Cookie Consent byPrivacyPolicies.comMini vis OBS - Eugenol

Mini vis OBS

Haddock622

19/09/2020 à 14h24

Bonjour à tous, je m'intéresse aux vis de chris chang marque obs et surtout leurs sites d'implantations infra zygomatique et le rempart alvéolaire mandibulaire.
Quels sont vos retours sur ces vis et sur ces sites d'implantations ?


atrax

21/09/2020 à 13h17

Intéressant. Tu veux faire quoi avec ? Quel type de vis tu utilises d’habitudes ?

Désolé pas de retour spécifique sur les vis de Chang.


Haddock622

21/09/2020 à 20h44

J'ai posé 3 mini implants de chez dentos,j'ai pas une expérience de fou dans le domaine. Ce qui m'intéresse dans le concept des vis obs c'est la distance avec les racines et le fait de pouvoir obtenir des distalisation d'arcade sans déposer et reposer la vis.
J'aimerai utiliser ces vis pour des corrections de ddm par distalisation et les canines incluses.


atrax

21/09/2020 à 20h50

C’est plus lié à ta mécanique. Je distalise au maxillaire en mettant des vis dans le palais. C’est la marque ortho easy.
Mais la marque de la vis n’est pas importante. Seule ta mécanique compte.


1 eugenol dmj5np - Eugenol
Dancha

03/10/2020 à 16h44

Haddock622 écrivait:
----------
> Bonjour à tous, je m'intéresse aux vis de chris chang marque obs et surtout
> leurs sites d'implantations infra zygomatique et le rempart alvéolaire
> mandibulaire.
> Quels sont vos retours sur ces vis et sur ces sites d'implantations ?

Ce qui m'intéresse (…) c'est la distance avec
> les racines et le fait de pouvoir obtenir des distalisation d'arcade sans
> déposer et reposer la vis.
> J'aimerai utiliser ces vis pour des corrections de ddm par distalisation et les
> canines incluses.

Bonjour Haddock2,
Ces sites d’implantations sont extrêmement sûrs et fiables. Je les pratique depuis plus de vingt ans.
Plutôt que de prendre comme Chang des vis longues, inconfortables et pas très facile à placer, je te conseille d'utiliser comme nous des microvis qu'on enfouit. Elles sont beaucoup plus simples d’emploi et donnent beaucoup plus de souplesse aux dispositifs.
Tu trouveras ci-dessous des articles parmi d'autres sur cette méthode qui s’appelle «système CT8».
Il s’est encore simplifié récemment par le remplacement du TMA et de l’acier par un seul type de fil, le « CTnox » (voir le premier article de 2019). Il peut être qualifié aujourd’hui d’universel.

Article général (2016) :
https://www.drs-chilles-chirurgiens-dentistes.fr/app/download/5811698256/Les+micro-vis+enfouies%2C+l%27ancrage+osseux+universel%2C+Orthod+Fr+2016%3B+87%3B443-455.pdf

Canines incluses (2019):
https://www.drs-chilles-chirurgiens-dentistes.fr/app/download/5814999883/Le+traitement+des+dents+incluses+par+microvis+enfouies.pdf
https://www.drs-chilles-chirurgiens-dentistes.fr/app/download/5814999888/Traction+de+canines+incluses+par+microvis+enfouies+CT8-1.pdf

Si ça t’intéresse, il y a de temps en temps des cours ouverts à tous. Tu peux t’inscrire par exemple sur le site d’innOralis (innoralis.fr) qui organise des formations avec TP « à la demande ». Il y a également la journée organisée par la SFODF qui devait avoir lieu en juin 2020 mais qui a été repoussée en 2021 pour raisons sanitaires (sans TP).

Tu peux aussi me joindre en MP.

Daniel


Haddock622

06/10/2020 à 20h31

Merci beaucoup pour ces précisions.


