Cookie Consent byPrivacyPolicies.comCompo aux collets? - Eugenol

Compo aux collets?

Vw campersurfvan bmnk1q - Eugenol
enlaye

20/01/2021 à 22h44

cateeth écrivait:
-------
" Des conseils de livres pour me former en occluso et me sentir plus a même de resoudre les pb occlusaux engendrant ces abfractions? "

des livres ? sais pas , j en ai jamais lu un entièrement , et puis ces livres c est facile à lire quand t en as pas besoin .


Vw campersurfvan bmnk1q - Eugenol
enlaye

20/01/2021 à 23h43

harta's écrivait:
-------
" J'observe deux famille de lésions: les "fond plat" et les "encoche".
Quelle que soit le stade d’évolution.
une idée? ;D

on dirait que ça depend de du soutient osseux de par la forme des racines et de la position de la langue .
on trouve souvent des mylolyses avec un petit trottoir sur les dents du bas ,molaires et pm du bas parfois canine et des mylolyses à encoche sur les dents du haut quelque soit la dent .
la vibration de par la forme des racines des dents du bas associé à une langue basse doit etre plus faible .
bon , ç est une conclusion de 11h.45 , hein , à prendre avec modération :-))


Bebe 038 nf8eum - Eugenol
danteyeah

21/01/2021 à 08h58

Bon c'est bien joli l'occluso et alors qu'est-ce qui va me permettre de remplir le quota de 300 compos cnsdien si on peut plus pipoter pour l'atteindre ? z'allez tuer le commerce en divulguant la vérité, gaffe à vos fesses les occluseux, z'êtes déjà dans le viseur ;-)


mla2

21/01/2021 à 11h42

Dante.....le goût du risque si tu plaisantes sur l'occluso..... l'alpha et l'oméga d'Enlaye.
la causalité oui mais sans la solution pratique parce qu'on traite un système sans le pouvoir de redistribuer entièrement les cartes.
le long terme rend objectivement modeste.


TA2

21/01/2021 à 18h24

mla2 écrivait:
----
> Dante.....le goût du risque si tu plaisantes sur l'occluso..... l'alpha et
> l'oméga d'Enlaye.
> la causalité oui mais sans la solution pratique parce qu'on traite un
> système sans le pouvoir de redistribuer entièrement les cartes.
> le long terme rend objectivement modeste.

Ho p'tain l'impertinence , l'azbsence totale de respectattitude , Enlaye ben je bite rien a ce qu'il dit quand il fait dans la sérieushatitude , plus compréhensohible son humour et la p'tite bouteille de bandol qu'il m'a posté . D'ailleurs elle est vivide ;o))


mla2

21/01/2021 à 20h02

Je rajoute le sel : en plus ce système est en évolution constante et non contrôlable


Vw campersurfvan bmnk1q - Eugenol
enlaye

21/01/2021 à 20h58

mla2 écrivait:
----
" la causalité oui mais sans la solution pratique parce qu'on traite un
système sans le pouvoir de redistribuer entièrement les cartes. "

entièrement , non , mais tu peux quand meme bien interférer pour gagner du temps sur la destruction .
et c est tres facile et tres rapide quand tu joues sur la cause mecanique .
seulement la cause mecanique n est qu une partie d un systeme .
il faut prendre en compte le citron du patient .
donc soit tu arrives à pénétrer dans son mental soit tu n y arrives pas . si tu n y arrives pas effectivement ce n est pas la peine de continuer .

" le long terme rend objectivement modeste. "
meme le court terme :-))


Vw campersurfvan bmnk1q - Eugenol
enlaye

21/01/2021 à 21h03

mla2 écrivait:
----
" Je rajoute le sel : en plus ce système est en évolution constante et non contrôlable "

ah là , je ne suis pas d accord , l évolution est tout a fait contrôlable voir même prévisible .
si tu as pu comprendre son passé occlusal , ( où il s est passé beaucoup d années ) , c est que tu as compris son systeme , sa logique mecanique , et donc son futur possible .


Vw campersurfvan bmnk1q - Eugenol
enlaye

21/01/2021 à 21h19

j ai dit : "donc soit tu arrives à pénétrer dans son mental soit tu n y arrives pas "
c est pas mystique , hein .
pour celà , il faut que pdt la consultation , son pb soit comme si c etait le tien , en réfléchissant comme lui , en parlant comme lui , et il te dira tout .
à partir de là , quand tu sais comment il fonctionne , tu peux anticiper , heuuu , ben , un echec par exemple .
dejà , le fait de savoir que tu n es peut etre pas l homme de la situation , te permet de ne pas rentrer dans un jeu à la con .


Gabzou

22/01/2021 à 01h28

Question parce que je vois que çà part en full occluso.

