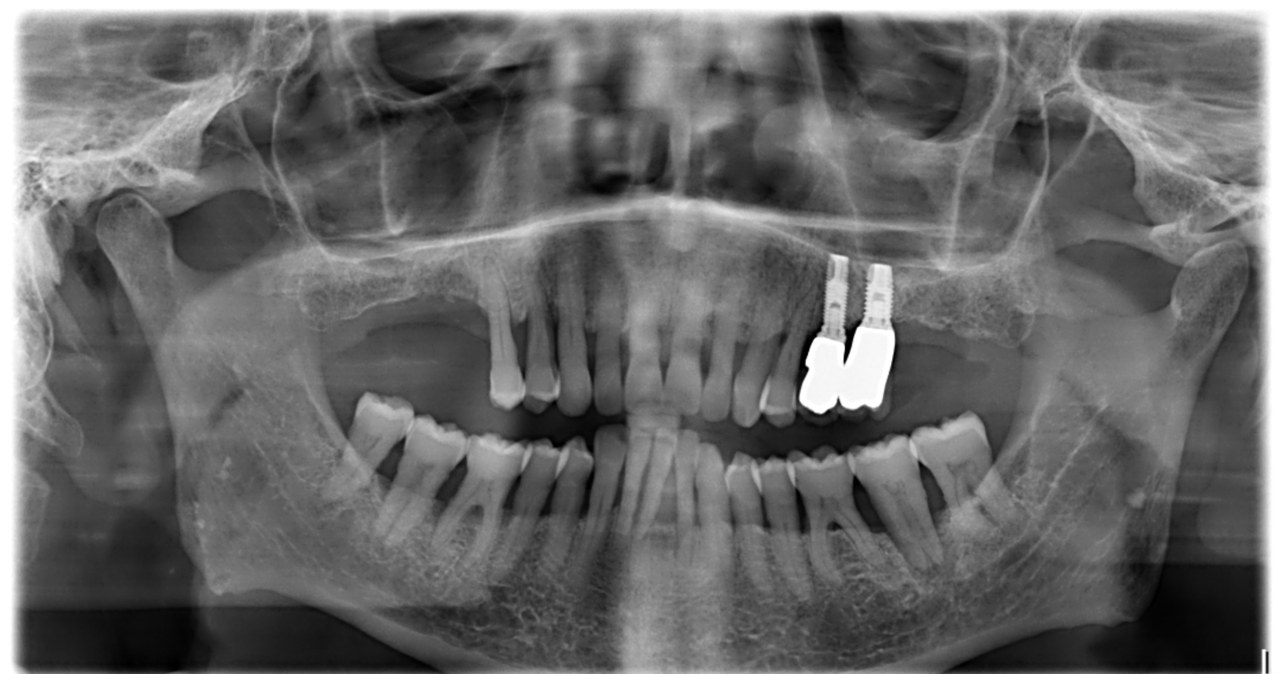
Je voudrais avoir vos avis sur cas que j'ai récemment eu au cabinet. Il s'agit d'un patient de 75 ans, atteint de la maladie d'Alzheimer. Une implanto lui a posé les 2 implants qu'il a en position de 24.25 avant de lui proposer d'entamer un traitement paro quand la 31 est tombée toute seule...
Souhaitant avoir un second avis, son épouse a pris rdv.
Le patient est très sympathique, malheureusement l'hygiène n'est au rdv, il est venu en février en 1ère consultation puis 3 semaines plus tard pour une motivation à l'hygiène et le tartre avait déjà récidivé. Je l'ai revu aujourd'hui, j'ai ressorti le détartreur.

Il a une belle LIPOE sur 37, la bio a été faite et est de qualité moyenne (c'est moi-même qui m'y suis collée, la pulpe camérale descendait assez bas, j'ai loupé la racine M...). Bref.

Toujours est il que je me pose la question de la réussite du traitement. De l'aveu même du patient et de son épouse, l'hygiène bucco-dentaire est délicate, mais il s'y colle tous les jours malgré tout.
Ne pas traiter serait discriminant pour le patient mais j'ai peur de me louper.

Qu'en pensez vous ? merci pour vos lumières


O6cvpsgyitgswqslbtoi - Eugenol

azerty

10/06/2020 à 09h01

laisse tomber. la maladie peut mal virer


vernal

10/06/2020 à 12h28

Sérieusement, un traitement paro sur un Alzheimer (!!!) alors que si cela se trouve les implants 16 17 ainsi que 27 peuvent être poser sans sinus lift.
Attention de ne pas confondre discriminant et simplement respectueux.
Simplement maintenir un état correct sans plus.
37 semble condannée et 46 pas bien partie non plus.
Ne pas profiter de la situation, c'est souvent très facile. L'entourage se culpabilise et est près à tout les sacrifices financiers pour limiter cette culpabilité.


azorliquid

10/06/2020 à 14h17

Merci Azerty et Vernal pour vos réponses. Du coup je verrai avec son épouse pour faire un traitement à minima, accompagné d’un suivi dans la mesure du possible.

Pour Vernal, en ce qui concerne la pose d’implant pour remplacer les dents manquantes, mieux vaudrait ne pas se lancer s’il y a une parodontite non traitée non ? Il n’existe pas un risque de dissémination aux autres sites ?
D’autant plus que s’il a du mal à brosser ses dents, il ne peut pas passer les brossettes... niveau hygiène on repassera, bien qu’il fasse de son mieux.


quantin

10/06/2020 à 17h12

Y a des implantos qui n’ont vraiment peur de rien. Poser des implants dans un contexte paro comme celui ci... c’est... couillu !


O kiwi tree facebook m1owej - Eugenol
Gonade

10/06/2020 à 17h34

C'est pas couillu c'est foutage de gueule surtout! Je traite pas la paro rien a battre je plante 2clous, dans 6 mois 2 sur le scteur 10.
Puis ensuite la 37 ....
Mais comme l'esperance de vie de mes implants est superieure à x années je suis serein...


quantin

10/06/2020 à 17h38

+1 je n’osais pas le dire comme ca !
------
> C'est pas couillu c'est foutage de gueule surtout! Je traite pas la paro rien a
> battre je plante 2clous, dans 6 mois 2 sur le scteur 10.
> Puis ensuite la 37 ....
> Mais comme l'esperance de vie de mes implants est superieure à x années je suis
> serein...


azorliquid

10/06/2020 à 17h50

Et encore, l’implanto n’a voulu traiter la paro que lorsque la 31 est tombée et que le patient est retourné la voir. Son devis leur paraissait trop élevé, c’est pourquoi ils ont pris un second avis. Mais franchement je ne comprends même pas l’attitude de l’implanto. Prendre des sous à un patient dans cet état c’est de la malhonnêteté.
Et puis après c’est bibi qui doit jongler entre confraternité à l’égard du spécialiste et tentative de sauver les dents (et les implants) restantes. Ça va être joyeux.
Comme quoi certains patients sont trop naïfs.