Cookie Consent byPrivacyPolicies.comPour Pluton - Eugenol

Pour Pluton

Xv950 x01biv - Eugenol
island

23/09/2020 à 15h51

Bonjour,
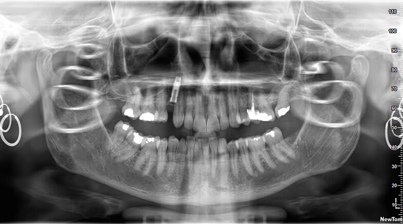
Reconnaitrais tu cet implant posé en france il y a 29-30 ans ?
Merci pour l'aide


--
Vieux motard que jamais

Yqnyx0quyaq4pgkejclq - Eugenol

Photo pluton1b h9n4ea - Eugenol
pluton

23/09/2020 à 16h41

Rétro stp sans plus de précision (finesse de la radio) j'ai environ 600 correspondances.....


Le nouveau

23/09/2020 à 18h49

Screw vent?
Ça ressemble au niveau connectivité hexagonale, et au niveau du col.
Il y a 30 ans, on avait moins de systèmes implantaires aussi...


Xv950 x01biv - Eugenol
island

23/09/2020 à 19h49


Merci pour ta réponse, le soucis est qu'avec une rétro j'ai du mal à avoir "l'apex" de l'implant, je vais dire à la patiente de repasser.

--
Vieux motard que jamais