Cookie Consent byPrivacyPolicies.comdent qui remonte dans la gencive - Eugenol

dent qui remonte dans la gencive

 40042465 bill gordon203 lfznbq - Eugenol
torino

18/01/2021 à 16h34

Bonjour à tous,
Ce patient vient me voir pour une dent "qui est remontée dans sa gencive" associé à des douleurs à la mastication
Effectivement en bouche la 16 est complètement ingressée.
Couronne posée il y a quelques mois par un confrere.

J'avais déjà vu un cas similaire passer ici. Quelle avait été la conclusion?
je pense à des points de contact trop fort, peut être faudrait il aussi revoir le bombé de la 17?

Pdl3khqhzzkonibxmabg - Eugenol
Adt3m8pfuchopy8rmrx6 - Eugenol

dcs

18/01/2021 à 17h56

il faut au moins un cbct pour vérifier si le sinus aussi n est pas remonté........
En fait ,c est un cas d'ortho / implantologie .
Puissant et a méditer cela ouvre des portes !!!!


Aiguille cyboyt - Eugenol
fatboy

19/01/2021 à 09h36

Mouais, faut pas croire tout ce que disent les patients non plus. Essaie de te connecter avec le précédent dentiste pour objectiver cette ingression très mystérieuse, ou sinon, je pencherais plutôt pour une couronne pas tres bien faite. Et en face, qu’est-ce qu’il y a?


Avatar transparent iqadnc - Eugenol
adhoc

19/01/2021 à 16h30

Des considérations intéressantes:
https://www.eugenol.com/sujets/2599-ingression-spontanee?page=1


4a338550 6a5b 47ea b2a7 d3cb675c5076 oni5gh - Eugenol
𝕱𝖎𝖘𝖙𝖚𝖑𝖊

20/01/2021 à 09h25

Je penche plutôt pour un remodelage osseux sur la dent naturelle et aucun autour des implants.
En ODF, les latérales implantées restent figées pendant que le reste mène sa vie...
😷🤔


Aiguille cyboyt - Eugenol
fatboy

21/01/2021 à 05h56

La couronne a ete posee il y a quelques mois. J'ai du mal a imaginer un mouvement d'ingression d'une molaire (particulierement compliqué en ortho) se faire aussi rapidement.
En fait, si c'est vrai, donne moi la recette. J'ai tout le temps des molaires egressees en face d'implants que je dois poser. Si en quelques mois , je peux les reenfoncer de 4mm comme la tienne , ca me simplifiera la vie.


Vw campersurfvan bmnk1q - Eugenol
enlaye

21/01/2021 à 07h11

fatboy écrivait:
------
" Mouais, faut pas croire tout ce que disent les patients non plus. "
+1
de toute évidence les couronnes sur implants ont étés mises après la couronne de 6 .
ou alors la 6 n est pas alignée sur l arcade .
meme si elle avait ingressé , admettons , les implants eux , n ont pas bougé , or il n y a pas l espace pour la 6 .
donc ta question sans les photos des 2 arcades , ne sert à rien .


4a338550 6a5b 47ea b2a7 d3cb675c5076 oni5gh - Eugenol
𝕱𝖎𝖘𝖙𝖚𝖑𝖊

21/01/2021 à 07h20

Bon, 6 mois, j’avais pas fait attention...
Bin, le patient est un gros mytho qui te prend pour un jambon.
La CCM a été posée comme ça.
😷🥴


Vw campersurfvan bmnk1q - Eugenol
enlaye

21/01/2021 à 07h28

et puis c est un tourneur ce patient , celui qui a mis les couronnes sur implant n est pas le meme que la couronne de 6 .
je me vois mal faire une couronne super bien ajustée en ceram sur une dent naturelle puis 2 dents pipées en zircon full sur les implants .
donc 2 praticiens , avec 3 mois d intégration , tout ça en 6 mois , c est étonnant


Bebe 038 nf8eum - Eugenol
danteyeah

21/01/2021 à 09h52

Enlumbo a encore frappé....un mytho ton patient Torino, et crois moi dans la région on est des espécialistes en mytho ;-))


