Cookie Consent byPrivacyPolicies.comLe coût des soins hospitaliers - Eugenol

Le coût des soins hospitaliers

amelion1

30/06/2020 à 13h02

wakrap écrivait:
------
> .Quel(le) vie pathétique que de trouver le bonheur dans la
> prétention obscène de croire que par une fonction administrative tu fais
> fonctionner alors que tu ne fais que faire agir selon des cerfa, c'est à dire
> mal fonctionner.

Négatif. On ne s'occupe pas des cerfa ou des règlements, on s'occupe du fonctionnement pour améliorer le service rendu et aussi les finances du service rendu ! ce n'est pas forcément compliqué mais parfois, hélas, il faut s'arranger pour virer les fainéants pathologiques !
Mon boulot personnel était celui-ci : améliorer ce qui fonctionnait mal, et aussi virer. J'admets n'avoir pas tout réussi, parce que certains nuisibles étaient très protégés (par les syndicats, les politiciens ou même l'Ordre !). Oui, il y a des nuisibles partout, et ce n'est pas facile du tout de les contrer, on se fait vite des ennemis très puissants !

> Sinon, on connait les stat, il n'y a pas plus de fonctionnaires en France, on a
> autant de lits d'hôpitaux qu'en Allemagne ou dans les autres pays, autant de
> personnel médical par lit, autant de scanner par habitant et pas plus d'impôts
> que les autres.

C'est bien plus complexe que ce qu'on lit. J'ai comparé tout... pour conseiller nos propres instances décisionnaires, c'était mon dernier boulot !
Si tu veux comparer vraiment pays par pays, c'est très difficile, et tu ne regardes pas que les stats. Faut aussi regarder la socio, la culture, la géographie, l'histoire, la densité de population par zones, etc. Chacun est obligé de regarder tous les facteurs, y compris les divergences politiques.
Exemples :
- il y a en France beaucoup plus de lits de "psychiatrie" qu'en Allemagne ! est-on plus fous qu'ailleurs ? Non... mais notre culture philosophique est sans doute différente. Nous sommes des individualistes et eux sont des socialistes ? Ils se donnent un coup de main familial ou amical et nous on préfère rester isolé et complexé ? Si tu veux imiter les Allemands-Anglais-Saxons-Nordiques, tu vas faire gueuler dans les chaumières !
- Un état fédéral n'est pas un état centralisé, car la diversification peut être un avantage mais a des contraintes énormes. La dispersion des hôpitaux a l'avantage de l'accès facile aux patients, mais l'inconvénient financier de l'investissement. Tout regrouper dans un même lieu coute nettement moins cher
- La géographie de la Finlande n'est pas identique à celle de la France. D'où des modifications comportementales des praticiens avec de la délégation de tâches et des consults à distance car installer un rhumato ou un cardio dans le Nord de la Finlande est impossible.
- exemple simple : la différence entre Paris et Berlin ! l'un est archi-petit avec une densité de population très importante, l'autre est très vaste avec une densité plus faible. La pollution est grave à Paris et très légère à Berlin, c'est logique ! tu continues avec les hostos, en toute logique, pour les mêmes raisons, à Paris, faut les regrouper en un ou deux lieux, et à Berlin on peut les disperser !

remarque sur les hostos en Allemagne, dispersion (car population dispersée et en France population très urbanisée) et très bon fonctionnement, mais un défaut majeur qu'il faudra régler : la multiplication des "propriétaires" d'établissements hospitaliers qui se font une guéguerre nuisible en terme en santé publique. Ces proprios sont souvent des caisses de sécu (très très nombreuses et différentes) qui privilégient leurs propres affiliés, éloignent les affiliés des caisses concurrentes, et se piquent des services de soins. ça sert à quoi d'avoir 2 services de néo-nat dans la même ville ?

En France, il y a un défaut qu'ont noté tous les économistes de la santé. C'est la médecine de premier recours qui fonctionne mal, les urgences bénignes sont très mal prises en charge. Ils sont "absents", et communiquent peu. La délégation n'existe pas ou trop peu. Résultat : les hostos sont bloqués car surbookés. Si les hostos ont de réels problèmes de fonctionnement, c'est parce qu'ils sont contraints de faire le travail de la médecine de premier recours.


Nouveau image bitmap fz77zh - Eugenol
Sethef

30/06/2020 à 13h40

rapelapente écrivait:
-----------
> Aventure hospitalière en direct :
> Ma belle mère se fracture le col du fémur vendredi.
> On demande aux pompiers de l'emmener dans le meilleur hôpital du secteur.
> Hôpital militaire.
> lls viennent juste de l'emmener au bloc, pour la ramener dans sa chambre 15 mn
> plus tard.
> Ils n'ont pas le materiel pour l'opèrer...
> Depuis vendredi personne n'avait donc vérifié...
> Elle était à jeun depuis 24 h. Elle a un repas maintenant.
> Quelque-peu surréaliste non?
> En plus c'est vrai, c'est un excellent hôpital...
> Dans un pays du 1/3 monde... La France...

J'avais raconté il y a quelques années ma comparaison public/privé, quand je m'étais pété la jambe. Je n'ai même pas l'impression que ce soit une question de moyens, c'est juste que tout le monde s'en bat les couilles... de tout.
On le voit bien chez nous, ça reste possible de bien bosser, et regarde le niveau global de la dentisterie... Je ne sais pas d'où vient le problème, et encore moins comment le régler. Quelques personnes de bonne volonté tiennent le système à bout de bras.