Pour vous le brossage agressif n'a rien à voir là dedans?
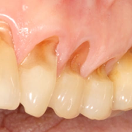
Non parce qu'autant je suis tout à fait d'accord qu'un problème occluso peut aggraver les choses et favoriser des pertes de substance non carieuses au collet, autant 95% (pour ne pas dire 100%) des patients que j'ai vu avec de grosses lésions (>1mm de profondeur, du type image jointe) étaient effectivement des amateurs (ou amatrices d'ailleurs) de la brosse dure en brossage horizontal avec des usures typiques et extrêmement caractéristiques, systématiquement plus importantes du coté opposé à la main qui tient la brosse là où c'est plus facile de forcer comme un boeuf.

J'ai l'argumentaire de ce site aussi, vous en pensez quoi?
https://www.iocclusion.com/blog/?p=2083

Et cette thèse, qui semble prouver qu'on peut avoir une origine uniquement brossage dans les cas les plus extrêmes, mais que le multifactoriel est probablement le cas le plus fréquent.
https://hal.univ-lorraine.fr/hal-01732913/document

Je ne nie pas l'existence de lésions du collet d'origine occluso pures, mais pour moi ce n'est pas tout à fait la même chose. J'en ai croisé (je pense) chez d'autres patients, mais l'apparence était bien différente: une impression que l'émail se fissurait comme de la céramique et éclatait petit à petit, sur des dents présentant clairement des fissures/fêlures visibles à l'oeil nu assez nombreuses. Il n'y avait pas non plus cet aspect de cavité très lisse et poli par la brosse avec des bords arrondis, mais plutôt des bords anguleux. Je n'ai pas réussi à trouver de photo. Effectivement ces cas là n'avaient pas de soucis de brossage mais bel et bien des soucis occluso. De mon expérience c'est tout de même beaucoup plus rare.

Concernant la question initiale, dès que la cavitation dépasse 1mm, j'obture effectivement au compo fluide (CVI si vraiment c'est dans la racine mais je préfère éviter à cause de l'état de surface moins bon pour le contrôle de plaque, même avec un bon polissage) en essayant de faire gaffe au joint cervical. Sur l'exemple photo c'est la misère par exemple ^^; mais dans pas mal des cas que j'ai eu j'avais encore 0.5 ou 1mm de dent saine au collet pour avoir un joint supra gingival donc je ne me posais pas de questions (peut être avais je tort).
Si c'est symptomatique mais sans cavitation, plutôt vernis.

1471015704 casunl - Eugenol

Vw campersurfvan bmnk1q - Eugenol
enlaye

22/01/2021 à 08h15

Gabzou écrivait:
------
" Pour vous le brossage agressif n'a rien à voir là dedans? "
avec ta belle photo tu as donné la réponse :-)
regardes la bien :-)
comment veux tu que le poil rigide , .....à oui au fait ,on parle bien de brosse dure pcq je vois mal se faire des usures à la brosse à dent chirurgicale :-))
donc comment veux tu que le poil rigide , puisse aller au fond du trou sans décapiter les gencives et les mettre en sang ?? :-)
comment veux tu te brosser les dents comme un gaga alors que tu as une hyper sensibilité , alors que tu n arrives meme plus a te rincer à l eau froide du robinet , alors que rien que le passage de l ongle ou du poil dans le creux te fait mal ???
c est plutot là le pb , l incapacité à se brosser .
si les gencives forment un trottoir qui empêchent de de nettoyer le fond du trou , ç est là que je fais un compo , temporaire . pour faire de l esthétique anti feuille de salade coincée :-)
je dis temporaire pcq de toute façon , il ne tiendra pas .
et d ailleurs , pour les mylolyses , tous les petits encoleurs ne font plus les mac , on ne les entend plus , hein , :-)) tout simplement pcq la dent se pèle comme un oignon et que la colle part avec une micro peau de substance dentaire .


Vw campersurfvan bmnk1q - Eugenol
enlaye

22/01/2021 à 08h17

pourquoi , lorsque tu couronnes les dents , la mylolyse ne continue pas ?? ils arrêtent le brossage pcq ils ont payé ? :-))))


Vw campersurfvan bmnk1q - Eugenol
enlaye

22/01/2021 à 08h30

Gabzou , j ai regardé ton lien , et j ai meme regardé les faq , excellent :-)))
notamment des gonz qui parlent des cas :
- où la protection canine est impeccable , et patin couffin que oui que non ... donc des cas où il n y a pas de pb occlusal !!!
:-))) bref des discours de l époque Ming , où alors sponsorisés par les orthos :-)
oui pcq il a 2 choses qui gênent les orthos c est :
- la centrée
- les mylolyses
et on comprend vite pourquoi ils prennent les bonnes places dans les services services d occluso :-))


Nouveau image bitmap fz77zh - Eugenol
Sethef

22/01/2021 à 08h39

La première image du lien, l'étiologie est chimique avant toute chose, la brosse n'abrase que ce qui est déjà déminéralisé, on voit bien d'ailleurs que ce n'est pas régulier sur tout le collet exposé.

