Cookie Consent byPrivacyPolicies.comAvis plan de traitement / paro PA - Eugenol

Avis plan de traitement / paro PA

Lobelia

30/11/2020 à 16h04

Bonjour,
Je souhaiterais vos avis sur ce cas.
Au niveau questionnaire med:
patient de 40 ans, pas d ATCD, ne fume pas.

son souhait : que les dents ne bougent plus et remplacer celles qui manquent

en intra buccal
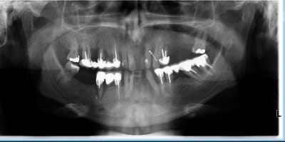
Paro +++
bridge sect 1 cassé, avec mobilité ++ sur 15 et
mobilité +++ sur 22 24 et plus modérée au niveaudu bridge sect 3

Quelles dents serait il possible de conserver ?

Le patient ne veut pas faire de paro car pas prit en charge par sa mutuelle.. et des implants sur ce terrain , ca m a l air plus que déconseillé.
Quen pensez vous ?
PAP ? PAC ?

je vous remercie



E8fiwuvtkf2p9gr3awai - Eugenol
Yvd3qs4tu6ayir3zuhyl - Eugenol
Zllfazx9fha4lna6960p - Eugenol
N4wk24dgurnltazjcpfg - Eugenol
Tyqytjo4pb2pt4pcezjd - Eugenol
Bdzsnieu1gql1s4zt3ud - Eugenol
Lrbmxkdwmaufgk7dkeww - Eugenol

Nouveau image bitmap fz77zh - Eugenol
Sethef

30/11/2020 à 16h18

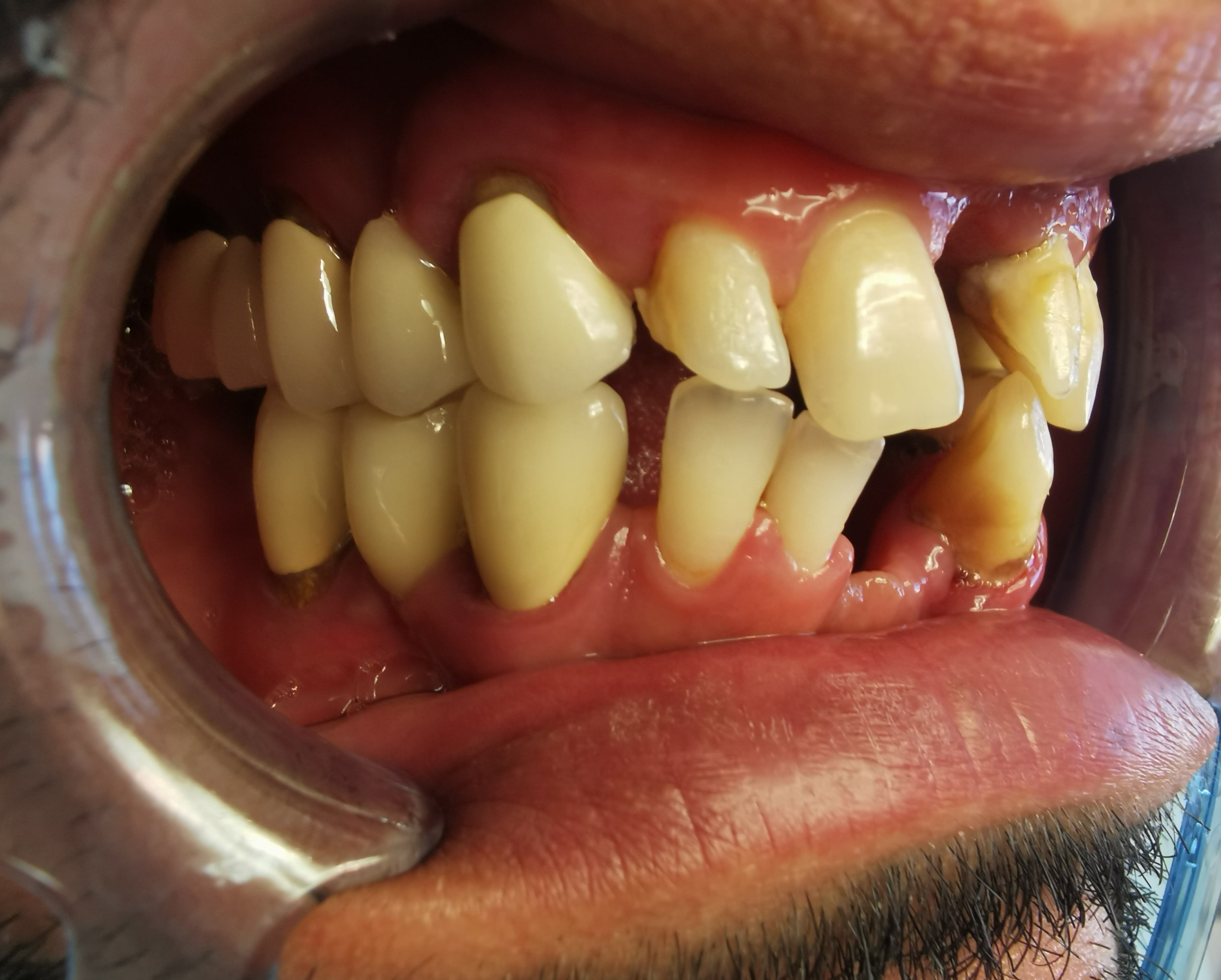
C'est triste, parce que l'hygiène est correcte aujourd'hui, et que les soins ont été réalisés en dépit du bon sens.
Complet haut, en bas tu conserves ce que tu peux pour stabiliser le stellite...


