Cookie Consent byPrivacyPolicies.comExtraction ou mise en place sur l'arcade ? - Eugenol

Extraction ou mise en place sur l'arcade ?

holeinone

09/06/2020 à 22h20

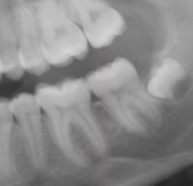
Une ortho me demande de procéder à l'extraction de la 47 sur un enfant de presque 18 ans.

Qu'en pensent les spécialistes ortho du forum ?
1 - oui il n'est pas possible de redresser ce genre de dent ?
2 - de toutes façons, y'a pas la place pour que cette dent soit correctement en place en particulier au niveau gingival.
3 - autres remarques.

Je trouve cela dommage de devoir extraire une 47 (saine), mais je pense que l'orthodontiste a probablement raison...
Votre avis ?

Exhncyrlxkylblw0jfni - Eugenol

Et7jtaj0pdi18gzjlxjiamlx15gs - Eugenol
Prunelles

10/06/2020 à 07h46

Suis pas ortho, mais je trouve ça con de ne pas tenter de la redresser. Surtout qu’il va falloir songer à son remplacement (implant ?) pour ne pas être emmerdé par la 17 dans quelques années.


crunch

10/06/2020 à 09h44

j'ai deja vu des dents comme ça etre redressées . il faudrait peut etre appeler l'ortho ou demander l'avis d'un autre ortho .


holeinone

13/06/2020 à 22h37

Entièrement d'accord avec toi Prunelles !

Pas d'avis d'orthos qui auraient déjà vu ce genre de cas ?


atrax

14/06/2020 à 09h14

Si bien évidemment redressement possible. Peut être que le patient ne veut pas d'un traitement d'ortho?
Le mieux ce serait d'appeler l'ortho pour lui demander et nous faire un petit retour de sa réponse ce serait sympa ;)


holeinone

14/06/2020 à 13h00

atrax écrivait:
-----
> Si bien évidemment redressement possible. Peut être que le patient ne veut pas
> d'un traitement d'ortho?
> Le mieux ce serait d'appeler l'ortho pour lui demander et nous faire un petit
> retour de sa réponse ce serait sympa ;)

Merci Atrax !
Voilà ce que j'attendais dans un premier temps : savoir si c'était possible.
Je vais pouvoir maintenant appeler l'ortho pour mieux connaître la raison de la demande d'extraction et discuter avec elle.
Je viendrai ensuite poster sa réponse.


doagui

14/06/2020 à 13h09

A mon humble avis, c'est pas si simple. Déjà il faut voir depuis combien de temps le patient est équipé et s'il a encore envie de prolonger nettement son traitement pour ça. Il est probable que le patient ait refusé, tout simplement.

A côté de ça, redresser la dent ok, et ensuite ? Quelle place disponible ? Regardez la 37, elle est bien dans l'axe, et pourtant son arrivée sur l'arcade semble incertaine aussi par manque de place ! Redresser c'est bien beau mais s'il n'y a pas la place de toutes façons...

Bref, le plus simple reste d'en parler directement avec l'ortho. Il a vu le patient en bouche, il a d'autres documents que juste une pano (et encore bravo à ceux ici qui arrivent à faire un plan de traitement avec juste ça, moi j'en suis bien incapable), il pourra t'expliquer les raisons de son choix.


atrax

14/06/2020 à 13h30

Il manque des photos intra orales pourquoi pas et oui ça va clairement allonger le traitement. Mais dans ce genre de cas tdoagui tu distalize 47 avant de redresser. Comment tu ferais concrètement?


doagui

14/06/2020 à 14h24

Distaliser 47 vers où ? Dans la branche montante ?

Concrètement franchement là comme ça je ne sais pas. J'ai envie de dire qu'il aurait fallu envisager d'extraire 35 et 45 peut-être, pour pouvoir être sûr de mettre les 7 sur l'arcade, mais ça c'était une question qu'il aurait mieux valu se poser au démarrage, pas à ce stade-là du traitement. Ca aurait permis d'avoir au moins une partie des 7 mandibulaires en contact occlusal avec les 7 maxillaires (alors que là si on se retrouve à extraire une 7 il faudra aussi probablement faire sauter l'antagoniste, ce qui est bien ennuyeux).

Je ne vois pas comment on pourrait mettre tout ce petit monde en place sur l'arcade proprement. Là au mieux tu vas finir avec la face distale de 37 et 47 sous un capuchon muqueux, à moitié bloqué par la branche montante de la mandibule, ça va juste générer des abcès comme une dent de sagesse mal sortie et au bout du compte une belle carie sur une dent qui sera bien difficilement restaurable par le dentiste puisqu'à moitié dans la gencive.


