Cookie Consent byPrivacyPolicies.comCas Occluso - Conjointe - Eugenol

Cas Occluso - Conjointe

Olieve

21/09/2020 à 22h51

enlaye écrivait:
------
> toute fois , avant de fermer l ordi , ce que je peux dire , c est que son coté
> droit est ( était ) en sous occ .
> pourquoi je dis ça ?? :-))

Les usures sont surtout à gauche ?


Vw campersurfvan bmnk1q - Eugenol
enlaye

21/09/2020 à 23h30

possible , mais ce n est pas ce qui m a interpellé en 1er .
mais l esprit est bon :-) , tu brules .


Vw campersurfvan bmnk1q - Eugenol
enlaye

21/09/2020 à 23h43

ç est plutôt ça qui me fait dire qu il y a eu sous occ du coté droit

Inkedl5x482swgls3n065q3h3 li auvvoz - Eugenol

Vw campersurfvan bmnk1q - Eugenol
enlaye

22/09/2020 à 00h02

du coté droit , l os n a pas trop morflé , or ,
- avec une occlusion croisée prothétique , en principe ç est très dur à régler , et meme si ç est bien réglé , avec l usure , ça fini tjs mal .ce qui n est pas le cas ici .
- la 47 a pu monter , ce qui prouve qu il y avait de la place
- MAIS surtout , le plus important , ç est que la canine soit sortie .

quand tu as sous occ unilaterale , tu as une perte de calage .
et la seule façon de compenser est de serrer pour augmenter le nombre de contacts de ce meme coté .
tu as donc tendance à serrer en jouant sur ta résilience articulaire .
mais comme ce n est pas tres agreable de se retrouver en compression tu as tendance à trouver un calage dans une position + anterieure , à savoir sur les canines .
du coup la canine sort , et le nombre de contacts et mieux reparti entre devant et derriere .
certes l atm droite est toujours esquichée , mais il n y a plus l effet rocking chair avant arriere unilateral .

voilà pourquoi j ai dit que l occlusion croisée n etait pas ( j aurais du dire plus en fait) vraiment le pb du jour .


Vw campersurfvan bmnk1q - Eugenol
enlaye

22/09/2020 à 00h15

le pb actuel est , que lorsque tu as une compensation par positionnement antérieur :
- ç est sympa pour les articulations qui sont moins esquichées , à condition que ce soit des 2 cotés , ce qui n est pas le cas ici , au vu du décalage du point inter-incisif .
- mais c est moins sympa pour les muscles qui sont tendus en permanence et encore moins quand ce n est que d un coté .
donc c est quand meme bien sympa de revenir un peu en arriere de temps en temps , tout en étant détendu , histoire de se reposer .
genre la position d innoclusion que vous appelez la position de repos .
or ici , il ne peut pas à cause de ces putains de 7 qui bloquent de chaque coté .


Vw campersurfvan bmnk1q - Eugenol
enlaye

22/09/2020 à 00h22

ç est pour cela que je dis souvent que c est tjs la combinaison de 2 choses qui font déclencher un pb .
et le plus simple est dejà d 'en supprimer la dernière arrivée surtout si ç est la plus facile a traiter .
donc je suis bien d accord avec toi , enlever les 7 et éventuellement machiner un peu de l autre coté .
enfin , ç est surtout toi qui est maintenant d accord avec moi :-)


Olieve

22/09/2020 à 07h34

enlaye écrivait:
------
> enfin , ç est surtout toi qui est maintenant d accord avec moi :-)

D'accord... d'accord... ? Pas si vite, moi je pense que la 13, elle n'a jamais été à sa place.


Vw campersurfvan bmnk1q - Eugenol
enlaye

22/09/2020 à 07h36

eh bien sur suis d accord , puisqu' il était déjà en occlusion croisée depuis tout petit .:-)) et après elle est sortie de plus en plus .


Vw campersurfvan bmnk1q - Eugenol
enlaye

22/09/2020 à 07h48

je vais plus loin , c est grace à cette canine tordue qu il a pu garder ses dents jusqu a 72 ans , malgré ton occlusion croisée .
pcq elle est tordue mais surtout pcq elle est en avant par rapport à l arrondi de l arcade . et ça ça change tout .
faut pas oublier que la canine sort et se met en place APRES les molaires , ç est pas pour rien .
bon tout ça n engage que moi , hein .


Vw campersurfvan bmnk1q - Eugenol
enlaye

22/09/2020 à 08h08

Olieve écrivait:
------
" D'accord... d'accord... ? Pas si vite, "
:-))) je comprends .
ça fait tjs chier de réaliser qu on nous a pris pour des cons pdt des années , faut y aller doucement :-)


Olieve

22/09/2020 à 08h42

Puisque que maintenant on est d'accord :-) à mon tour de te soumettre un cas :

Capture d écran 2020 09 22 à 08.36 - Eugenol
Capture d écran 2020 09 22 à 08.37 - Eugenol
Capture d écran 2020 09 22 à 08.37 - Eugenol
Capture d écran 2020 09 22 à 08.37 - Eugenol
Capture d écran 2020 09 22 à 08.38 - Eugenol

Vw campersurfvan bmnk1q - Eugenol
enlaye

22/09/2020 à 08h45

et tu veux que je te dise quoi ?
que le pb vient de la 38 ?
ben je te le dis . :-)


