Cookie Consent byPrivacyPolicies.comPapi boom - Eugenol
Hok 1b hgd3rj - Eugenol
Hokusai

17/03/2021 à 19h47

posit écrivait:
-----
> 2014 + de 60 ans 15 647 709 personnes
> 8018 + de 60 ans 16 232 227 personnes
> soit 11.5 %

2014-2018... C est Hollande non ???


Hok 1b hgd3rj - Eugenol
Hokusai

17/03/2021 à 19h47

posit écrivait:
-----
> 2014 + de 60 ans 15 647 709 personnes
> 8018 + de 60 ans 16 232 227 personnes
> soit 11.5 %

2014-2018... C est Hollande non ???


Hok 1b hgd3rj - Eugenol
Hokusai

17/03/2021 à 19h47

posit écrivait:
-----
> 2014 + de 60 ans 15 647 709 personnes
> 8018 + de 60 ans 16 232 227 personnes
> soit 11.5 %

2014-2018... C est Hollande non ???


croc1765

17/03/2021 à 19h55

1/ la politique je m'en bas les reins et c'est toi qui en fait
2/je te cite
A ma connaissance il n'est pas question de revoir la politique de réduction
> > > des
> > > > lits réa ...
et bien si je dis "à ma connaissance" c'est que je suis preneur de toutes
> information qui dirais l'opposé, c'est le cas croc ?
je te reponds simplement qu'il n'y a pas eu de reduction de lit de rea mais une augmentation de 1% entre 2013 et 2019
c'est limpide non et tu me fais apres ton bla bla sur la demo ...




posit écrivait:
-----
> croc1765 écrivait:
> --------
> > .
> > posit écrivait:
> > -----
> > > et bien si je dis "à ma connaissance" c'est que je suis preneur de toutes
> > > information qui dirais l'opposé, c'est le cas croc ?
>
> tu veux te lancer dans la politique avec des arguments pareil !!!


croc1765

17/03/2021 à 19h59

petite evolution en 60 siecles des +60ans
posit est un demographe visionnaire

Hokusai écrivait:
-------
> posit écrivait:
> -----
> > 2014 + de 60 ans 15 647 709 personnes
> > 8018 + de 60 ans 16 232 227 personnes
> > soit 11.5 %
>
> 2014-2018... C est Hollande non ???


P2eqdh3csim6s7nb09ktdq3e7ev8 - Eugenol
barbabapat

17/03/2021 à 20h35

croc1765 écrivait:
--------
> et là tu es entrain de repondre a la question posée?
>
> a ma connaissance c'est environ 1 % d' augmentation de lits de reanimation
> depuis 2013
> donc pas de reduction
>
Le problème est plus dans une question de sur spécialisation des le début des études médicales avec des difficultés à évoluer derrière. Le tout créant des systèmes étanches qui empêchent de repositionner des personnels.

Ce que nous a montré, cette gestion c'est impossibilité de repositionner des personnels alors que pas mal de temps médical à été perdus. Et que former du personnel à des doubles affectations en les faisant travailler en binômes avec des personnels plus spécialisés pour pouvoir faire du renfort en temps de crise à tous les niveaux (médecin et infirmiers) permettrait d'aller au delà des 1% qui sont dans la marge d'erreur.

http://aviateurs.e-monsite.com/pages/1946-et-annees-suivantes/hommage-a-suzanne-jannin.html

C'est quand même assez intéressant d'avoir une consœur qui à été récompensée pour son action en Indochine car l'armée permettait à l’époque de repositionner le personnel selon les besoins.


croc1765

17/03/2021 à 22h27

bien que ta réflexion soit intéressante elle ne répond pas directement à ma réponse sur la « connaissance « de posit concernant la diminution des lits de réa
ma réponse est factuelle
D’autre part c’est bien ce que je disais plus haut
Des lits de réa créés sans bras pour les faire fonctionner ...

barbabapat écrivait:
----------
> croc1765 écrivait:
> --------
> > et là tu es entrain de repondre a la question posée?
> >
> > a ma connaissance c'est environ 1 % d' augmentation de lits de reanimation
> > depuis 2013
> > donc pas de reduction
> >
> Le problème est plus dans une question de sur spécialisation des le début des
> études médicales avec des difficultés à évoluer derrière. Le tout créant des
> systèmes étanches qui empêchent de repositionner des personnels.
>
> Ce que nous a montré, cette gestion c'est impossibilité de repositionner des
> personnels alors que pas mal de temps médical à été perdus. Et que former du
> personnel à des doubles affectations en les faisant travailler en binômes avec
> des personnels plus spécialisés pour pouvoir faire du renfort en temps de crise
> à tous les niveaux (médecin et infirmiers) permettrait d'aller au delà des 1%
> qui sont dans la marge d'erreur.
>
> http://aviateurs.e-monsite.com/pages/1946-et-annees-suivantes/hommage-a-suzanne-jannin.html
>
> C'est quand même assez intéressant d'avoir une consœur qui à été récompensée
> pour son action en Indochine car l'armée permettait à l’époque de repositionner
> le personnel selon les besoins.