 40042465 bill gordon203 lfznbq - Eugenol
torino

21/01/2021 à 13h55

Merci pour vos réponses.
Je sais pas pourquoi mais je le crois le patient :-)
Chronologiquement, les couronnes sur implants ont été faites avant la 16.
La dent est bien alignée sur l'arcade. Je le revois dans 15j je ferai des photos.
Le patient m'a dit que le prat avait du renvoyer une fois la couronne au labo car les points de contacts étaient trop serrés.
Ma théorie est donc qu'au deuxième essayage les points de contacts étaient encore un poil trop serrés, avec l'effet amortisseur du ligament et sous la pression occlusale la dent s'est coincée sous le point de contact des 2 autres et quelle à ensuite été poussée comme un bouchon de champagne.


Vw campersurfvan bmnk1q - Eugenol
enlaye

21/01/2021 à 14h26

torino écrivait:
------
" Ma théorie est donc qu'au deuxième essayage les points de contacts étaient encore un poil trop serrés, avec l'effet amortisseur du ligament et sous la pression occlusale la dent s'est coincée sous le point de contact des 2 autres et quelle à ensuite été poussée comme un bouchon de champagne. "

non . regardes
- le niveau osseux autour de la 6 , il est impeccable
- l adaptation cervicale , au top . si entre 2 pts de contacts implantaire les pts étaient trop serré , ce ne serait pas le cas
- la dent devait etre devitalisée depuis longtemps en tout cas bien plus de 6 mois , elle parait collée à l os .
- la racine mesiale est coube , la furcation en pleine forme , os dense , comment veux tu que ça bouge ?


Et7jtaj0pdi18gzjlxjiamlx15gs - Eugenol
Prunelles

21/01/2021 à 14h36

fatboy écrivait:
------
> Et en face, qu’est-ce qu’il y a ?

Très bonne question !


Rape p0as4f - Eugenol
rapelapente

21/01/2021 à 15h06

torino écrivait:

> Ma théorie est donc qu'au deuxième essayage les points de contacts étaient
> encore un poil trop serrés, avec l'effet amortisseur du ligament et sous la
> pression occlusale la dent s'est coincée sous le point de contact des 2 autres
> et quelle à ensuite été poussée comme un bouchon de champagne.

Poussée par quoi ?
Les implants sont sur silent block ???
Effectivement l'antagonisme est capital, mais moi non plus je ne crois pas à la version du patient.
Non qu'il soit de mauvaise foi, mais ils confondent souvent les dents. Il y a 6 mois c'est peut-être une autre dent qui a été couronnée....


--
Schooner For Ever


 40042465 bill gordon203 lfznbq - Eugenol
torino

21/01/2021 à 15h57

enlaye écrivait:
> - la racine mesiale est coube , la furcation en pleine forme , os dense ,
> comment veux tu que ça bouge ?

En bouche t'as l'impression que la dent est remontée avec tout son parodonte.

En face acarde dentée naturelle de mémoire.
Je ferai des photos au prochain rdv ce sera plus parlant


