Cookie Consent byPrivacyPolicies.comscellement onlay or - Eugenol

scellement onlay or

Utilisateur banni

17/09/2020 à 13h00

Donc en gros on cotait une couronne définitive sur Inlay core alors que c’était du vulgaire plastoc ? C’est du propre ! Bravo les vieilles branches ! Qu’est-ce que me dirait un dentiste conseil si je faisais ça aujourd’hui en mettant du plastoc sur un inlay core ?!


6szjws718sv1jksw54v4mpj3a6cu - Eugenol
vulpi

17/09/2020 à 13h18

nan mais j'étais pas né, ça me concerne pas:-)
Ce que je vois, ça a tenu 52 ans, c'est un succès;


Vw campersurfvan bmnk1q - Eugenol
enlaye

17/09/2020 à 14h41

oui c etait la civ resine .( coiffe à incrustation vestibulaire) . et la résine était de la résine auto .
la rétention se faisait par de petites billes en relief sur l armature .
-forcement tu ne pouvais pas cuire de la ceram pour 2 raisons :
- d abord la temperature de cuisson des ceram etait superieure a celle de la fusion de l or
- la ceram ne colle que sur l oxyde qui est sur le métal . or l or ne s oxyde pas , d ou l arrivée des alliages d or où plus il etait cher , moins il y avait d or :-))
pour ça que les bridge ceram or couronne/ onlay ç est une escroc pipée .l onlay était forcement pas étanche


mla2

17/09/2020 à 14h46

Dans les années 70, le travail sur metaux non precieux s'est developpé (dans ma fac il y avait Yves SIMON PAOLI qui a fait beaucoup pour la liaison metal non precieux/ ceramique)
pour les labos (y compris les petits labo ) s'équiper et developper cette technique n'était pas si simple, et pour des questions de coût ( les complémentaires n'étaient pas generalisées) il était plus facile de réaliser des résines cuites sur métal, sur métal precieux cela vieillit pas usure comme sur ta photo, j' ai moi aussi vu des travaux qui ne collent pas aux critères actuels mais ont traversé le temps.
Sur métal non précieux, (et Ivoclar[si je ne me trompe])a promu jusqu'aux années 80 une resine "aussi durable " que de la ceramique)., c'était beaucoup moins resistant au fil du temps mais plus facile à réaliser.
parallèlement la liaison ceram métal a gagné en fiabilité .... et progressivement il n'a plus été question des resines pour les coiffes esthétiques.(+ une exigence plus marquée des patients)
Je ne sais même pas de quand date la première convention, mais il n'y a pas toujours eu un remboursement ... et le passage "ecole dentaire" à fac avec la "scientifisation" de nos connaissances, je crois que c'est après 1968....


6szjws718sv1jksw54v4mpj3a6cu - Eugenol
vulpi

17/09/2020 à 16h08

Parisienne de Montrouge, nous manque juste le centre de soin:-)


mla2

17/09/2020 à 16h36

une part de mystère ne saurait nuire....


6szjws718sv1jksw54v4mpj3a6cu - Eugenol
vulpi

17/09/2020 à 16h50

Tu parles bien la PAC Paris V, je t'avais logé:-))


mla2

17/09/2020 à 16h59

Pour les bébes nonoliens dedicace.....


Nostalgie vuym4n - Eugenol

Utilisateur banni

17/09/2020 à 17h15

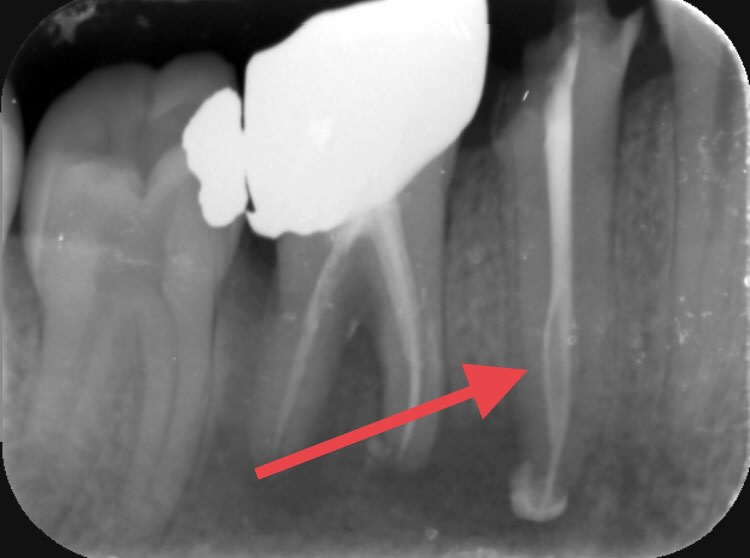
Pxav toi qui aimes bien faire des dépassements de ciment . Regarde moi ce 2eme canal obturé. Est-ce que ça ne te troue pas les fesses ? Est-ce que t’arrives à obturer un 2eme canal comme ça toi?:)

D31c600c 8c32 43f9 8b91 5a612898fc4f q6uozc - Eugenol

S2y2o1v7q53ws4r5wy6ou8czrpom - Eugenol
pxav

17/09/2020 à 18h15

les Richmonds or/ ceram ou plutôt or/porcelaine existaient mais c’était des facettes sur glissière qui étaient glissé/collé sur l'or
sinon, pas possible de cuire de la ceram sur l'or à 22


--
xbk
La connaissance s'acquiert par l'expérience, tout le reste n'est que de l'information." ALBERT EINSTEIN


S2y2o1v7q53ws4r5wy6ou8czrpom - Eugenol
pxav

17/09/2020 à 18h18

poignée de porte écrivait:
----------------
> Donc en gros on cotait une couronne définitive sur Inlay core alors que c’était
> du vulgaire plastoc ? C’est du propre ! Bravo les vieilles branches ! Qu’est-ce
> que me dirait un dentiste conseil si je faisais ça aujourd’hui en mettant du
> plastoc sur un inlay core ?!

