Cookie Consent byPrivacyPolicies.comImage pano - Eugenol

Image pano

victorn

03/12/2020 à 13h30

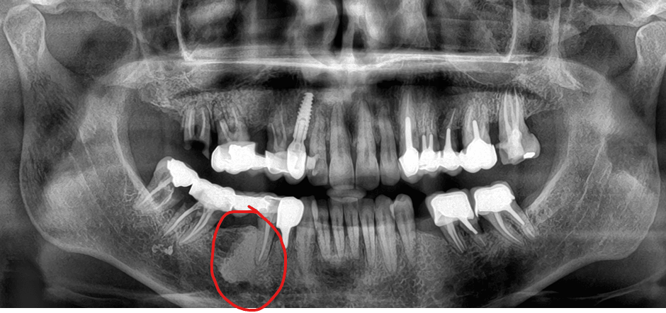
A votre avis c'est quoi ?

Xe9q2mm2gxl1dnci5lzy - Eugenol

blaki

03/12/2020 à 15h28

c'est un cementome


Gabzou

03/12/2020 à 16h01

Ca y ressemble bien en effet. Pas de symptômes, pas toucher. Vérifier au prochain contrôle.


Pierre logo clykpp - Eugenol
Denteo33

03/12/2020 à 18h34

c'est pas son plus gros problème