Cookie Consent byPrivacyPolicies.comMISornotmis - Eugenol

MISornotmis

Paul Pitt

14/01/2021 à 18h53

Bonjour
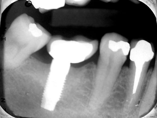
Confirmez.vous.que.cet.implant.est.bien.un.mis.?
Si.oui.de.quel.type?
Désolé.ma.barre.espace.est.HS...

Xuxtbl3ekrgumniy8qaa - Eugenol

4a338550 6a5b 47ea b2a7 d3cb675c5076 oni5gh - Eugenol
𝕱𝖎𝖘𝖙𝖚𝖑𝖊

14/01/2021 à 20h04

Mis France...
😷😜


Photo pluton1b h9n4ea - Eugenol
pluton

14/01/2021 à 21h21

Ta radiographie est floue, mal exposée....on peut même pas voir/deviner le type de connexion ( externe?interne?)....bref, inexploitable...