L'image que tu as posté sur le forum, d'ailleurs, vous y faites quoi?
-si c'est sensible?
-en l'absence de sensibilités?

Enfin, le point souligné par enlaye est intéressant: sur un collet sensible, tu ne brosses pas, parce que ça fait un mal de chien.


TA2

22/01/2021 à 08h50

Et lui il ne compte pas ?

Images cf0mxw - Eugenol

Nouveau image bitmap fz77zh - Eugenol
Sethef

22/01/2021 à 09h23

J'ai eu une patiente qui faisait un bain de bouche au vinaigre tous les matins.
J'ai cru qu'enlaye lui avait préparé toutes les dents, ça brillait miroir partout.


mla2

22/01/2021 à 10h20

le bon sens clinique tord le cou à la dérive théorisante universitaire... rafraîchissant.
-eliminer les causes eliminables (acides/brossage inadapté)
- soulager les sensibilites à faible perte substance via vernis.... bien ces cas evolueront mais pas d'urgence à irriter la gencive marginale avec un joint microporeux et moins étanche qu'il n'y parait*
-destruction avancèe : restaurer une forme entretenable, voire anticiper 'une necrose asymtomatique
-envoyer les orthos sur mars au titre salut public... tous ne surtraitent pas , ceux là on garde.
-enfin, last but non least le Graal de la RC, autant j'adhère à son existence, autant cliniquement je pense qu'au mieux on peut trouver une position "équilibrée" moins théorique et surtout évolutive au gré d'un jeu musculaire qu'on ne peut ni analyser finement ni moduler( l'impuissance face à la physiologie)..... mais reperer les surcharges "vibratoires" qui provoquent des pressions tensions desmodontales avec effritement de l'os crestal , s'il est mince, donc avec une balance destruction-reconstruction plus negative que la norme....je le comprends comme ça. (je fais mon max avec mes quelques connexions neuronales....tolerance svp). Enfin sur H 24.... combien de temps en "RC" non traumatogène ????

* là une divergence avec Sethef sur la place de la paro .... j'essaierai de faire court pour argumenter plus tard, promis.







Et7jtaj0pdi18gzjlxjiamlx15gs - Eugenol
Prunelles

22/01/2021 à 11h17

J'ai un grand respect pour ceux qui "essayent" de comprendre l'occlusion.
J'ai eu ma période (LeGall, Fonction Canine, Les Cycles, Hanau, etc...).
Au final personne ne sait expliquer comment les Classes III arrivent à manger.
Pour moi l'occlusion est plus un problème de proprioception que de mécanique.
J'ai jamais vu un patient détendu de la vie bruxer ou avoir des mylolyses.


Gabzou

22/01/2021 à 12h13

enlaye écrivait:
------
> Gabzou écrivait:
> ------
> " Pour vous le brossage agressif n'a rien à voir là dedans? "
> avec ta belle photo tu as donné la réponse :-)
> regardes la bien :-)
> comment veux tu que le poil rigide , .....à oui au fait ,on parle bien de brosse
> dure pcq je vois mal se faire des usures à la brosse à dent chirurgicale :-))
> donc comment veux tu que le poil rigide , puisse aller au fond du trou sans
> décapiter les gencives et les mettre en sang ?? :-)

Je dirais de la même manière que lors de n'importe quel brossage. On a affaire à des maniaques de la brosse, à l'hygiène nickel, leur parodonte est parfait, aucune inflammation, aucune plaque. Une brosse au poil rigide, çà reste un poil de brosse à dent avec une certaine souplesse. A noter que j'ai aussi ce genre de cas avec des brosses médium voire souples sur de gros gros acharnés (j'ai vu passer du brossage 6 fois par jour minimum en appuyant comme un malade. Juste après le café ou le jus d'orange, même avec poil souple çà use). J'ajouterai que je n'ai jamais vu ce type de lésion devenir sous gingival (ce qui pourrait être un argument en faveur d'une étiologie occluso pure), mais çà pourrait aussi être à cause de la récession associée.

> comment veux tu te brosser les dents comme un gaga alors que tu as une hyper
> sensibilité , alors que tu n arrives meme plus a te rincer à l eau froide du
> robinet , alors que rien que le passage de l ongle ou du poil dans le creux te
> fait mal ???