4a338550 6a5b 47ea b2a7 d3cb675c5076 oni5gh - Eugenol
𝕱𝖎𝖘𝖙𝖚𝖑𝖊

30/11/2020 à 19h06

C’est mort !
Deux claquots résine ou deux stelites que tu fais évoluer en complet au fil du temps.
Pas de paro , pas d’implants...
Patient pour bridge complet sur implants.
Comme mon copain du dessus !
😷🤗


Image r6habu - Eugenol
Thomas Crown

30/11/2020 à 22h46

Demande lui ce qu’il veut , vouloir garder ses dents et ne pas faire de paro: ça plutôt jouer à euro millions , sont mignons des fois les gars .. c’est une paro agressive généralisée de l’adulte. Demande toi ce que tu peux vraiment sauver par la motivation et l’assainissement. Retrouve une occlusion et une stabilité avec des provisoires avant de t’inquiéter pour les extractions.. après demande à Enlaye, il en sait plus que moi :)


Vw campersurfvan bmnk1q - Eugenol
enlaye

01/12/2020 à 00h33

Avant toute chose il faut mettre le compte à la 47 :Endo puis soit couronne soit coronoplastie severe ou bien meme extraction .apres tout sera beaucoup plus facile .

De toute evidence tu ne peux pas mettre d implant par ci par là , si tu ne couronnes pas toutes les dents pour retrouver une occlusion correcte .Or en couronnant , tu fais par la meme un curetage rotatif fraise grain fin jusqu a l os , et hop la paro est faite :-))

En bas un bridge canine canine ça passe creme .


Vw campersurfvan bmnk1q - Eugenol
enlaye

01/12/2020 à 07h28

Le probleme d un cas extrême comme ca ce n est pas la mobilité , ni la paro . Ca avec une restauration complète h+ b en prov fixe par des bridges , tu t en sors rapidement .

Le probleme , c est de trouver la centrée . Et pour ca il te faut plusieurs generations de prov .
Et pour retrouver la centrée , il faut rééduquer tous les capteurs de proprioceptions . Cad les remettre tous au meme niveau .
Ce qui t oblige à symetriser les appuis et les fonctions , et meme symetriser les endos .
Par exemple s il y a une endo sur une 46 , ben tu fais l endo sur la 36 si elle est " vivante " .
Et ce n est qu une fois que tu auras tout taillé , tout assaini , tout solidarises ( enfin le plus possible tjs dans un but de reeducation) que tu pourras te concentrer sur la recherche de la centrée .
Un cas comme ca il te faut presqu un an de preparations avant d y arriver à trouver la centrée .
J ai le meme genre de cas en ce moment , c est ce qu il m a fallu .
Le plus difficile ce sera apres .
Ce sera de prendre la decision de passer en definitif , en desolidarisant ? Et pour combien de temps ? Et plein de doutes que tu n as pas avec un prov souple .
Donc la 1 ere question a poser au patient , c est :
Bon , ok , je vous garde les dents , mais pour combien de temps ? sachant que ca va etre long et que ca va vous coûter des sous .
S il pense que c est pour l éternité , tu oublies tout de suite .



Vw campersurfvan bmnk1q - Eugenol
enlaye

01/12/2020 à 07h38

Aut' chose .
Quand tu tailles pour faire un bridge , lors qu un pilier est tordu , comme le cas de ta canine en bas , ben il est tjs tordu dessous ,meme si tu lui as redressé la tete :-)
Et ca il faut en tenir compte dans la valeur de l appuis . Ce n est pas la meme valeur qu avec un bridge avec 2 dents droites . Meme s il y a de l os pareil .


Vw campersurfvan bmnk1q - Eugenol
enlaye

01/12/2020 à 08h14

Lobelia , tu dis qu il ne veut pas payer la paro . Mais les implants oui ?
Ça part mal . Ca sent le manque de confiance .
Meme pas un complet j y fais .
Zou dehors .


chichi

01/12/2020 à 08h17

Moi j'assainirais et lui ferais passer des brossettes puis ext 22/24/45 pui section du bridge sect 1 à la cassure en 15 deux stellites 16 21 22 24 25 26 27
47 46 45 44 36


Nouveau image bitmap fz77zh - Eugenol
Sethef

01/12/2020 à 10h54

enlaye écrivait:
------
> Lobelia , tu dis qu il ne veut pas payer la paro . Mais les implants oui ?

