Cookie Consent byPrivacyPolicies.comAgénésies multiples - Eugenol

Agénésies multiples

azorliquid

18/08/2020 à 19h46

Bonjour à vous,

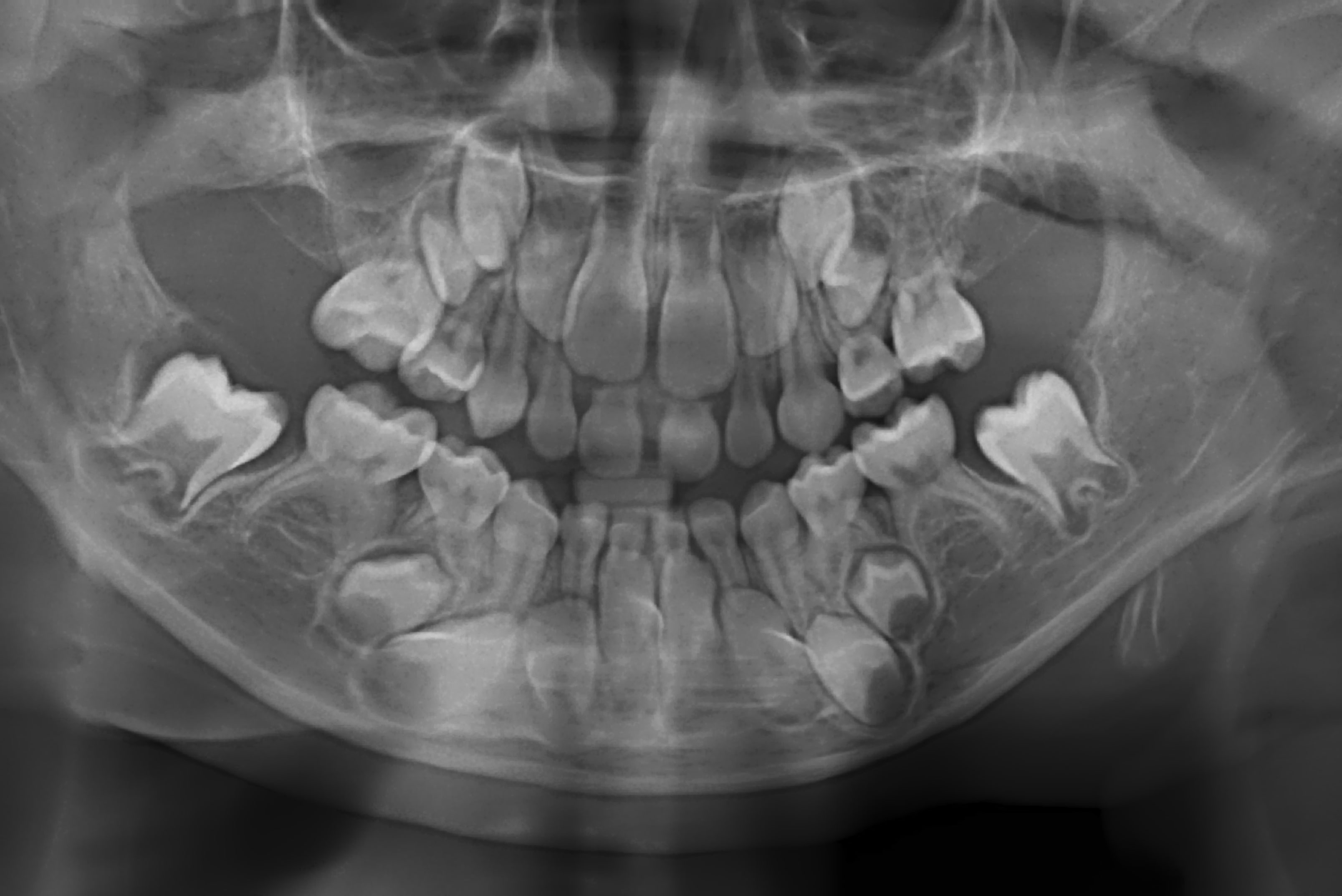
Voici le cas d'un petit patient de 6 ans venu au cabinet ce jour pour son premier rdv chez le dentiste, le patient n'a pas de problème de santé ni de syndrome particulier.. Pas de souci dentaire dans la famille (un peu de paro mais rien de catastrophique).

Sauf qu'à la pano, je vois qu'il manque plusieurs dents définitives (les 5, les 6 au mx ainsi que les 7).
Sachant qu'il n'existe pas d'autre cas d'agénésie dans la famille (fraterie et maman), je présume quand même d'une origine génétique.
C'est la première fois qu'un tel cas clinique m'arrive, aussi j'ignore comment l'orienter (pas de fac dentaire dans ma région ni de consult spé aux alentours).

Qu'en pensez vous ? Quelle est la conduite à suivre quant à la prise en charge ?

D'avance merci pour vos lumières

Bqw2qyr8hs5hrfi4kskl - Eugenol

MF12

18/08/2020 à 20h57

Syndrome de Christ-Siemens-Touraine ?


boxdistal

18/08/2020 à 21h37

on dirait qu'on distingue des lacunes au niveau des 5 et des 6 mx. on dirait plutôt un retard que des agénésies.


--
"araignée du gratin, machin"


Nouveau image bitmap fz77zh - Eugenol
Sethef

18/08/2020 à 21h38

Abstention.
Prier pour l'apparition de germes de 8 dans quelques années, pourquoi pas des 7 un peu en retard (l'éruption des autres ne semble pas pressée.)
Fonctionnement en arcades raccourcies à prévoir.

Indication de la pano?


Nouveau image bitmap fz77zh - Eugenol
Sethef

18/08/2020 à 21h39

boxdistal écrivait:
---------
> on dirait qu'on distingue des lacunes au niveau des 5 et des 6 mx. on dirait
> plutôt un retard que des agénésies.
>
>
>
Pour les 5 je ne vois rien, pour les 6 justement je parie plus sur des 7 étant donné le stade évolutif. Mais je les vois également.
> "araignée du gratin, machin"


azorliquid

19/08/2020 à 17h54

Merci pour vos réponses.

Je voyais un genre de lacune/liseré sous les racines des 5 mais un sacré doute m’a prise. Dans l’idéal, il faudrait revoir le patient d’ici 1 an et voir si les germes se sont développés. Et si à ce moment y’a toujours rien, ça vaudrait pas le coup de l’envoyer en consultation spé ?

Sethef l’indication de la pano visait justement à apprécier la présence des germes des définitives, car si à la mandibule la gencive en arrière des 5 lacteales avait un aspect bien tuméfié comme lorsque une dent va sortir, ça n’était pas le cas haut où l’arcade s’arrête nette juste en arrière des 5


lfdupérou

20/08/2020 à 13h13

Pour l’instant tu ne fais rien de spécial. Il faudra l’orienter vers ton odf le moment venu et décider avec lui du nombre d’implants à prévoir en fin de croissance.
Pas la peine de lui faire faire des km, certes son cas n’est pas banal mais des édentés postérieurs, je pense que tu vois ça tous les jours...