Icon poker h4nm2d - Eugenol
jeff

07/10/2020 à 17h40

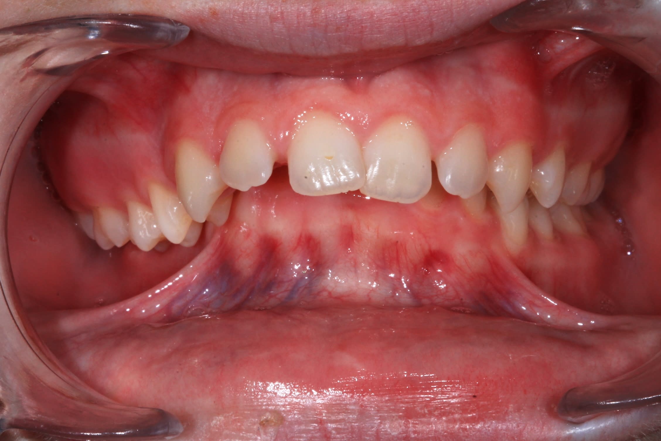
J'ai utilisé parfois les vis façon Chang , notamment pour ce cas de "severe cisor cross bite ", qui ressemble beaucoup a un cas de Chang, que tu as du déjà voir sur sa chaine youtube.
Les vis en IZC ne sont pas toujours fiable. si le sinus est volumineux, et la vis un peu trop sur la crête zygomatique, elle se trouve alors dans un millimètre d'os, ce qui est peu.
J'ai utilisé aussi des plaques bolard et deltex, mais pas évident a mettre.
Les vis de daniel sont plus fiable si elle doivent rester en place plusieurs mois.
Sinon, pour la technique Chang, j’utilise des vis Deltex.
https://www.deltex.fr/dx-omia/

Img 2871 2 urztny - Eugenol
Nov 2018 171 2 kysopg - Eugenol

Haddock622

11/10/2020 à 11h04

Jolie, bravo.
Merci pour les précisions. Ce qui m'effraie avec les vis enfoui c'est le côté chirurgie qui n'est pas mon grand fort, surtout si il faut le faire une fois a la pose et une fois a la dépose.


atrax

11/10/2020 à 12h04

Jeff très jolie cas! Tu as un canting au maxillaire. Extrusion du quadrant 1. Comment tu as fini ce cas ? j’ai un cas dans le même style que je suis entrain de traiter.


1 eugenol dmj5np - Eugenol
Dancha

15/10/2020 à 16h10

Haddock622 écrivait:
----------
> … Ce qui m'effraie avec les vis enfouies c'est le côté
> chirurgie qui n'est pas mon grand fort, surtout s’il faut le faire une fois à
> la pose et une fois à la dépose.

L’acte chirurgical ne doit pas effrayer, il est simple à réaliser, sans risque et à la portée de tout orthodontiste (comme je le suis moi-même).
La chirurgie est simple car il n’y a besoin de réaliser de lambeau, une simple incision horizontale le long du fond de vestibule sur 10mm suffit.
Et comme il n’y a pas de lambeau, il n’y a pas besoin non plus de points de suture car la pression musculaire des joues ou des lèvres suffit pour obtenir une bonne coaptation des berges de la plaie qui cicatrise remarquablement bien sans suites opératoires.
Elle est également sans risque car il n’y a aucune structure anatomique à risque à ce niveau, rien que de la bonne corticale.
Et comme le fil de connectique est plaqué par la ou les vis contre l’os, il n’y pas de bras de levier risquant de faire basculer la vis, donc pas nécessité de plonger dans le spongieux et donc la vis peut être courte (5mm).
La méthodologie est détaillée dans les deux articles dont j’ai donné les liens plus haut. J’ai essayé de la faire la plus didactique possible, avec tous les éléments nécessaires.

Daniel


Haddock622

15/10/2020 à 16h38

Merci pour ces précisions Dancha ;). Je pense que je m'inscrirai aux formations des que l'on pourra.


1 eugenol dmj5np - Eugenol
Dancha

17/10/2020 à 14h47

atrax écrivait:
-----
> Jeff très jolie cas! Tu as un canting au maxillaire. Extrusion du quadrant 1.
> Comment tu as fini ce cas ? ...

Moi aussi j’aimerais bien voir la suite.
Tu nous montres ?

Je déplore en réalité que beaucoup de présentations cliniques d’ancrages osseux ne montrent que le début du traitement avec les vis en place, et ceux qui présentent le résultat à la fin le font le plus souvent avec des vis qui ont déjà été enlevées.
Il est relativement rare qu’on puisse voir les mouvements dentaires réel effectués avec les vis en place et qu’on sache exactement combien de temps elles sont restées. Et c’est pourtant ça le plus intéressant et formateur !

Cela dit, je ne doute absolument pas du résultat qui ne peut être que bon si la vis tient le coup dans le temps.

Daniel


atrax

17/10/2020 à 16h09

Je préfère avec ma maigre expérience les vis dans le premaxillaire pour le taux de réussite.
Pour les scissor bite , j’ai commencé deux cas le mois dernier (autant dire que je suis un expert....)L’étiologie dans ces cas là, guide la thérapeutique.


1 eugenol dmj5np - Eugenol
Dancha

20/10/2020 à 11h50

atrax écrivait:
-----
> ...
> Pour les scissor bite , j’ai commencé deux cas le mois dernier (autant dire que
> je suis un expert....)L’étiologie dans ces cas là, guide la thérapeutique.

En fait, c'est à Jeff que je demandais s'il pouvait nous montrer la suite de son traitement.
Ce serait sympa de sa part, il sait faire de belles photos.

Daniel