Cookie Consent byPrivacyPolicies.comIdentification implant - Eugenol

Identification implant

WMX

18/11/2020 à 09h57

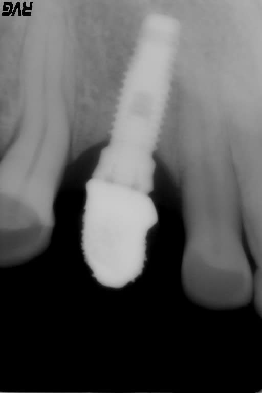
Bjr, avez vous une idée de la marque et référence de cet implant mystère posé il y a une vingtaine d'année ?
Merci pour votre aide et de votre indulgence pour la qualité de la rétro.

X5pt6xf4wjqjl5in2d8c - Eugenol

WMX

18/11/2020 à 15h27

Je l'ai whatimpantisthatisé mais ca n'a rien donné.
ca me permet de remonter ma petite question;)


Photo pluton1b h9n4ea - Eugenol
pluton

18/11/2020 à 17h32

J'ai cherché partout et encore rien trouvé....


WMX

18/11/2020 à 18h01

et si toi tu ne trouves pas .... ! pourtant le col de l'implant est bien particulier, j'ai fait le tour de la bibliothèque mais ça ne matche pas.


Photo pluton1b h9n4ea - Eugenol
pluton

18/11/2020 à 18h17

osseosource est en panne
whatimplant...y a rien
spotimplant, cherché partout....nada...
en effet le col est bien particulier, et j'ai rien trouvé qui matche...d'autant qu'il me semble voir un trou à l'apex, et là c'est encore pire j'ai moins de choix et toujours rien qui correspond


Photo pluton1b h9n4ea - Eugenol
pluton

18/11/2020 à 18h25

le seul truc qui pourrait "coller" mais c'est tiré par les cheveux et la qualité de la radio n'est pas assez bonne pour vérifier çà....c'est que ce serait un Nobel mk1 sur lequel serait mis un multiunit ou un pilier dessus qu'on ne verrait pas du fait de l'axe et le flou de la radio


WMX

18/11/2020 à 21h24

merci d'avoir pris le temps Pluton, j'ai un cbct et il y a bien un trou à l'apex.
je pense aussi que tu as raison, le col de l'implant doit s'arrêter à la partie droite et ensuite l'évasement doit être un pilier.
merci patron.


Photo pluton1b h9n4ea - Eugenol
pluton

18/11/2020 à 21h25

De rien


WMX

20/11/2020 à 16h08

Le patient a finalement retrouvé une référence et ce serai un Steri-os vis 4.5x12mm avec un pilier uni par dessus pour expliquer l'image du col ainsi rallongé.
A priori la marque n'existe plus donc j'ai pas fini de galérer.
Merci pour votre aide.


Photo pluton1b h9n4ea - Eugenol
pluton

20/11/2020 à 16h31

WMX écrivait:
---
> Le patient a finalement retrouvé une référence et ce serai un Steri-os vis
> 4.5x12mm avec un pilier uni par dessus pour expliquer l'image du col ainsi
> rallongé.
c'est bien çà....après sterioss ou Nobel sans une rétro tiptop pour bien voir le connexion c'était difficile de différencier...

tu peux tenter ta chance ici peut être pour les pièces...
https://titanimplants.com/steri-oss-compatible/