Cookie Consent byPrivacyPolicies.comQuel est cet implant? - Eugenol

Quel est cet implant?

simfed

25/11/2020 à 10h27

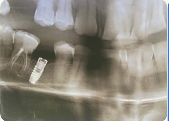
Bonjour, est-ce que quelqu’un peut me dire quelle est la marque de cet implant ? Merci d’avance

Hzw3fwzvsw4marzpqpeo - Eugenol
Ukaddx3aqqnc3zxx8kf4 - Eugenol

Photo pluton1b h9n4ea - Eugenol
pluton

25/11/2020 à 13h27

Rétro pour être certain à 100%
Mais amha c’est ça
https://whatimplantisthat.com/implants/details/endure-fixture-cp-old-threads


simfed

25/11/2020 à 17h07

merci Pluton , je te fais suivre une rétro rapidement mais ça l'air de coller