Cookie Consent byPrivacyPolicies.comExtraction et Implantation ? - Eugenol

Extraction et Implantation ?

CHEN

20/07/2020 à 13h20

Bonjour à tous
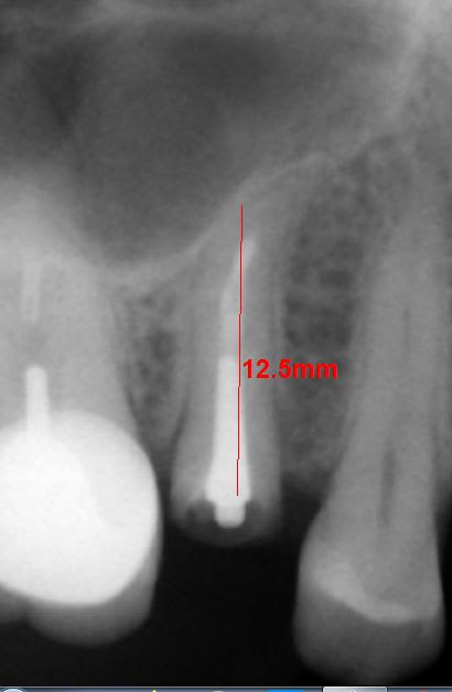
Que feriez vous dans cette situation,avec cette racine contre le plancher sinusien ? Est ce que une Extraction implantation immédiate est envisageable sans faire de sinus lift ? La patiente n'en veut pas.
Comment obtenir une stabilité ...en se mettant contre la paroi palatine ? Ou extraire et attendre 6 à 8 semaines
Qu'en pensez vous ? ..

Q4sna9jlxqdhb9rllokf - Eugenol

zamzamleroi

20/07/2020 à 13h21

Extraction summers avec p'tite rog si fin en vestibulaire ... cas très favorable


Photo pluton1b h9n4ea - Eugenol
pluton

20/07/2020 à 13h28

zamzam, on te dit SANS sinus lift....
donc, la patiente, tu lui mets en balance sinus lift/possible EII, sinon implantation différée...


CHEN

20/07/2020 à 13h48

Il faudrait rentrer dans le sinus de quelle profondeur ? je n'ai pas une grosse expérience..
Est ce que vous utilisez le maillet systématique ?


Utilisateur banni

20/07/2020 à 14h29

12.5 c'est au cbct?
perso je regarde la forme de l'avéole vers le 1/3 apical et je trouve un 10 ou un 12 qui bloque.

le ctbt m'a mis dedans je ne sais combien de fois, tu sors ton petit marteau et tu te rend compte après forage/sondage/bitougnage/re-sondage/re-forage/etc que tu es encore bien dans l'os.
il semble exister une marge de sécurité en vertical dans la reconstruction des volumes.
Je commence à penser comme posit, ne faire confiance qu'au scan pour vraiment planifier.


DrSailing

20/07/2020 à 14h38

Bonjour,

une extraction et pose simultanée avec forets densah est option possible aussi.
Cela permettrait d'augmenter la densité apicale et éviter un sinus lift proprement dit.


CHEN

20/07/2020 à 14h45

Non c'est la mesure prise sur la rétro. ..Mais tu vois que l'apex est courbé ..oui au scan ce doit être normalement plus précis ...mais en venant bien contre la paroi du plancher c'est pas toujours sûr d'avoir une tenue ...des fois ça bouge 2 semaines après et obligé de déposer
...le mieux c'est d'avoir 3 mm d'os au delà de l'apex pour se fixer..


CHEN

20/07/2020 à 14h49

DrSailing écrivait:
---------
> Bonjour,
>
> une extraction et pose simultanée avec forets densah est option possible aussi.
> Cela permettrait d'augmenter la densité apicale et éviter un sinus lift
> proprement dit.
Oui on en entend parler de plus en plus ,je vais m'inscrire à une formation pour découvrir le système..
C'est vraiment aussi efficace ? Tu l'as déjà utilisé ?


Utilisateur banni

20/07/2020 à 15h36

perso je fais avec la superposition du diamètre du corps de l'implant( (hors spires donc) et des coupes transverses de la racine.
on parle pas de MCI là, pas besoin d'une stabilité de dingue. il faut juste s'assurer que le diamètre d'implant qui se stabilisera est compatible avec l'espace nécessaire entre le col de l'implant et les adjacentes.
parfois ça passe.
parfois tu regrette qu'il n'y ait pas des auto-taraudants avec les spires apicale plus large que le diamètre du col :)


lilimarlene

20/07/2020 à 15h51

Extraction implantation sans biomat ni rien.. sauf si crete vest tres fine effectivement l'interstice est à combler entre la crete et l'implant.. un 3,75x10 et ca roule..