Ben c'est ça le truc, les bridges de contention compliqués, tu peux les envisager si y'a des implants pour compléter. Mais si le mec veut pas payer 300 balles pour se faire gratter les racines, peu de chances qu'il aligne 10k pour les clous qui vont venir. Pas forcément une histoire de confiance, il a peut-être juste pas de blé.


Vw campersurfvan bmnk1q - Eugenol
enlaye

01/12/2020 à 11h00

Sethef écrivait:
------
" Pas forcément une histoire de confiance, il a peut-être juste pas de blé."
certes y a pas de mal , mais alors dans ce cas , c est la demande de Lobelia que je ne comprends plus .
:-) deja je ne sais pas ce que veut dire pap et pac


4a338550 6a5b 47ea b2a7 d3cb675c5076 oni5gh - Eugenol
𝕱𝖎𝖘𝖙𝖚𝖑𝖊

01/12/2020 à 11h31

Pap : pompe à Pervers
Pac : pompe à chaleur
Truc de cul et truc d’ecolo...
T’ain, t’es vraiment nul !
😷😉


Lobelia

01/12/2020 à 11h57

Bonjour,
merci pour vos réponses.

ce que le patient veut : des dents, belle et droite de preference et le moins d extraction possible ...

Alors j 'ai parlé des implants parce que le patient a commence direct en me disant que sa mutuelle ne prenait pas du tout la paro en charge, mais les implants oui.

Au niveau finance en effet, il n est pas pret a mettre beaucoup d argent

L occlusion, surtout, et la séquence de traitement, dans ce cas me fait peur .
j ai en effet l impression qu il faudra du temps, de l argent et de la motivation .

j'aimerais conserver le plus de dent possible, mais pas au risque d avoir un patient mécontent et donc penible et des nuits blanches .
alors effectivement pour le haut un complet

mais avec ce que vous m avez dit et conseillé, je pense que je vais orienter. l occlusion me stress




tity

01/12/2020 à 13h49

Voilà , si tu sens pas , tu fais pas .

Je sais , c'est plus facile à dire qu'à faire mais c'est la garantie de dormir tranquille


Vw campersurfvan bmnk1q - Eugenol
enlaye

01/12/2020 à 14h26

+1 avec Titi . La garantie de dormir tranquille , et en plus il faut avoir les moyens de s amuser , pcq de faire un cas comme ca en fixe , c est rigolo mais ça te coûte un bras , c est interminable .
Un par an pour le fun , mais c est tout . à l heure d Aujourd'hui on gagne notre vie avec de l unitaire .


Hok 1b hgd3rj - Eugenol
Hokusai

01/12/2020 à 14h30

Lobelia écrivait:
-------
> Au niveau finance en effet, il n est pas pret a mettre beaucoup d argent

ca se voit...
double claquos one shot prov puis def.


rice and carie

03/12/2020 à 14h16

tity écrivait:
----
> Voilà , si tu sens pas , tu fais pas .
>
> Je sais , c'est plus facile à dire qu'à faire mais c'est la garantie de dormir
> tranquille
------------------------

Plutôt voir une fois son dos que cent fois sa face.
à chaque fois que tu verras son nom sur le planning, stress garanti sinon.


Gabzou

03/12/2020 à 16h17

Les exigences du patient ne sont pas compatibles avec son état. Il n'y a pas de solution pas chère, sans avulsions et esthétique. Je crains qu'il surestime largement la prise en charge des implants par sa mutuelle. Si elle ne prends pas en charge la paro, je doute qu'elle prenne en charge le nombre d'implants dont il aurait besoin pour du tout fixe.

Je rejoins la première analyse simple de Sethef:
-Plus assez de dents conservables en haut, vu les avantages du complet par rapport au partiel au maxillaire, c'est la prothèse totale.
-Dents à voir au cas par cas à la mandibule, avec soit conservation uniquement des dents vraiment bien (peut être des bridges/couronnes à reprendre) et prothèse métal (si le patient te semble stable niveau paro). Soit partiel résine en gardant un max de dents et en rajoutant dessus petit à petit si tu crains que tout lâche au fur et à mesure.

Une fois qu'il a çà, tu refais un point quand il a eu le temps de s'y faire: les amovibles le gênent, l'hygiène et bonne, il a les moyens: tu propose les implants, soit quelques uns pour stabiliser les appareils, soit en fixe selon ses désirs/moyens.
Autrement, il reste comme çà.

Si il te semble trop galère car il ne comprends pas qu'il va perdre la moitié de ses dents, ne te lance pas.

Par contre coté réalisation ce n'est pas si complexe; à moins que tu n'envisage de conserver un max de dents et de remplacer les manquantes par des implants sans faire d'amovible, auquel cas effectivement les commentaires d'Enlaye s'appliquent, et là bon courage, moi je ne tenterai pas. Les mix dents/implants à si grande échelle çà me plait moyen.