Utilisateur banni

14/06/2020 à 14h36

37 a déjà limite la place , propice pour avoir des péricoronarites.
47 si bien remise en place : même sanction. Et encore sacrée galère pour la mettre comme il faut en occlusion avec 17. À extraire


1 eugenol dmj5np - Eugenol
Dancha

22/06/2020 à 16h40

Je ne suis absolument pas d'accord avec l'extraction !
Cette dent est à redresser, cela ne devrait même pas se discuter.
Quand à parler de "galère", il suffit d'employer la bonne technique...
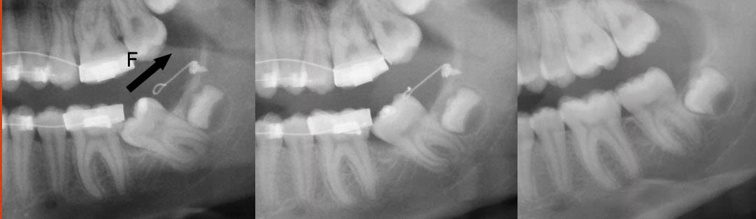
Un CT8 (ou même un simple CTO comme sur les photos jointes car elle n'est qu'enclavée) ) est le système de choix.

Daniel

Redressement 37 enclavée nc6d3j - Eugenol

Gabzou

22/06/2020 à 16h48

Le redressement est techniquement possible, mais je rejoins l'équipe extraction à cause du manque de place, avec exactement les mêmes arguments que Doagui (et effectivement il aurait peut être fallu se poser la question de l'avulsion de prémolaires au départ, mais maintenant c'est trop tard).


Vw campersurfvan bmnk1q - Eugenol
enlaye

22/06/2020 à 19h28

doagui écrivait:
------
" Distaliser 47 vers où ? Dans la branche montante ?
...........puisqu'à moitié dans la gencive."
+1 bien dit


1 eugenol dmj5np - Eugenol
Dancha

22/06/2020 à 19h39

Vous allez donc virer les 4 secondes molaires et créer un cas qui n'aura plus que les premières.
Bravo !

Daniel


doagui

22/06/2020 à 19h44

Dancha écrivait:
------

> Cette dent est à redresser, cela ne devrait même pas se discuter.
> Quand à parler de "galère", il suffit d'employer la bonne technique...
> Un CT8 (ou même un simple CTO comme sur les photos jointes car elle n'est
> qu'enclavée) ) est le système de choix.

Il n'est pas tant question de technique ou de faisabilité que d'intérêt final. Ce cas n'a rien à voir avec celui que tu présentes en panoramique, l'espace disponible n'est pas du tout le même.

Le CT8 est un très bel outil, élégant et efficace je trouve, que j'aimerais mettre en place au cabinet, mais il a ses indications et ne va pas miraculeusement créer de l'espace en distal... Ca me rappelle la petite phrase d'un de mes profs de fac, qui nous avait mis en garde en disant un quelque chose de ce genre : "attention, quand on a un marteau dans la main, on voit des clous partout !". J''appelle ça aussi le syndrôme Ikea : quand on rentre en magasin et qu'on récupère un ruban mètre, on a subitement envie de TOUT mesurer !


Gabzou

22/06/2020 à 20h11

Dancha écrivait:
------
> Vous allez donc virer les 4 secondes molaires et créer un cas qui n'aura plus
> que les premières.
> Bravo !
>
> Daniel

Personnellement j'attendrais les premiers symptômes de type péricoronarite qui ne manqueront pas de survenir sur la 37 ou la 47. Mais oui, je pense qu'il vaut mieux une arcade courte que des péricoronarites à répétition. Cela dit le choix appartient au patient.


1 eugenol dmj5np - Eugenol
Dancha

22/06/2020 à 22h06

... sauf que vous oubliez que la branche montante est en vestibulaire par rapport à l'arcade.
Une radio panoramique ne me paraît pas suffisante dans ce cas-ci pour décider de supprimer 4 molaires dont 3 sont déjà sur l'arcade.
Je ne le ferais pas.
Quand à utiliser les patients pour faire joujou comme c'est insinué précédemment, ce n'est pas dans mes habitudes.

