Cookie Consent byPrivacyPolicies.comMon premier échec ? - Eugenol

Mon premier échec ?

21 copia rsxzpu - Eugenol
Mc Trufax

12/06/2020 à 13h04

Bonjour à tous,

Un message suite à la pose d'un implant en place de 46, il y a 15 jours.

Intervention :
+ Site : ATCD de fracture mandibulaire consolidée - dent extraite suite carie/ LIPOE avant, curetage sans comblement attente 12 mois (Validation d'une stabilisation paro suite traitement non chirurgical/COVID19))
Os D2
+ Moi : praticien "débutant", 30 implants en 3 ans - un peu stressouille à chaque pose
+ Implant : parallel CC Nobel
+ Intervention : Difficultés à positionner l'implant en apico-coronaire malgré le passage du taraud (au final on le voit clairement sur le cliché)
+ Appel à 24h : RAS


le 11-06 : appel de la patiente avec vive douleur dans la zone et gonflement --> Amox 1g (1-1-1) / Prednisolone 60mg / Paracetamol

le 12-06 : Aujourd’hui, la patiente viens en consultation en me décrivant une amélioration du gonflement et de la douleur
46 : douleur légère à la palpation en vestibulaire et en sous mandibulaire, percussion négative sur la vis de cicatrisation.
45 : RAS
47 : mobilité dans les 3 axes palpation positive/ Vitalité faiblement positive/ Percussion positive / Palpation positive
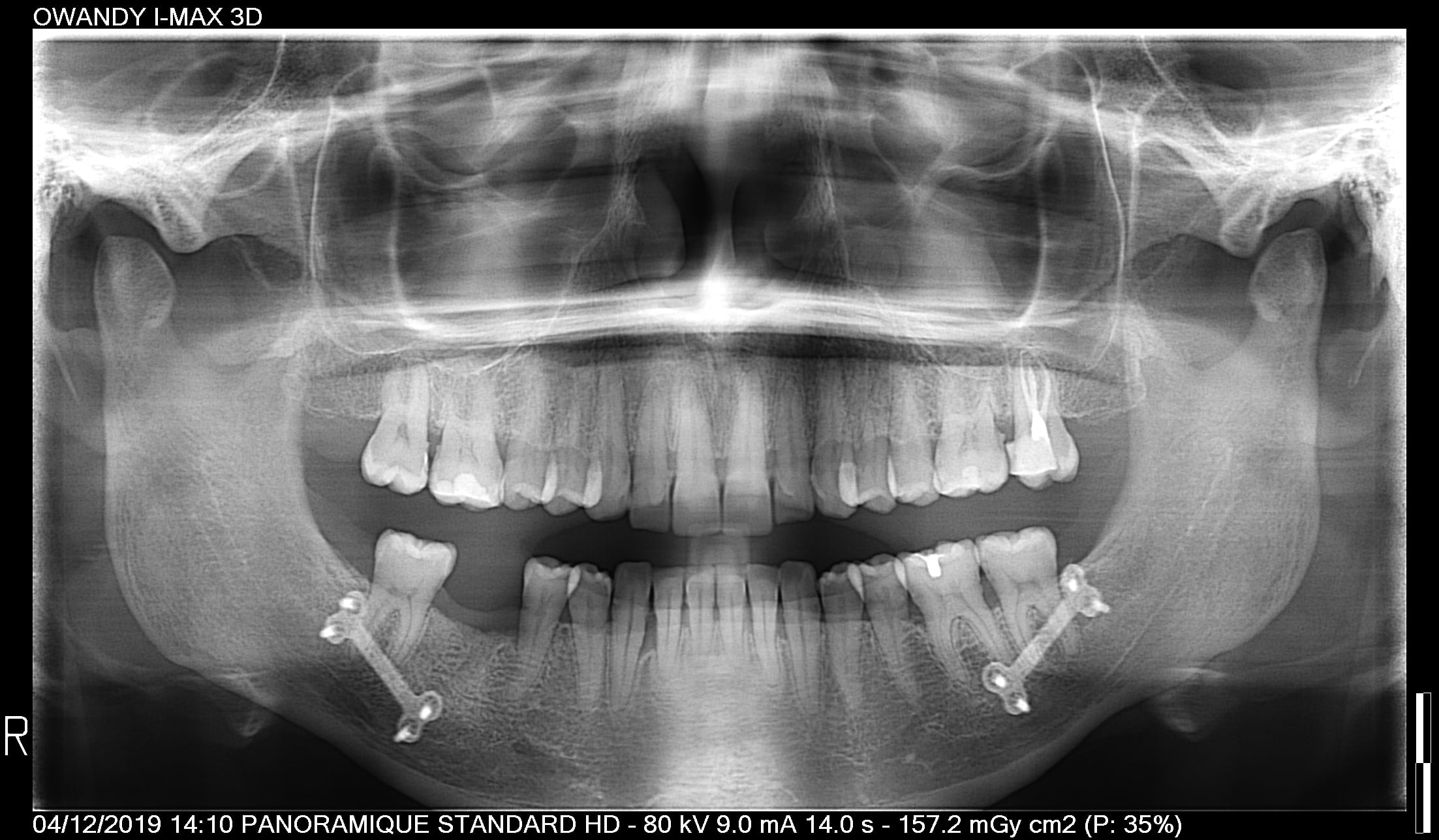
RVG :
47 : élargissement ligament racine distale
46: Impression d'une image à l'apex de 46 mais sans en être sur.