 40042465 bill gordon203 lfznbq - Eugenol
torino

02/02/2021 à 18h30

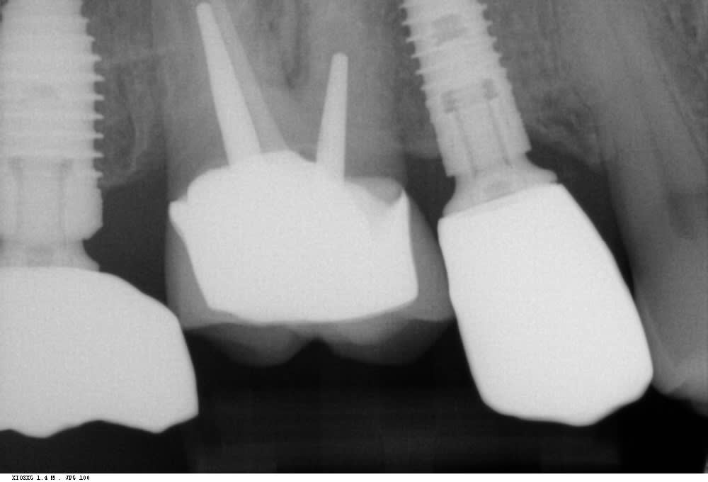
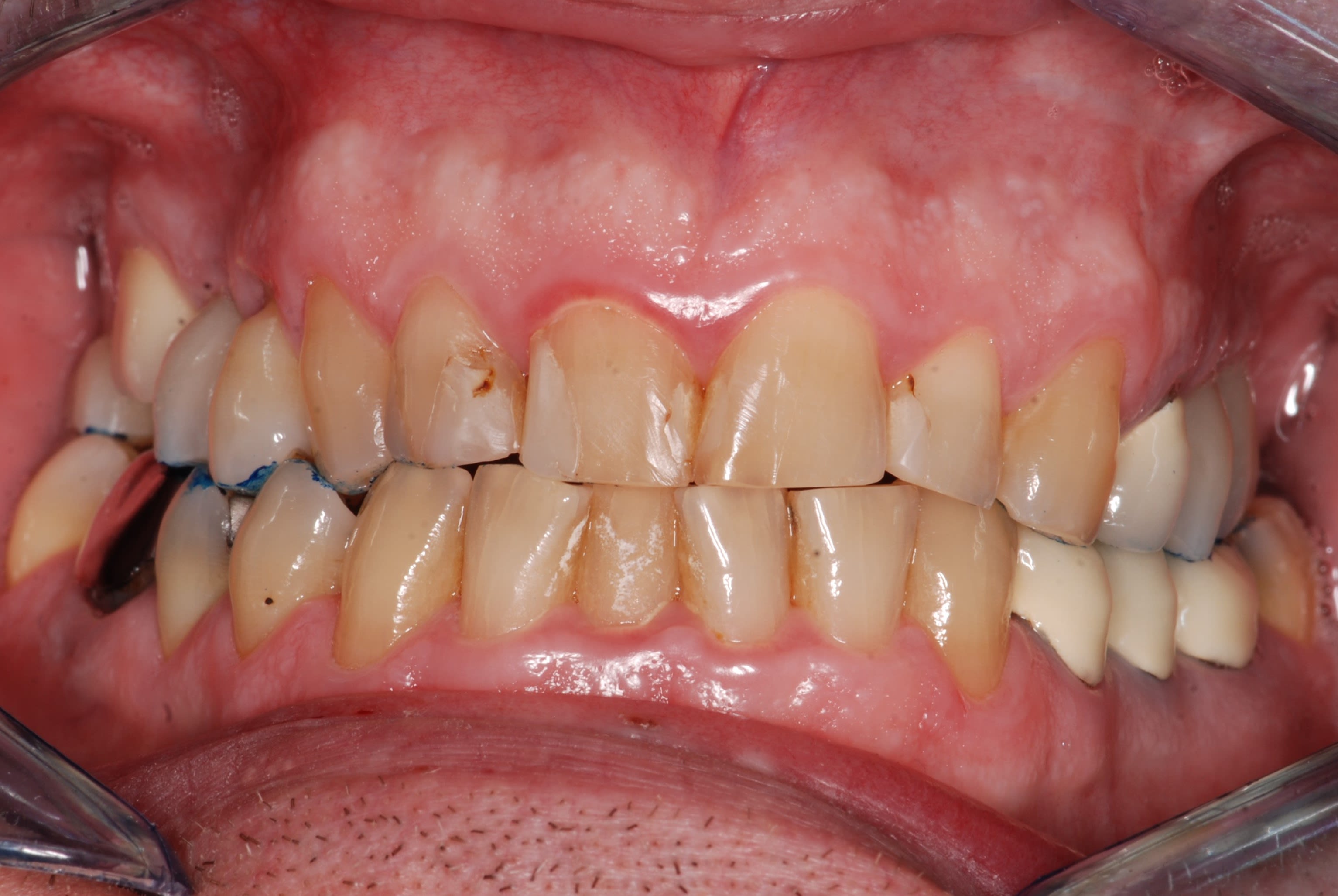
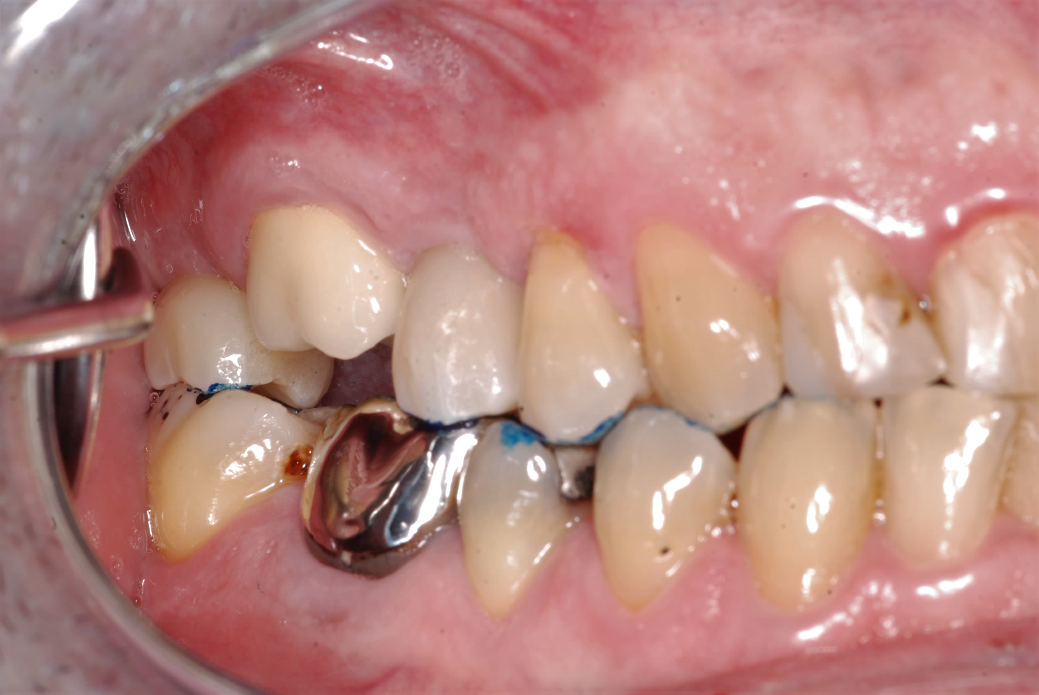
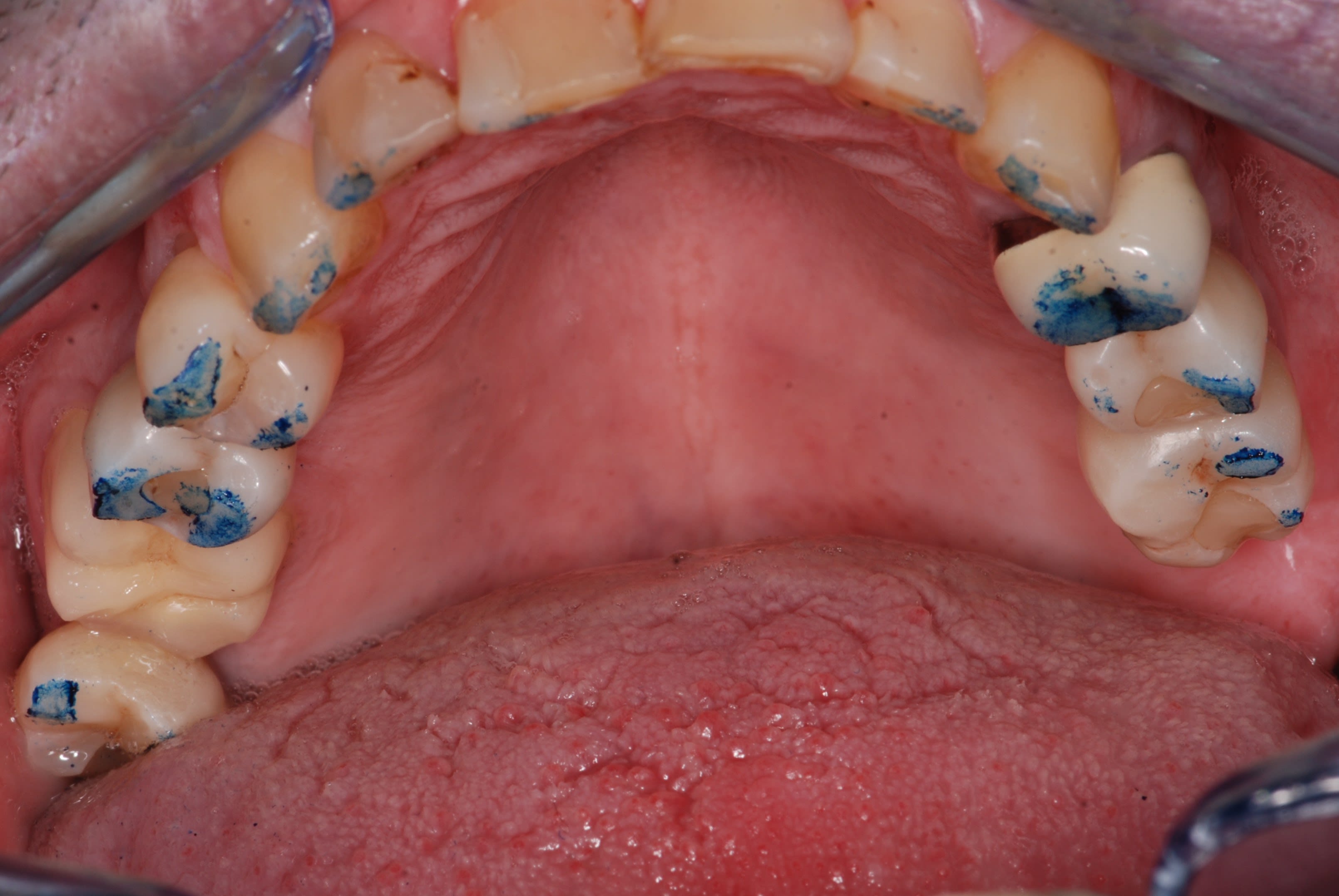