Daniel


Utilisateur banni

22/06/2020 à 22h52

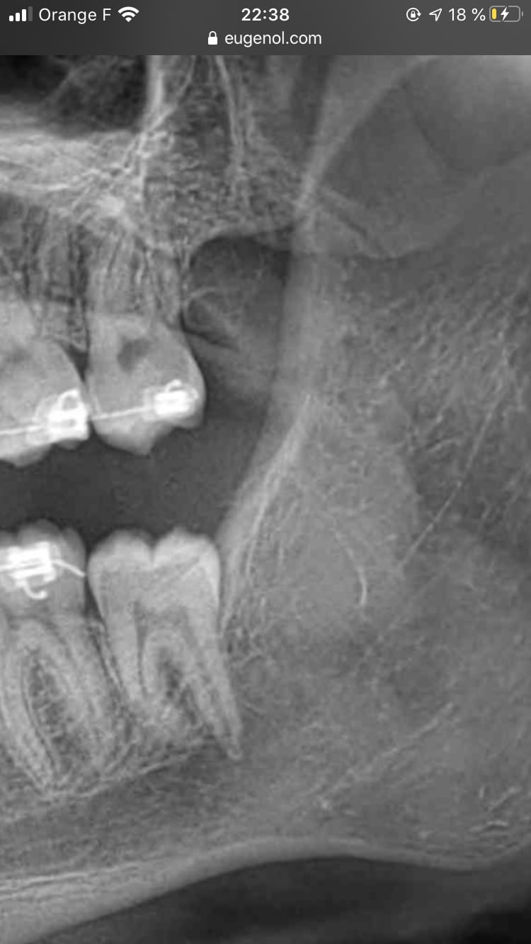
Il y aura exactement le même espace que pour sa 37 . Avec en D un beau fourre-tout propice aux pericoronarites. Même pas besoin de voir en clinique ce qu’il se passe . On voit bien la portion osseuse en D de 37 qui longe la dent. Avec une sonde paro on doit y enfoncer l’équivalent d’1 cm.
Totalement d’accord avec Doagui , faut comparer ce qui est comparable. Quant à l’histoire de la branche montante qui est en V par rapport à l’arcade ....... il y a juste à regarder la lamina dura qui se prolonge en D de la 7 pour comprendre qu’on a 1 cm de fausse poche favorable à la mise en place de plaque dentaire propice à une inflammation carabinée gingivale que le patient ne pourra JAMAIS nettoyer sans l’intervention d’un insert à détartrer. Dans ton cas Dancha le patient peut nettoyer la zone . Dans l’autre cas il est tout bonnement impossible de nettoyer la zone.

E88aca50 7b0c 43cd 9999 9bc659ad0a16 erepgz - Eugenol
B8306843 7ec2 49d5 9682 d36214c70e59 vwm88z - Eugenol

doagui

22/06/2020 à 22h53

3 molaires sur l'arcade, faut le dire vite... 37 pas vraiment...

Je suis d'accord que la panoramique est insuffisante (je l'ai dit précédemment) mais je te renvoies l'argument : si elle ne suffit pas à decider d'extraire, elle est tout aussi insuffisante pour décider de conserver.

Je n'ai ni pensé ni insinué que tu voulais faire joujou, je dis juste qu'il faut se méfier des habitudes. Avoir mis 100 dents incluses en place ne justifie pas l'indication d'en faire autant pour la 101ème.


Utilisateur banni

22/06/2020 à 22h58

doagui écrivait:
------
> 3 molaires sur l'arcade, faut le dire vite... 37 pas vraiment...
>
> Je suis d'accord que la panoramique est insuffisante (je l'ai dit précédemment)
> mais je te renvoies l'argument : si elle ne suffit pas à decider d'extraire,
> elle est tout aussi insuffisante pour décider de conserver.

Mouai :) t’es pas obligé de reculer sur ta position. Tu sais très bien qu’on va pouvoir y enfoncer une spatule complète en D. Tu as totalement raison sur ce coup .


doagui

23/06/2020 à 00h19

Mon avis reste le même, effectivement ;)


Vw campersurfvan bmnk1q - Eugenol
enlaye

23/06/2020 à 08h00

Dancha écrivait:
------
" Vous allez donc virer les 4 secondes molaires et créer un cas qui n'aura plus que les premières.
Bravo ! "

A mon avis ce n est pas une création , il y a deja eu ttt ortho , et c est une reprise de ttt .
Il faudrait connaître la motivation de cette reprise . Et je ne pense pas que les 7 en soient la cause .:-)


Nouveau image bitmap fz77zh - Eugenol
Sethef

23/06/2020 à 09h18

Sans avis sur l'aspect odf, je rajoute juste mon caillou en rappelant que les arcades raccourcies ça fonctionne très bien, ça évite un paquet d'emmerdes, paro ou cario, ou occluso, ou tout simplement des difficultés d'hygiène, et qu'à titre perso, quand je vire une 7 je ne cherche (presque) jamais à la remplacer.


teeth61

23/06/2020 à 17h36

extraction !!


crunch

24/06/2020 à 14h29

Sethef écrivait:
> a titre perso, quand je vire une 7 je ne cherche (presque) jamais à la remplacer.

et que fais tu de l'antagoniste ?