à l'époque on ne cotait pas un Inlay core, seule les couronnes à bague etait remboursée après accord de la SS...
--
xbk
La connaissance s'acquiert par l'expérience, tout le reste n'est que de l'information." ALBERT EINSTEIN


Aiguille cyboyt - Eugenol
fatboy

18/09/2020 à 05h43

Les topics "archeologie" permettent au vieux de ramener leur science!
Moi, j'etais feignant, alors plutot que d'utiliser le brunissoir, je mettais une fraise silicone sur un contre angle en diminuant la vitesse. Brunissage fait en deux-deux. Fallait pas se tromper de sens de rotation sinon c'etait foutu, en revanche.
J'ai pas mal de patients allemands. Il devait avoir un prix pour l'or, là-bas. N'importe quel mec de plus de 50 ans en a une douzaine dans la bouche.


Vw campersurfvan bmnk1q - Eugenol
enlaye

18/09/2020 à 07h25

My Fatboy is feignant and rich .
T ain quand t avais une fraise silicone , c est que t etais dans un cab de Mia .
Les inlay c etait l epoque des remplacements , on etait équipé comme des chiens pour les cas pourris . Quand t en faisais un t avais fait ton année . T etais plus puceau , t etais respectable pour ton Cv .
De souvenir pour brunir , c etait la fraise d Arcansas blanche qu on passait sur de la cire . Et tu n en avais qu une et pas 2 , hein . Que tu trimbalais de cab en cab .


Utilisateur banni

18/09/2020 à 07h41

Qu’est-ce que c’était mieux avant quand même ! Vous vous souvenez quand vous vous baladiez en pantalon patte d’éph dans la rue ? Que de souvenirs !:)

Et l’aurification vous en avez fait ça ? J’ai toujours compris que c’était comme un amalgame. Vous mettiez l’or et vous fouliez les feuilles d’or en appuyant comme des bêtes . Il y avait quoi de différent dans sa mise en place par rapport à un amalgame ? Et pourquoi on en fait plus d’ailleurs ?

Le progrès c’est beau quand même :
Aurification/onlays en or => puis amalgame => puis les merdes en plastoc avec des joints qui s’infiltrent. Le plastoc ça se brunit bien c’est bien connu . C’est pour ça qu’on voit tous les jours des infiltrations sur ce genre de restauration


Vw campersurfvan bmnk1q - Eugenol
enlaye

18/09/2020 à 08h06

Le progrès est énorme , regardes , en 2020 , on t oblige à faire des couronnes en fer :-))


PtnbZ

18/09/2020 à 08h08

Si tu regardes l’évolution de la dentisterie en 50 ans, tu verras le reflet de l’évolution de la france, tout simplement.
D’autres pays ont suivi des trajectoires différentes


makalu

18/09/2020 à 08h21

Ah les inlays et onlays en or .... Nostalgie nostalgie. J'en ai fait des tonnes à une époque lointaine et j'ai toujours un pincement au coeur quand je les revois toujours aussi fringants , surtout quand on les compare avec tous les produits merveilleux d'aujourd'hui ! J'en ai même une toute petite série réalisés par Marmasse. Si si c'est vrai. Ils ont au moins 50 ans voir plus.
Pour répondre à la question, quand c'est possible je rescelle au Fuji cem . Peu de cas mais ça semble très bien marcher


Vw campersurfvan bmnk1q - Eugenol
enlaye

18/09/2020 à 08h25

De nos jours on devrait écrire sur les devis :

Nous mettons tout en oeuvre pour que vous soyez remboursés. Nous vous prions de nous excuser pour la gêne occasionnée.


Vw campersurfvan bmnk1q - Eugenol
enlaye

18/09/2020 à 08h25

.


Avatar transparent iqadnc - Eugenol
adhoc

18/09/2020 à 09h06

>Et ça les vioques.... qu’est-ce que c’est ?
- 2 Richmonds en or recouvertes d’une matière très proche de la résine en place depuis 52 ans . Ça n’est pas de la céramique mais on dirait vraiment une sorte de résine. On réalisait des Richmonds or/résine il y a 50 ans ?!? Pourquoi pas de céramique ?
J’ai démonté l’espèce de résine et fait deux céramiques du coup<

C'etait l'Isosit d'Ivoclar, indestructible, mais qui devenait assez moche!


mla2

18/09/2020 à 09h13

ce fil tourne au club troisième âge......


Vw campersurfvan bmnk1q - Eugenol
enlaye

18/09/2020 à 09h19

tu pourras y trouver un fiancé :-)


makalu

18/09/2020 à 09h21

mla2 écrivait:
----
> ce fil tourne au club troisième âge......
Va donc salaud de jeune ...LOL Ton tour viendra


Aiguille cyboyt - Eugenol
fatboy

18/09/2020 à 09h40

L'aurification c'etait plus l'ancetre des sealants. Tu comblais les sillons avec une tres legere preparation.


mla2

18/09/2020 à 09h41

Enlaye : préjugé de taupe(vue courte) machiste quant à mon tropisme sexuel ???? je comprends mieux le coup de la cuisine.... fallait pas réveiller la teigne qui sommeille