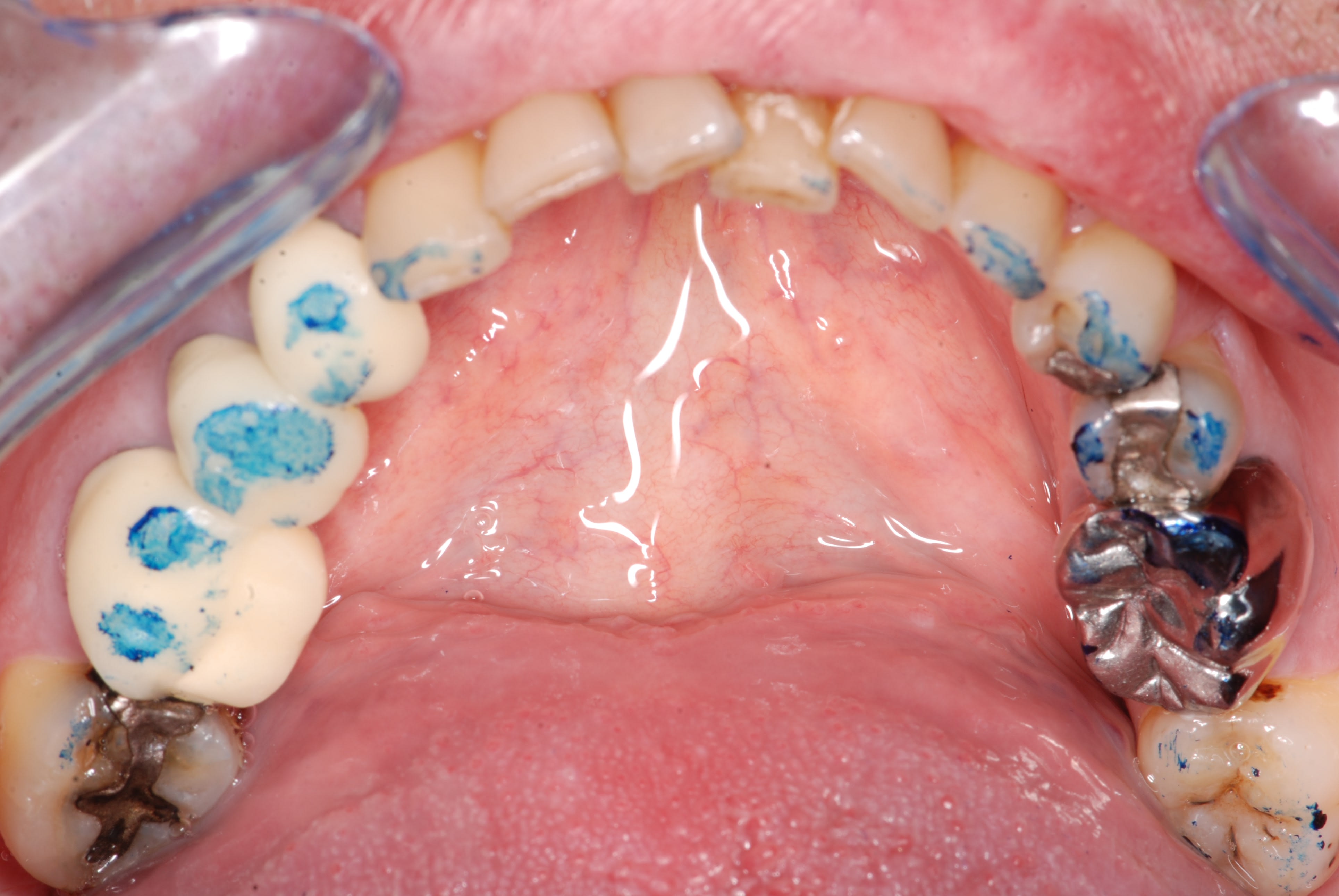
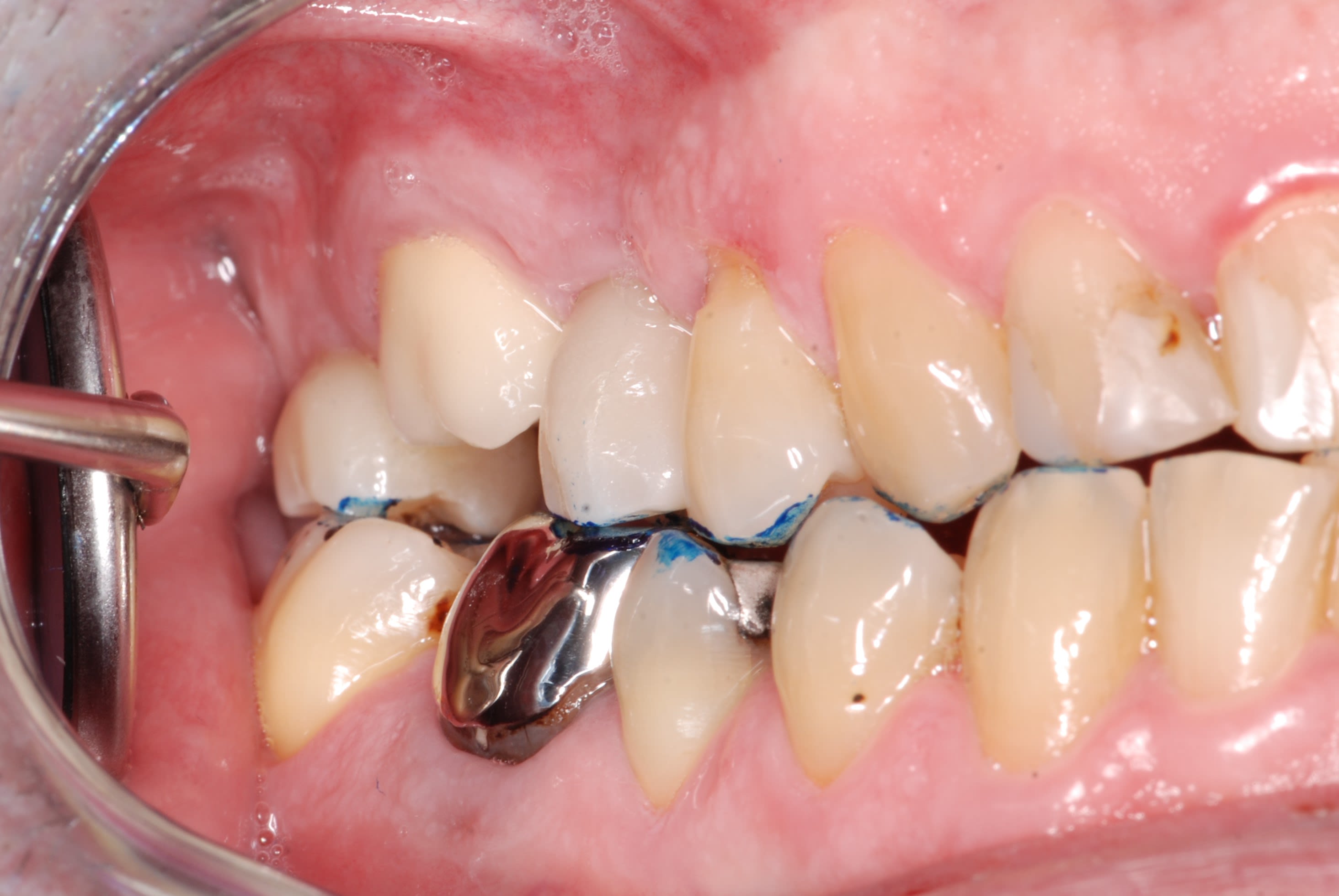
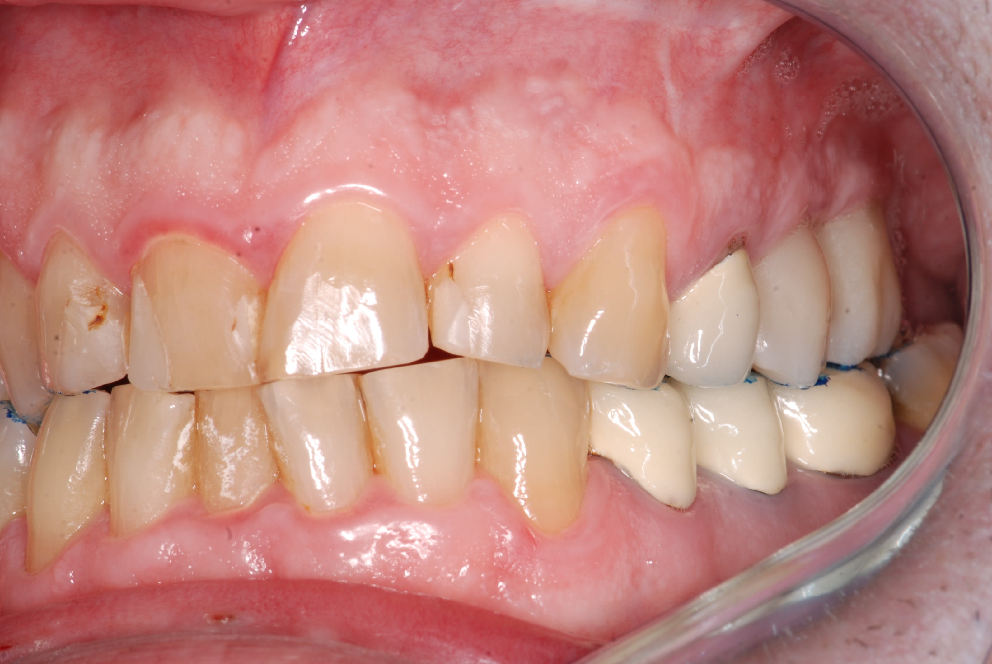
Comme promis, voici les photos du cas.
Comme je disais on dirait que la dent est remontée avec tout son parodonte...
Rien de particulier de noté au cbct fait par mon correspondant implanto. je vais lui demander les coupes