Tous les cas que j'ai vu avaient soit:
-des sensibilités qui venaient d'apparaitre (ou d'augmenter au point d'être douloureuses), motif de consultation, donc interruption du processus avec la prise en charge à ce moment là. Surtout des jeunes.
-aucune sensibilité, même avec des lésions très profondes. Surtout des vieux. Je pense à une résorption ou nécrose pulpaire à bas bruit avec dentine réactionnelle.


> c est plutot là le pb , l incapacité à se brosser.

Là je ne suis pas d'accord, ceux que j'ai vu avaient TOUJOURS (je n'ai aucune exception en tête, je ne plaisante pas) un brossage parfait, jamais la moindre trace de plaque. Sauf pour les lésions dont je parlais en fin de poste, avec ces fissure présentes.


> et d ailleurs , pour les mylolyses , tous les petits encoleurs ne font plus les
> mac , on ne les entend plus , hein , :-)) tout simplement pcq la dent se pèle
> comme un oignon et que la colle part avec une micro peau de substance dentaire .

C'est bien le cas dans le 2ème type de lésions que je mentionnais, avec des bords irréguliers. Mais pour le 1er type bien lisse et bien propre, je n'ai pas eu de soucis (en tout cas à 2/3 ans de recul); une fois brossage corrigé et composite collé, çà ne bougeait plus.

@Sethef et TA2: oui, je suis tout à fait d'accord sur la déminéralisation chimique acide associée, çà marche d'ailleurs dans les deux sens, il faut une brosse pour entrainer la perte de substance.

Pour la prise en charge, je rejoins MLA2, le bon sens clinique. Si c'est sensible, il faut obturer les tubuli/isoler la lésion, donc vernis ou obturation selon la profondeur. Si l'esthétique gène, là encore il faut obturer.

@Enlaye: J'ai bien compris ton argument vibratoire sur pourquoi çà se passe au collet, mais je n'ai pas vu de réponse sur pourquoi çà se passe uniquement en vestibulaire (ce qui pour moi est un argument fort en faveur d'une participation du brossage au problème).

Mon avis perso c'est que c'est vraiment multifactoriel, avec dans la majorité des cas au moins 2 éléments parmi le brossage, l'acidité, l'occlusion. Acidité seule, on aura plutôt des caries ou déminéralisations blanches crayeuses sans trop de perte de substance; brossage seul, petite usure mais pas de cavitation si importante; occlusion seule, je dirais fêlures sur la dent.


TA2

22/01/2021 à 12h37

J'ai un pote qui réalise crème ses 300 compos/mois . Il est juste à Menton ;o)


Vw campersurfvan bmnk1q - Eugenol
enlaye

22/01/2021 à 12h50

Ah ben lui il se les mange les citrons :-)(


Vw campersurfvan bmnk1q - Eugenol
enlaye

22/01/2021 à 12h50

.


Vw campersurfvan bmnk1q - Eugenol
enlaye

22/01/2021 à 12h50

Ah ben lui il se les mange les citrons :-))


Nouveau image bitmap fz77zh - Eugenol
Sethef

22/01/2021 à 13h14

mla2 écrivait:
----

> -enfin, last but non least le Graal de la RC, autant j'adhère à son existence,
> autant cliniquement je pense qu'au mieux on peut trouver une position
> "équilibrée" moins théorique et surtout évolutive au gré d'un jeu musculaire
> qu'on ne peut ni analyser finement ni moduler( l'impuissance face à la
> physiologie)..... mais reperer les surcharges "vibratoires" qui provoquent des
> pressions tensions desmodontales avec effritement de l'os crestal , s'il est
> mince, donc avec une balance destruction-reconstruction plus negative que la
> norme....je le comprends comme ça. (je fais mon max avec mes quelques connexions
> neuronales....tolerance svp). Enfin sur H 24.... combien de temps en "RC" non
> traumatogène ????
>

Je ne te réponds que sur l'occluso, le reste je suis tout d'accord (même la paro, que divergence?)
Le problème en occluso, c'est que hors-norme ne signifie pas pathologique; et que comme le dit enlaye, il est facile d'anticiper l'usure au long court en l'absence d'intervention extérieure.
Sous entendu montre moi un gosse à 25 ans, je te dirais combien il va mettre dans ses dents.

Je remets une pièce dans le juke box en disant que 100% des problèmes occluso sont la conséquence d'un soin dentaire antérieur.


Nouveau image bitmap fz77zh - Eugenol
Sethef

22/01/2021 à 13h20

Et je tente une définition de la pathologie occlusale:
-toute conformation ou état dentaire générant une usure prématurée et/ou une symptomatologie ATM (voire posturale, mais je suis parfaitement incompétent sur le sujet.)


Sous entendu, le classe III avec sa tronche de prédateur sous marin, ou le bruxo +++ avec des pavasses de ruminant à 60 ans ne rentrent pas dans le cadre de la pathologie à mon sens.