Cookie Consent byPrivacyPolicies.comidentification d'implant... PLUTON ??? - Eugenol

identification d'implant... PLUTON ???

moi22

31/08/2020 à 16h46

Bonjour à tous, qui peut me dire de quelle marque sont les différents implants de cette radio ?
Merci par avance !!

Vud5r9xwpjhf2xudcogt - Eugenol

Photo pluton1b h9n4ea - Eugenol
pluton

31/08/2020 à 18h11

pas de rétros pas d'identification possible


moi22

31/08/2020 à 18h34

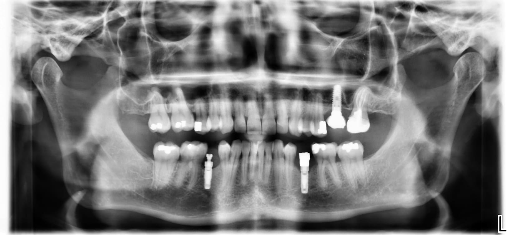
j'ai que ça... peut être un peu flou et pas sur que ça aide...

3994 x 20200727 105608 xndo7auzx6a4 3 qwmuby - Eugenol
3994 x 20200727 105708 x6z41yhhha3d 4 kjafup - Eugenol

mla2

31/08/2020 à 18h44

"un peu flou".... mignon l' euphémisme


Photo pluton1b h9n4ea - Eugenol
pluton

31/08/2020 à 18h46

il me faudra mieux....


moi22

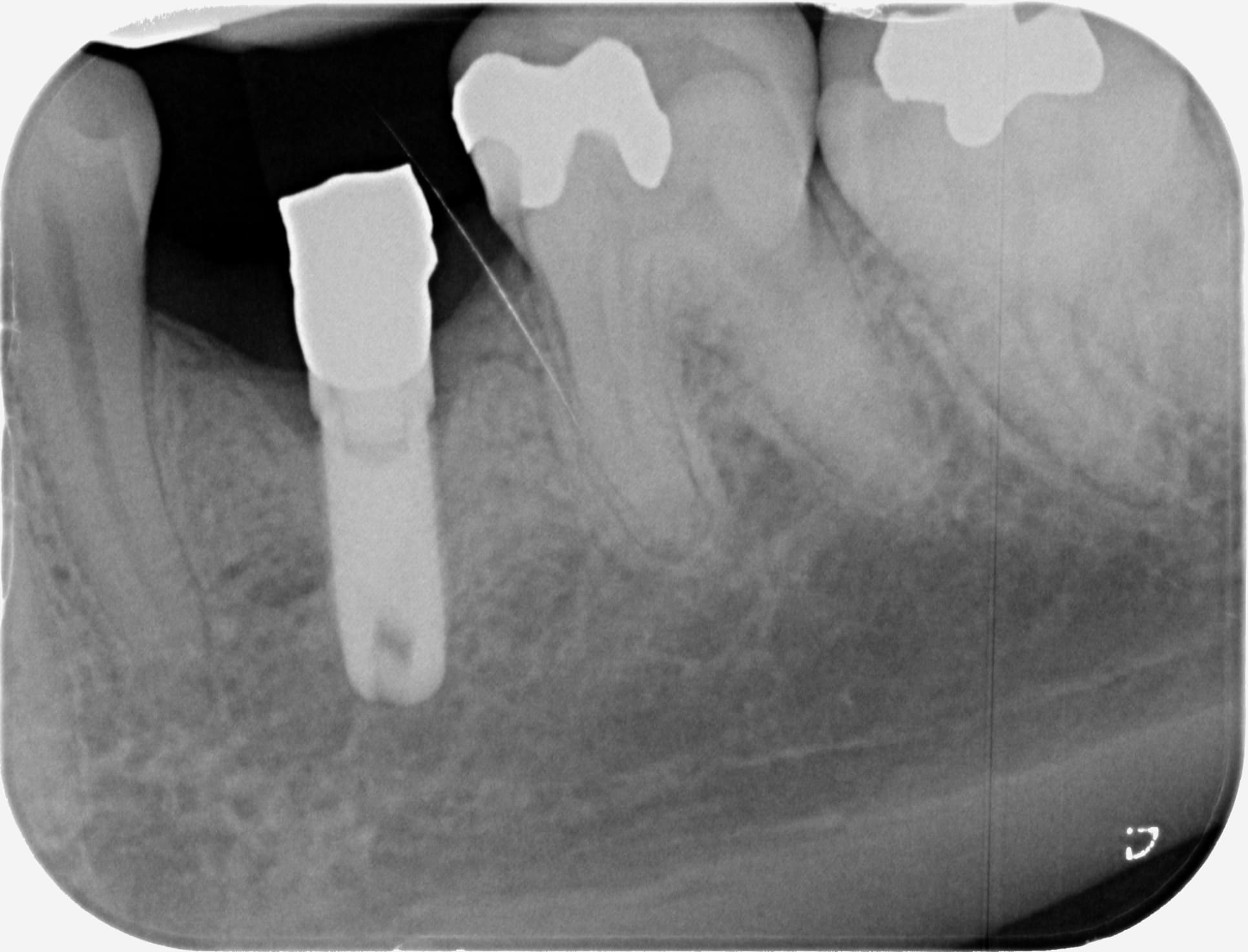
03/09/2020 à 19h28

oui désolé... c'est mieux? plutôt Nobel la 35 non ?

3994 x 20200903 191835 xuins8yzssop 4 qjfqvu - Eugenol
3994 x 20200903 191936 xag6uubtdo5  3 se8cwv - Eugenol
3994 x 20200903 192046 xdi83elaghtn 3 tzagsa - Eugenol

Photo pluton1b h9n4ea - Eugenol
pluton

03/09/2020 à 22h28

première radio: Sterioss
http://osseosource.com/dental-implants/product_info.php?products_id=1113

les 2 autres photos (du même implant)....çà ressemble à du MIS Lance ou similaire....pour moi la connexion doit être un standard "Zimmer"....


moi22

03/09/2020 à 22h38

Merci Pluton !
Sterioss?... c'est du vieil implant ça non ?


Photo pluton1b h9n4ea - Eugenol
pluton

03/09/2020 à 22h48

ouaip....bon courage pour retrouver des pièces....