Cookie Consent byPrivacyPolicies.comidentification implant - Eugenol

identification implant

jean47

18/01/2021 à 13h37

Bonjour.

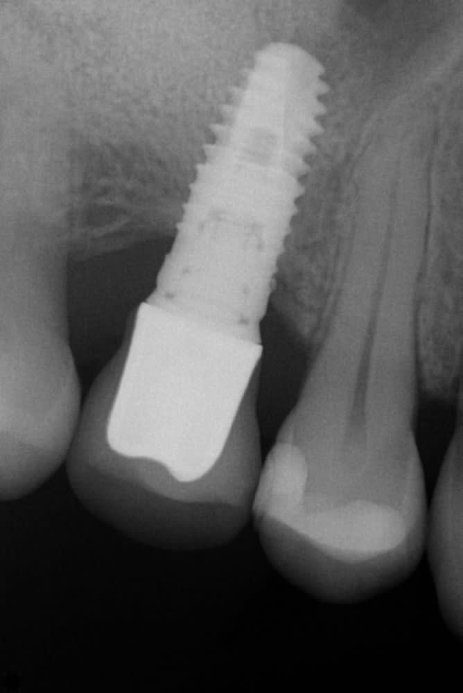
Un patient se présente a ma consultation pour une couronne sur implant qui bouge.
Est ce que quelqu'un pourrait m'aider pour son identification?
merci.

Mmbdtng6qmxrodhyyap4 - Eugenol

Photo pluton1b h9n4ea - Eugenol
pluton

18/01/2021 à 15h06

Xive S friadent 100% sûr (sauf du diamètre)
https://whatimplantisthat.com/implants/details/xive-s-plus-2


jean47

18/01/2021 à 15h53

Merci beaucoup !!