Anecdote: en début d'exercice, je fais 2-3 onlays à une vague copine, qui déménage ensuite sur Paris. Quelques années plus tard, elle me passe un coup de fil pour me dire tout le bien que son dentiste sur place a dit de mon boulot, que des inlays bien propres on n'en voit pas tous les jours, etc... Ca fait toujours plaisir.
Retour par chez nous, elle m'amène son nouveau mec le mois dernier; en bouche, quelques couronnes pourries et un très joli onlay (ou couronne partielle, la différence est ténue), morpho correcte, pas de colle dans les embrasures. Je lui dis tout le bien que j'en pense, ah ben tiens c'est le fameux dentiste parisien qui lui a fait, Je ne doute pas que le message lui sera transmis également.

Je pense qu'on retrouve le même souci dans tous les milieux.

Edit: l'anecdote, c'est pas pour ma la péter. Regarde chicot29: pour ce qu'il montre, il n'a ni une patientèle d'exception, ni des tarifs hors norme, encore moins de matos inaccessible. A l'instinct, je ne pense pas que 70% de ses endos présentent une lésion à 5 ans. Donc quoi, c'est un génie, il a un truc spécial? Il a donné sa séquence endo à tout le monde depuis 10 ans, je l'ai copié comme d'autres, surprise, si tu es un minimum consciencieux, ça marche généralement. Donc comment on explique les endos à mi canal? Les couronnes carrées, les bulks tous plats?
Transpose à l'hôpital et tu as ta réponse.


Hok 1b hgd3rj - Eugenol
Hokusai

30/06/2020 à 14h07

Sethef écrivait:
------
> Donc quoi, c'est un génie, il a un truc spécial?

Bin oui.
maintenant je pense que tu te sous-estimes ou que tu surestimes nos capacités moyennes... ou les deux.
Pour le pbm de la qualité, tant qu'il n'y a pas de contrôle...


Nouveau image bitmap fz77zh - Eugenol
Sethef

30/06/2020 à 15h47

Je ne pense pas. Il y a quelques génies sur ce forum, capables de coller des onlays à la UHU stick et d'avoir de bons résultats.
Chicot, à l'inverse, présente une méthode simple et reproductible pour faire de l'endo, comme cingulum le faisait en restauratrice, comme d'autres le font en prothèse. De l'applicable par dr lambda qui veut bien faire.
Peut-être que là où chicot ratera un mv2, j'en raterai 2, mais en terme de santé pub ce n'est pas significatif.

Pour les contrôles, tu prêches un converti.


Hok 1b hgd3rj - Eugenol
Hokusai

30/06/2020 à 16h35

Sethef écrivait:
------
> Chicot, à l'inverse, présente une méthode simple et reproductible pour faire de
> l'endo

c'est simple parce qu'il y a un énorme travail d'optimisation en amont... puis de la rigueur. La t'as déjà largué 70% des omni.

Remarque c'est comme l'asepsie... dans les livres c'est simple... dans les faits c'est une autre histoire.


Nouveau image bitmap fz77zh - Eugenol
Sethef

01/07/2020 à 11h56

A l'instant, cagade de compet.
Patiente CMU, fraîchement arrivée sur le territoire.
25 26 (entre autres) fracturées, dévitalisées, à retraiter et couronner.
En cherchant à retrouver MV1 et 2 traités de manière symbolique, j'ai fait un très joli tout droit, dans la furcation. Décision prise d'amputer la mésio-vestibulaire dans la foulée, j'y ai laissé l'apex. Et quand je dit l'apex, c'est dans l'acception large, mettons la moitié apicale.

Conclusions à en tirer:
-des conneries, on en fait tous
-par contre, je compte bien récupérer le coup et ne pas enfouir le merdier sous une ccm en mode en mode pas vu pas pris. Si j'y pense, je mettrais les radios quand ce sera fini, mais certainement pas avant.


ch'ticot 59

01/07/2020 à 12h34

Y’a qu’a ceux qui ne font rien qui ne font jamais de conneries !!!
Ou les menteurs !!!


Nouveau image bitmap fz77zh - Eugenol
Sethef

01/07/2020 à 16h26

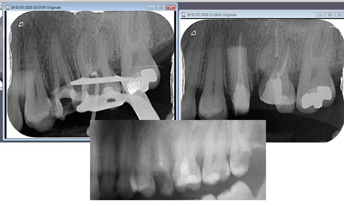
Tiens, revenons sur l'histoire pour analyser les conneries, et la manière de les rattraper.
Joint la pano pré op, la per-op (je l'ai dit ailleurs, si je prends une per op, c'est que quelque chose a merdé), et la post op.
On voit d'ailleurs sur la post op pourquoi je n'ai pas pu virer la MV, la séparation était tout simplement incomplète.

On note le délabrement presque juxta osseux de la 25. Ce qui va nous sauver, c'est l'absence d'empressement de la patiente. J'avais de toute manière prévu aujourd'hui de laisser la 25 avec son moignon à l'air libre, en large sous occ; j'en ai profité pour y filer un coup de fraise dans le sulcus pour favoriser l'égression dans les mois qui viennent. Le jour où j'irais chercher la MV, je ferais une plastie osseuse au passage avant de laisser cicatriser gentiment.

Et on va lui faire un truc bien joli pour compenser le mauvais karma.

(évidemment, sur la perop, le cône n'est pas dans le palatin)

25 26 xntmpp - Eugenol

Nouveau image bitmap fz77zh - Eugenol
Sethef

01/07/2020 à 16h30

Suite de l'analyse: pourquoi le faux canal?
-CMU, pas de npc sur la désobturation, donc j'ai voulu réduire le temps passé. Bien fait pour ma gueule.
-j'ai conservé l'ouverture de chambre initiale, sans prendre le temps de me mettre à l'aplomb du canal.


12