Cookie Consent byPrivacyPolicies.comBesoin de vos réflexions - Eugenol

Besoin de vos réflexions

paulman2

15/07/2020 à 11h44

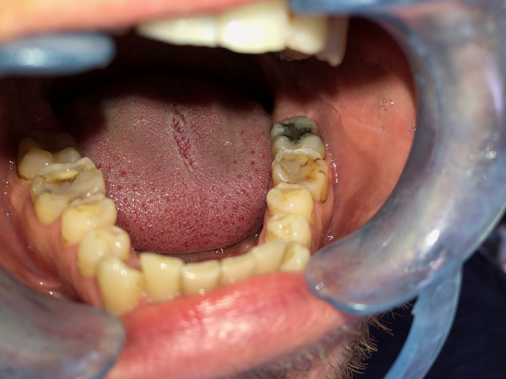
Voici un cas clinique où je sèche.
Patient de 33 ans RAS médical, pas trouvé d'habitudes iatrogènes.
Il ne demande rien, mais par curiosité je voudrais comprendre et trouver une solution.

Bonne journée

Paulman

Abj1oalmsbntsbjx64jb - Eugenol
U1reflj5tth7h7ru5nnm - Eugenol
Vqw2k1ejvwokamogvkc3 - Eugenol
Exelci9vqzl7xhz2ec5u - Eugenol
Asusiqufwunaobmxpwqr - Eugenol
Xz0zfkkfpurqpflkec0n - Eugenol
Wphd2pmg1xjqpsi7smo2 - Eugenol
Za34wdhdvclnh8awb0kw - Eugenol
Kibehdztmceocpa8634g - Eugenol
Yu0tkfz0fbnxnqf97nk9 - Eugenol
Frd23tz17vicrjhwr3dx - Eugenol
Gwdzapp2v1zzizdrcxqt - Eugenol

azerty

15/07/2020 à 12h02

et donc?


Screenshot 20190204 160354 2 ookelm - Eugenol
Arsénieux

15/07/2020 à 12h08

Ben le patient ne demande rien....


paulman2

15/07/2020 à 12h20

Et donc d'où viennent ces usures sur les postérieurs ?

Dans dix ans il n'y aura plus rien.


Aiguille cyboyt - Eugenol
fatboy

15/07/2020 à 12h49

Je dirai bruxisme et rejet acide gastrique ou gros buveur de coca ou de jus de citron.


paulman2

15/07/2020 à 12h58

Suite aux questionnaires, rien niveau acide gastriques et autres boissons acides


Nouveau image bitmap fz77zh - Eugenol
Sethef

15/07/2020 à 13h05

Tu regardes les collets et tu sais que le coca n'est pas étranger à l'histoire.
L'histoire date peut-être de 10 ans.

J'ai aussi déjà vu ce type d'usures, plus marquées, sur un alcoolisme jeune, +- vomissements. Probablement avec des mélanges soda du coup.


Quand ce n'est qu'en postérieur, voir rgo.

Un bruxisme ne crée pas de lésions concaves, les facettes d'usures sont plus plates pour des raisons méca.


Rape p0as4f - Eugenol
rapelapente

15/07/2020 à 13h18

Dysplasies qui se sont usées.
Seules les 6 sont concernées.
Je ferais des composites sans préparation.



--
Schooner For Ever


paulman2

15/07/2020 à 13h22

Pas pensé aux dysplasies de l'email, pourquoi pas
Merci


mla

15/07/2020 à 13h49

33 ans, la face P des Incisives et canines sup est érodée. Quand j'ai eu des cas d'usure prématurée , il y avait un passé de régurgitation/ remontées acides , avec un mal des transports dès l'enfance.... et les dents avaient ces abrasions: la légère déminéralisation + cycle masticatoire aboutissait à ce type d'usure.
Autre possibilité : une addiction aux agrumes(citron surtout) et/ou vinaigre++ avec le même
résultat. En tous cas , vu sa situation il a avantage à limiter ce genre d’aliments/condiment d'ores et déjà.


lachmar

15/07/2020 à 14h19

le meiux est l'ennemi du bien


Vw campersurfvan bmnk1q - Eugenol
enlaye

15/07/2020 à 14h28

Sethef écrivait:
------
" Un bruxisme ne crée pas de lésions concaves, "

si si .


paulman2

15/07/2020 à 14h39

Et toi Enlaye tu as un avis.


Vw campersurfvan bmnk1q - Eugenol
enlaye

15/07/2020 à 14h44

ç est une prématurité sur les 7 qui crée un décalage latéral ,( un décentrage )
à remarquer le décalage du point inter incisif , alors que les incisives ne sont pas en éventail .
donc je dirais que le pb vient du coté opposé au déplacement , donc de droite .
le fait d etre deporté à gauche , il s est retrouvé en surcontact sur les pans vest post du coté gauche et a serré comme un gaga pour essayer de retrouver + de contact sur ses cuspides d appuis palatine .
pour ça que le canine coté gauche est sortie .
ç est tres facile à verifier , tu lui demandes où il sent les contact les forts , lui , il va te dire à gauche ,.....alors que les sur contacts sont à droite .


paulman2

15/07/2020 à 14h48

ok je vois çà après les vacances
merci


Vw campersurfvan bmnk1q - Eugenol
enlaye

15/07/2020 à 14h48

tu remarqueras aussi que les 34+35 ont des faces d usure en vest ,alors que 44+45 , non .
cet appuis sur 34+35 a augmenté l effet de torque avec une poussée vers l avant .
pour ça que la 33 est sortie .
pour ça , aussi ,qu il y a + de mylolyses coté gauche


paulman2

15/07/2020 à 14h55

donc le réglage des cuspides sur 16 et/ou 17 devrait supprimer ce phénomène d'usure.
Et pour 34 et 35 tu préconise qq chose ?


Vw campersurfvan bmnk1q - Eugenol
enlaye

15/07/2020 à 15h23

non ,34+35 tu ne touches pas , ç est une conséquence .
a la limite tu toucheras en antago pcq elles se sont cintrées , mais pas de suite .
d abord les trais bleus , tu equilibres , ensuite tu remplis au compo , là où il y a des manques , et tu verras apres . le point inter incisif devrait revenir en 15 jours .

Inkedza34wdhdvclnh8awb0kw li j5saat - Eugenol

paulman2

15/07/2020 à 15h44

Grand merci, je le revois fin aout et vous tiens au courant

Paulman