Cookie Consent byPrivacyPolicies.comIdentification implant - Eugenol

Identification implant

WMX

06/07/2020 à 08h44

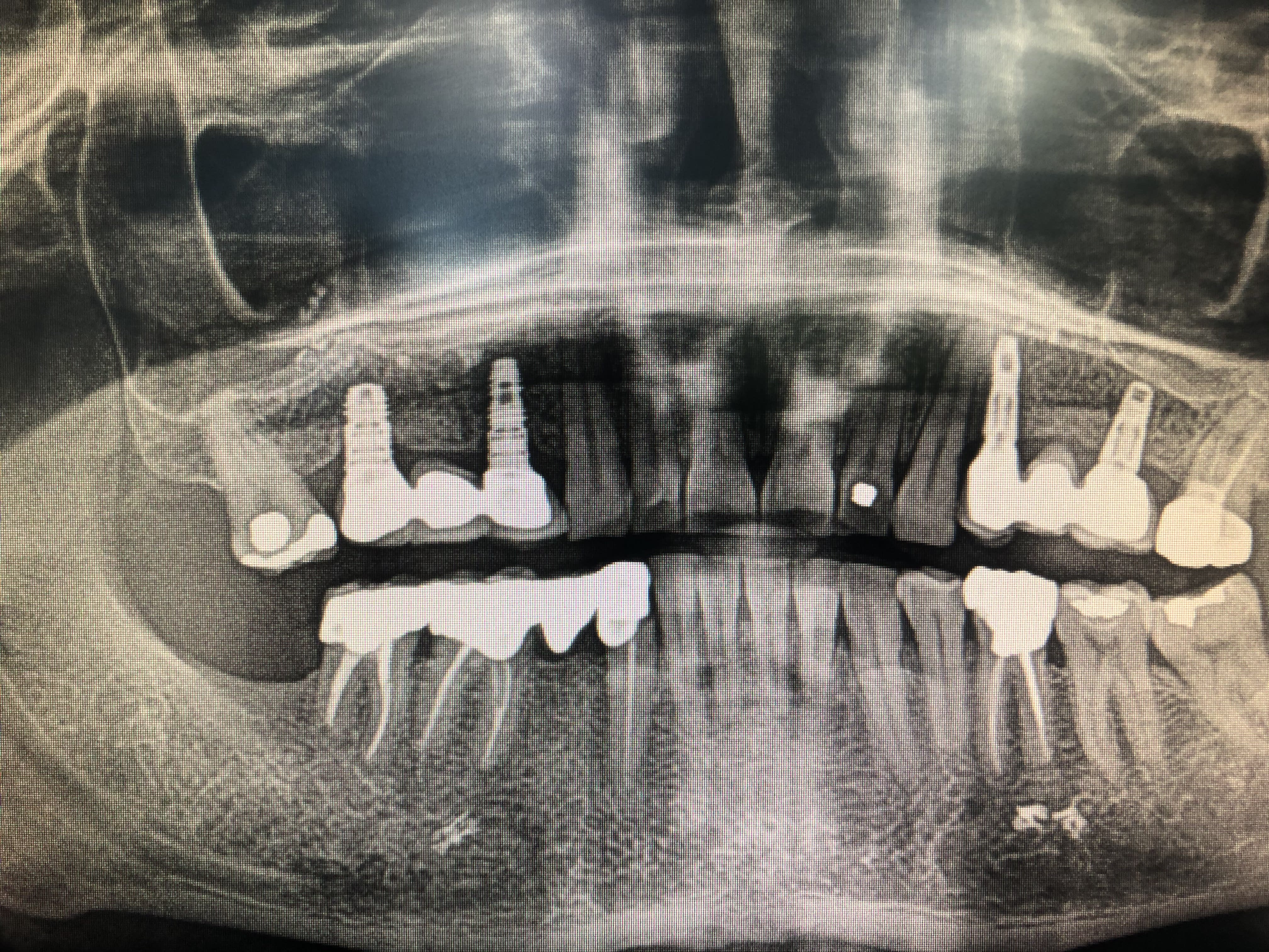
Bjr, j'ai besoin d'un coup de pouce pour m'identifier les implants du bridge en secteur 1.
Le prat est décédé.
Merci pour votre aide

Nwjcuuio9rxibedzjmvz - Eugenol
Zvtfmz7az11meobatq5o - Eugenol

Photo pluton1b h9n4ea - Eugenol
pluton

06/07/2020 à 08h52

factoche, Frialit

https://www.spotimplant.com/fr/implants-dentaire/friadent/frialit-2


WMX

06/07/2020 à 09h11

Merci pluton, 8 minutes pas mal !! tjs aussi réactif ! merci.