Je vais faire la pulpectomie de 47, attendre et si pas d'amélioration déposer 46.

En analysant les causes de la situation je me dis que ça peut être dû à la compression dans la logette implantaire. Etant encore vert en implanto, je n'en suis pas certain. J'espère apprendre quelque chose de tout ça.

Je suis à l'écoute de vos avis et retours d'expérience si cela vous est déja arrivé.

Merci et bonne journée.


21 copia rsxzpu - Eugenol
Mc Trufax

12/06/2020 à 13h06

Les RVG du 12-06-20 et la préop

46 mygz1j - Eugenol
47 oeeqjr - Eugenol
Préop ddmowr - Eugenol
De sousa warda p001 2019.12.04 14.10 - Eugenol
Cbct vlvefj - Eugenol

6szjws718sv1jksw54v4mpj3a6cu - Eugenol
vulpi

12/06/2020 à 13h36

Et pourquoi pulpec 47?


21 copia rsxzpu - Eugenol
Mc Trufax

12/06/2020 à 13h44

Mobilité dans les 3 plans qui n'existait pas le jour de la pose / Percussion+ / Palpation+ / Vitalité+ patiente soulagée par l'eau chaude. (je ne l'ai pas précisé)
J'ai souvent eu ce cas où une partie du réseau canalaire est nécrosé mais un canal reste "vivant" avec à la fois des symptômes de LIPOE et de pulpite. Je doute l'avoir soulagé en une seule prise médicamenteuse (elle a commencé le 11-06 à 16h) ce qui me fait penser à un arret des symptomes de pulpite au profit du versant nécrotique.

Ça me paraît sensé tout du moins.


6szjws718sv1jksw54v4mpj3a6cu - Eugenol
vulpi

12/06/2020 à 13h54

Oui, autres possibilités TO, fêlure.
Je ne remets pas en cause ta décision, je n'étais pas là:-). J'aurais attendu que cela refroidisse ou évolue.


Photo1 wmxx1a - Eugenol
Dentalgic

12/06/2020 à 15h14

vulpi écrivait:
-----
> J'aurais attendu que cela refroidisse ou évolue.
D'accord avec toi, c'est un peu prématuré de faire la pulpectomie de 47.