Dsc 4386 xpxxbl - Eugenol
Dsc 4387 cqhjgl - Eugenol
Dsc 4388 xpo3ic - Eugenol
Dsc 4389 vuoni1 - Eugenol
Dsc 4390 itk9cb - Eugenol
Dsc 4394 dua7l5 - Eugenol

Vw campersurfvan bmnk1q - Eugenol
enlaye

02/02/2021 à 19h13

merci pour ce cas et ces photos , Torino , faut qu on essaye de comprendre cette affaire mystérieuse .


Nouveau image bitmap fz77zh - Eugenol
Sethef

02/02/2021 à 21h58

Jamais vu ça.
J'ai du mal à croire à l'hypothèse des pts de contact, mais je n'ai pas mieux à proposer.
Actuellement, les points de contact sont-ils conservés? Le fil claque au passage?


 40042465 bill gordon203 lfznbq - Eugenol
torino

02/02/2021 à 22h41

Oui point de contacts encore présents et bien serrés, le fil claque bien avec douleurs au passage du fil.
Au départ le patient consulte surtout parce qu’il a mal à la mastication
En tout cas je vous pose une bonne colle apparement :-))




Vw campersurfvan bmnk1q - Eugenol
enlaye

03/02/2021 à 00h26

vu qu il n est manifestement pas confortable , il ne se mettrait pas un truc dans la bouche comme un crayon ? non , c est pas ça , oublies :-)


Vw campersurfvan bmnk1q - Eugenol
enlaye

03/02/2021 à 00h40

pourtant , sa couronne "fer" est toute mate en distal , pourquoi ? on dirait qu il y a ou qu il y a eu frottement mais pas avec un truc dur . .
et sa ceram , elle est cassée en distal ?

Bas zpmzf8 - Eugenol
Haut dkmr2e - Eugenol

Vw campersurfvan bmnk1q - Eugenol
enlaye

03/02/2021 à 00h51

un piercing enlevé depuis ? noooon


Aiguille cyboyt - Eugenol
fatboy

03/02/2021 à 03h22

Je t’avoue que je ne m’attendais pas à cet antagoniste. Pas mal, ta colle!
Repartons dans les conjectures, alors.
Je pense à une 16 bloquée dans son éruption (celles ci sont souvent cariées et par « contagion » provoquent des caries radiculaires sur leurs voisines, d’où, extraction de 5 et 7.
Ça expliquerait la position de cette dent, mais pas cette couronne en inocclusion. Là, tout ce que j’imagine, c’est que la couronne a été faite alors que 5 et 7 étaient absentes par un prothésiste qui a cru corriger une erreur d’empreinte et un dentiste qui s’en cognait....
Tu veux pas demander à son précédent dentiste des radios, qu’on en ait le cœur net.


Pierre logo clykpp - Eugenol
Denteo33

03/02/2021 à 05h39

Torino, prend contact avec le confrère qui a posé la couronne sur 16 et demande lui les RVG, on aura la réponse directement!

Je ne crois pas que la dent se soit ingressee : je pense qu’elle a été couronnée ainsi


Nouveau image bitmap fz77zh - Eugenol
Sethef

03/02/2021 à 08h04

Si les points de contact sont serrés, je ne comprends même pas comment la couronne a pu être mise en place: nous sommes au-delà de la ligne de plus grand contour!
Je rappelle que les deux adjacents sont sur implant, impossible de jouer sur le ligament popur passer en force.

J'ai une théorie, je ne sais pas si elle est crédible du point de vue scientifique: peut-on considérer une certaine souplesse de l'os au niveau de la tubérosité, qui aurait justement permis cette insertion en force? De l'os, ou du corps de l'implant, qui aurait ensuite agi comme un appareillage odf en tentant de revenir en position intiale, donc en poussant la 6 en direction mésiale et apicale, le mésial étant bloqué par l'implant 5?


La 7 aurait été dento portée, on aurait juste eu une surroc sur 7 par disto version, ça aurait été plus simple à comprendre.