Olieve

22/09/2020 à 08h52

Je vire la 38, je lui refais sa DV, pas de gouttière et je dors tranquille ?
C'est trop bon ça :-)


Vw campersurfvan bmnk1q - Eugenol
enlaye

22/09/2020 à 09h00

ouiii , tranquille :-)
meme sa dv est bonne , ç est du beurre .:-)


mla2

22/09/2020 à 09h04

"mais comme ce n est pas tres agreable de se retrouver en compression tu as tendance à trouver un calage dans une position + anterieure , à savoir sur les canines .
du coup la canine sort , et le nombre de contacts et mieux reparti entre devant et derriere ."

j'ai presque tout compris sauf : cette 13 qui oblige à une desocclusion extravagante en latéralité n'a pas d'usure majeure et n' a jamais eu sa place sur l'arcade (rotation14 + derive mésailante de l'usure des points de contact au fil du temps).
avec une telle vestibuloposition comment il aurait pu dans le passé (avant egression des 7) trouver un
calage sur les canines ???

autre question : dans les cas d'asymétrie de croissance anatomique (condyle ou max inf) , il y a-t-il là une population plus sujette aux troubles musculosquelettiques ?
Et dans ces cas particuliers, l'approche occlusale( comme thérapeutique) atteint-elle sa limite d'efficience?


mla2

22/09/2020 à 09h10

Pour le cas Olieve..... les 8...toutes des s... ouach la destruction.!!!!!...

Ouach xffkzw - Eugenol

Olieve

22/09/2020 à 09h40

enlaye écrivait:
------
> ouiii , tranquille :-)
> meme sa dv est bonne , ç est du beurre .:-)

Un peu que sa DV est bonne, je t'ai pas attendu pour la valider avec du compo !

Capture d écran 2020 09 22 à 09.39 - Eugenol

Vw campersurfvan bmnk1q - Eugenol
enlaye

22/09/2020 à 09h53

oui voilà , ç est impec comme ça . et tu n as pas augmenté la dv là .
tu l as reconstruit a sa position initiale .
eh oh , faut bien que tu bosses un peu quand même :-))


Vw campersurfvan bmnk1q - Eugenol
enlaye

22/09/2020 à 09h57

à cause de sa 8 il est parti en pro-glissement pour éviter sa gène post .
ce qui bien sur a déclenché une para- fonction .
sa position ant toute usée , n etait pas sa dv .
ç est ce que je voulais dire .
sa dv se détermine en le manipulant en centrée . très proche de son occlusion molaire .
et si tu as fait une erreur , je sais où tu l as faite .


Olieve

22/09/2020 à 10h33

enlaye écrivait:
------
> et si tu as fait une erreur , je sais où tu l as faite .

On verra, là je le laisse maltraiter ses compos 3 ou 4 mois avant d'attaquer la suite.


Vw campersurfvan bmnk1q - Eugenol
enlaye

22/09/2020 à 10h58

la 8 a laissé cette trace . ce qui n est pas confort pcq ça rétropulse la mandibule .
si tu ne corriges pas la 8 pour dégager totalement la propulsion , ç est sur qu il va te les maltraiter grave tes compos et pas qu un peu . ce qui serait dommage pcq tu t es battu quand même , tu l as bien restauré .

Inkedcapture d écran 2020 09 22 à 08.36 - Eugenol

Vw campersurfvan bmnk1q - Eugenol
enlaye

22/09/2020 à 11h49

mla2 écrivait:
----
" avec une telle vestibuloposition comment il aurait pu dans le passé (avant egression des 7) trouver un
calage sur les canines ??? "
les 7 n ont rien à voir :-)
en allant chercher un appui excentré .
et puis en guidage de fermeture ,lorsqu il arrive de coté , ça lui permet de se guider dessus en passant outre son secteur post pipé .


Vw campersurfvan bmnk1q - Eugenol
enlaye

22/09/2020 à 12h03

mla2 écrivait:
----
" autre question : dans les cas d'asymétrie de croissance anatomique (condyle ou max inf) , il y a-t-il là une population plus sujette aux troubles musculosquelettiques ?"
incompétent dans ce domaine
" Et dans ces cas particuliers, l'approche occlusale( comme thérapeutique) atteint-elle sa limite d'efficience? "
je ne sais pas .


mla2

22/09/2020 à 14h26

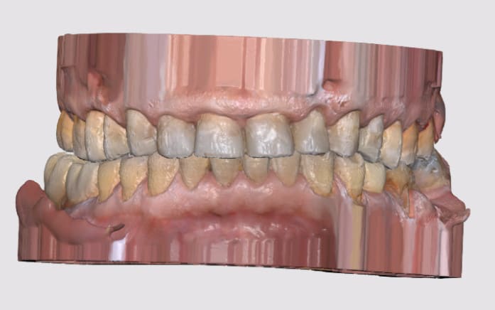
Dartos, peux tu me montrer les contacts occlusaux actuels de 13? l'espace d'inocclusion que semble indiquer une des images bloque ma comprehension de al réponse d'Enlaye sur le rôle joue par cette dent

13 occlusion fh56rb - Eugenol

Dartos

22/09/2020 à 14h41

@mla2 voilà

Rocher claude meditlink image data  11 pcqciw - Eugenol
Rocher claude meditlink image data  10 hvy6on - Eugenol
Rocher claude meditlink image data  9 kj4mie - Eugenol
Rocher claude meditlink image data  8 ng3qoz - Eugenol