Zorba le grec 1373406512 108 lfk5ey - Eugenol
zorbalegrec

12/06/2020 à 15h22

Dentalgic écrivait:
---------
> vulpi écrivait:
> -----
> > J'aurais attendu que cela refroidisse ou évolue.
> D'accord avec toi, c'est un peu prématuré de faire la pulpectomie de 47.

+1000


Zorba le grec 1373406512 108 lfk5ey - Eugenol
zorbalegrec

12/06/2020 à 15h25

Ce n'est pas parce que tu as une réponse post op que tu as foiré
as tu fait une prémédication cortisone+Antibiotique avant la pose de l'implant si non je te conseille de le faire ça évite bien des déboires et du stress


vernal

12/06/2020 à 15h38

100 % d'accord avec toi Zorbalegrec. Pourtant beaucoup disent pas de prémédication , j'ai essayé, j'ai regretté.


2 n2dlt7 - Eugenol
2+2®

12/06/2020 à 15h41

Souffle un coup et laisse faire le temps.
Dans la panique tu sur traites.
Tu enleves tes sutures et controle à un mois


Utilisateur banni

12/06/2020 à 16h23

jamais d'AB systématiquement ici.
je regrette pas plus que mon confrère qui en donne systématiquement. :D

ce genre de merde tu peut l'avoir avec une simple intra-septale... avec un forage... tu penses bien que ça arrive.


21 copia rsxzpu - Eugenol
Mc Trufax

12/06/2020 à 16h58

Merci pour vos retours.

Pour la 47, je ne crois pas aux coïncidences en médecine, bien évidemment pas envie de faire un mauvais "move" en dépulpant, je verrai après l'antibiothérapie.

Pour répondre à tous concernant la prémédication, modestement je suis les recommandations que l'on a pu me donner lors de ma formation initiale en implanto (P. Mariani) et de ce que j'ai pu lire (Davarpanah) qui donne une notion de compétence et d'expérience du CD. Et en l'occurence sans me dévaloriser l'antibioprophylaxie est justifiée car je vais mettre 1h pour faire ce qu'un cador fait en 15min. Temps opératoire + long = + de risque.

Merci encore pour vos échanges


Avatar transparent iqadnc - Eugenol
adhoc

12/06/2020 à 19h16

A moins que j'aie mal lu, personne pour parler des plaques de fixation en titane.
Sont elles dues a un LEFORT III ou un accident (je pense plutot au premier cas, symétrie assez parfaite).
Hypothese: pendant longtemps on peut avoir un os assez peunspongieux, peu vascularisé en aval des plaques. Est ce que cette mobilité bizarre de la 7 qui normalement n'aurait pas du moufter (!) et le rejet implantaire ne sont pas dus a ca?


Blue eye thumb medium dx1i0w - Eugenol
bill

12/06/2020 à 19h25

Bien vu.
Les implanto qui ont déjà déposé ce genre de matériau trouvent souvent un os "bizarre" quand l'implant est à proximité (2 cas rapportés par des potes)


--
https://docudent.fr
Tous les documents du cabinet dentaire
& l'aide à la cotation du Reste à Charge 0
________________________________________


21 copia rsxzpu - Eugenol
Mc Trufax

18/06/2020 à 18h18

Le verdict ce matin au CBCT... Trop vestibulé (classique) même si mon axe d'émergence sort bien au niveau de la cuspide palatine maxillaire, sous forage et nécrose par compression en essayant de le tanker à la main. Dans du D1 vous avez une alternative cylindrique dans vos tiroirs ou vous restez sur du cylindro-conique ? Dépose programmée. Pour la pulpectomie de 47, je vais attendre un peu. 8 semaines vous semble raisonnable pour réimplanter ? Quels sont vos conseils pour la réintervention ? Merci à tous

Capture zsgxep - Eugenol

Photo pluton1b h9n4ea - Eugenol
pluton

18/06/2020 à 23h48

c'est pas une image de D1 çà...du D2 oui
le D1 c'est de l'os quasi uniquement cortical, ultra compact
D2 tu as une corticale épaisse et du spongieux dessous ce qui est le cas ici...

clairement ton image de CBCT me fait plutôt penser à un pb d'échauffement
peut être en plus augmenté par la compression générée par le design de ton implant, très classique avec le CC parce que c'est pas un implant auto taraudant, il est fait pour être compressif...

