Cookie Consent byPrivacyPolicies.comExtraction 38 - Eugenol

Extraction 38

Tweed

08/08/2020 à 01h23

Bonsoir
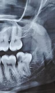
Je devrais faire l'extraction d'une 38 enclavée. En faisant l'analyse de la radio pré opératoire, j'ai des doutes sur la meilleure technique pour l'extraction.. Devrais commencer par enlever tout l'angle distal et essayer de la faire sortir par la suite en entier ou devrais je passer directement à une séparation de racines ? Dans les deux cas j'aurais à diminuer le niveau d'os en vestibulaire..
J'ai besoin de vos avis

Dbhiresxsr88tw6mxcfd - Eugenol

Mico

08/08/2020 à 09h59

La base:il faut toujours essayer de mobiliser la dent avec un élévateur avant de séparer tes racines.
Fait ensuite ta résection osseuse en distal et vestibulaire.
Reprend ton élévateur pour travailler au niveau du ligament.
Prend ton davier et fait des mouvement circulaire et non en vestibulaire et lingual sinon tu vas casser ta racine mésiale qui est courbée.
Ensuite si tu n'y arrives pas,tu sépares tes 2 racines et tu les enlèves à l'élévateur.


zamzamleroi

08/08/2020 à 22h59

Salut,
Mobilise a l élévateur on est jamais à l abris d un coup de chance
Lambeau classique
Alveo vestibulaire jusqu'à la furcation et distale
et zou mobilisation.
Si ça sort pas séparation fraise fissure
Enjoy


Tweed

08/08/2020 à 23h04

Merci 


Tweed

08/08/2020 à 23h05

Merci


jackone

28/09/2020 à 11h33


ou au Piezotome si tu en as.

--
Dr. Jacques Lerner
Chirurgien - Dentiste


dédé06

28/09/2020 à 15h04

évidemment examen 3 D pour l'apex ( nerf dentaire...) qui donnera en plus des info pour la suite...