Cookie Consent byPrivacyPolicies.comperi-implantite ou pas peri-implantite ? - Eugenol

peri-implantite ou pas peri-implantite ?

Drassancouët

06/08/2020 à 14h58

Bonjour,
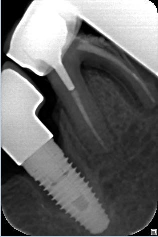
j'ai reçu cette patiente de mon ancien associé, avec implants Nobels posés en bouche il y a 4-5 ans.
Sondage profond à 6-7mm, pas de douleur, pas de purulation marquée
A la radio on voit un liseré très fin autour de la partie supérieure de la racine de l'implant.
Au niveau occlusal la courbe de spee n'est pas du tout harmonieuse, voir inversée à ce niveau la. Ca pourrait amplifier une lésion infectieuse.
J'ai mis sous antibiotique, je vais aller explorer pour tenter un nettoyage mais j'avoir ne pas comprendre l'étiologie de l lésion.
A savoir qu'un implant de l'autre coté à le même genre de lésion avec une occlusion globale plus correcte.
La dent infectée a été retirée rapidement.

Merci de vos lumières !

Wa5ar3lx1mytcqhrgyck - Eugenol

Ylfwcw979cz1jnx9gfqeaxndiuzk - Eugenol
Algi

06/08/2020 à 17h01

Outre la dent voisine qui me semble bien foutue il me semble bien qu'il y a une poche tout autour de l'implant....

Vu la terminologie actuelle, une poche autour (péri en latin) d'un implant (donc implant avec "ite" à la fin pour signifier "souci avec "), ben voui c'est bien d'une" peri-implantite" qu'il s'agit.


--

https://open.spotify.com/user/8iz7teu84dfphmgspeh2979o8/playlist/59Tfpt7zoHfkI27430lfNg?si=MAiYEkb2S6mMV6qNX2aFwg


On a toujours le choix mais entre quoi et quoi?
Vas-y boulégue et l'avenir te le dira!


Ylfwcw979cz1jnx9gfqeaxndiuzk - Eugenol
Algi

06/08/2020 à 17h02


Quand à l'étiologie....

L'etat paro général est comment ?

--

https://open.spotify.com/user/8iz7teu84dfphmgspeh2979o8/playlist/59Tfpt7zoHfkI27430lfNg?si=MAiYEkb2S6mMV6qNX2aFwg


On a toujours le choix mais entre quoi et quoi?
Vas-y boulégue et l'avenir te le dira!


Utilisateur banni

06/08/2020 à 17h36

Voir l’occlusion.........


Olieve

07/08/2020 à 09h38

Le profil d'émergence de la couronne est .... disons... très particulier !


rice and carie

07/08/2020 à 09h48

Olieve écrivait:
------
> Le profil d'émergence de la couronne est .... disons... très particulier !
---------------
avec platform switching inversé.


Drassancouët

07/08/2020 à 12h06

Algi écrivait:
----
> Outre la dent voisine qui me semble bien foutue il me semble bien qu'il y a une
> poche tout autour de l'implant....
>
> Vu la terminologie actuelle, une poche autour (péri en latin) d'un implant (donc
> implant avec "ite" à la fin pour signifier "souci avec "), ben voui c'est bien
> d'une" peri-implantite" qu'il s'agit.

la péri implantite suggère une inflammation des tissu peri implantaire.
L'inflammation suggère donc une état pathologique des tissus durs et mous avec processus infectieux, et image radiologique caractéristique (cratère), ce que je ne retrouve pas ici.
L’état parodontal global est convenable.
Oui la couronne a effectivement un profil particulier.

Pour info j'ai enlevé la dent d'a coté, et niveau sondage après élévation d'un lambeau c'est podzob
Un peu de tissu inflammatoire autour de l'implant, mais pas de poche, pas de perte osseuse majeure... j'ai été étonné


Azerty06

09/08/2020 à 21h45

Bonsoir, peut être une surcharge occlusale
Trop de force et perte progressive de l ostéointégration ( loi de Wolf de mémoire)


2 n2dlt7 - Eugenol
2+2®

10/08/2020 à 11h56

sérieux tu vois pas le cratère autour de l'implant?


Drassancouët

11/08/2020 à 17h12

serieux tu le vois ou ?


Yanic

11/08/2020 à 20h16

Il me semble que cette image avec un liseré noir qui descend le long des spires est révélateur d’une surcharge occlusale. Un peu comme un doigt de gant


--
Yanic


2 n2dlt7 - Eugenol
2+2®

12/08/2020 à 11h14

une autre retro piur confirmer?

Catere jpd6c5 - Eugenol