=> changement de tes forets pour des neufs, ainsi que tes tarauds certainement fatigués aussi...

après çà ne transformera pas les résultats non plus à la mandibule sur les os un peu dense avec cet implant, les cratérisations au col, c'est la signature de cet implant (mes associés en posent....à la mandibule, c'est systématiquement qu'ils ont une cratérisation...)
en résumé: si tu ne veux plus subire çà, songe à changer de système...


Aiguille cyboyt - Eugenol
fatboy

19/06/2020 à 13h53

Compression lors de la pose, c’est sûr. Trop vestibulaire, aussi. Échauffement lors du forage, en général la douleur est plus rapide, plutôt 2-3 jours après la pose.
En revanche, c’est l’énorme image apicale à l’implant qui m’étonne. Tu as le CBCT, préopératoire ?
Pour moi, jamais de prémédications.


2 n2dlt7 - Eugenol
2+2®

19/06/2020 à 15h44

Quel est l'interet d'un CBCT post implant chez ton patient?


21 copia rsxzpu - Eugenol
Mc Trufax

19/06/2020 à 17h31

Tu as l'image du préop un peu plus haut dans le fil de discussion.

Concernant le cbct post-op, l'examen clinique ne m'a clairement rien amené, à savoir :
- une douleur équivalente entre 47-46-45 en palpation majorée en regard de la plaque d'ostéosynthèse
- une percussion positive sur 47-45 et négative sur l'implant
- une vitalité positive sur 47 mais minorée vis à vis de celle de 45
- La rétro-alvéolaire ne m'a clairement apporté aucune information (peut-être n'est-elle pas assez qualitative)

Certes il y a une irradiation supplémentaire mais ce n'est pas dit que sans CBCT j'aurai envisagé la dépose dans un délai aussi bref.

Elle a bien subit une osteotomie pour de l'orthognatique mais cela date de 1994 ...


21 copia rsxzpu - Eugenol
Mc Trufax

19/06/2020 à 18h49

.


21 copia rsxzpu - Eugenol
Mc Trufax

19/06/2020 à 18h49

pluton écrivait:
------

> en résumé: si tu ne veux plus subire çà, songe à changer de système...

Sans parler de marque ou de modèle, quel type d'implant (design) me conseilles-tu ?


Aiguille cyboyt - Eugenol
fatboy

20/06/2020 à 05h49

Ma question, c'etait as-tu la meme image apicale sur le cbct preop que celle qu'on voit a l'apex de l'implant en post-op?
Ca m'etonnerait qu'elle se soit formee en 15 jours.
Dentium superline me donne toute satisfaction, pas une seule craterisation en quelques 6-700 implants.
D'une maniere generale, je me rend compte que rechercher une stabilite primaire en vissant fort (>50 N.cm-1) est une mauvaise idee. Ca entraine des douleurs et le succes n'est pas meilleur qu'avec un implant visse a 15N.


Lautreamont

20/06/2020 à 09h31

.


CHRISTOPHE. 78

20/06/2020 à 09h48

Selon toute vraisemblance vu l'état initiale de 46 tu as tapé dans un site infecté. Pas de chance mais no regret car ton implant n'était pas suffisamment enfoui.


papy smarter

05/07/2020 à 03h05

En dehors de toute analyse de ce cas et des discussions, juste une petite information.
Les dernières revues systématiques de la littérature internationale concluent à un effet protecteur des échecs immédiats de l'utilisation d'antibiotiques avant la pose d'implants.
L'utilisation de 3g d'amoxicilline ( hors allergie) 1 h avant la mise en place montrant une efficacité supérieure aux 2 g classiques.


12