Utilisateur banni

18/03/2021 à 09h40

C'est Dupond Dupont
LOL

croc1765 écrivait:
--------
> petite evolution en 60 siecles des +60ans
> posit est un demographe visionnaire
>
> Hokusai écrivait:
> -------
> > posit écrivait:
> > -----
> > > 2014 + de 60 ans 15 647 709 personnes
> > > 8018 + de 60 ans 16 232 227 personnes
> > > soit 11.5 %
> >
> > 2014-2018... C est Hollande non ???


Hok 1b hgd3rj - Eugenol
Hokusai

18/03/2021 à 09h43

posit écrivait:
-----
> C'est Dupond Dupont
> LOL

C est bien tu commences à comprendre que le pbm c est la qualité des peuples et que les "dirigeants" ne sont que des boucs émissaires.

Tiens la par exemple... (Parmis tant d autres...) Un "meneur" gilet jaunesque... Un de tes amis... Qui a bloqué le pays pendant 18 mois...
Il achète une voiture... D occasion... Vieille de 17 ans, qui consomme 30l/100km... 300.000km. 12ke... A crédit.
Et c est eux qui il faut écouter ? C 'est avec ce type de choix que tu développes un pays ?

remarque toi tu prends bien l'avion pour faire paris Toulouse mais tu veux guillotiner les bourgeois (qui sont au passage tes clients... mais une incohérence de plus ou de moins...)


Utilisateur banni

18/03/2021 à 09h56

Hokusai écrivait:
-------
> posit écrivait:
> -----
> > C'est Dupond Dupont
> > LOL
>
> C est bien tu commences à comprendre que le pbm c est la qualité des peuples et
> que les "dirigeants" ne sont que des boucs émissaires.
>
> Tiens la par exemple... (Parmis tant d autres...) Un "meneur" gilet
> jaunesques... Un de tes amis... Qui a bloqué le pays pendant 18 mois...
> Il achète une voiture... D occasion... Vieille de 10 ans, qui consomme
> 30l/100km... 300.000km. 17ke... A crédit.
> Et c est eux qui il faut écouter ?
.
merci et toi tu poursuis ta carrière d'humoriste


Hok 1b hgd3rj - Eugenol
Hokusai

18/03/2021 à 10h00

posit écrivait:
-----
> merci

bin de rien, regarde un peu ce que tu dis, ce que tu défends, et le fait que tu sois incohérent sur tout.


aimπ

18/03/2021 à 10h01


> > 2014 + de 60 ans 15 647 709 personnes
> > 8018 + de 60 ans 16 232 227 personnes
> > soit 11.5 %
>
> 2014-2018... C est Hollande non ???

Les vieux faudrait les stériliser, sinon ils se reproduisent comme des lapins


Utilisateur banni

18/03/2021 à 10h25

Hokusai écrivait:
-------
> posit écrivait:
> -----
> > merci
>
> bin de rien, regarde un peu ce que tu dis, ce que tu défends, et le fait que tu
> sois incohérent sur tout.

bin pour quelqu'un qui prétends poser 250 implants an tu ne devrais pas avoir de difficulté pour expliquer pourquoi choisir le all and 6 au maxillaire !


Hok 1b hgd3rj - Eugenol
Hokusai

18/03/2021 à 10h30

posit écrivait:
-----
> Hokusai écrivait:
> -------
> > posit écrivait:
> > -----
> > > merci
> >
> > bin de rien, regarde un peu ce que tu dis, ce que tu défends, et le fait que
> tu
> > sois incohérent sur tout.
>
> bin pour quelqu'un qui prétends poser 250 implants an

Les petites années...


Hok 1b hgd3rj - Eugenol
Hokusai

18/03/2021 à 10h31

Après si t as du mal avec les indications cliniques arrête la planification... Ça vaut mieux :)))


Pubg2 rjl8jc - Eugenol
lemondestvaste

18/03/2021 à 10h51

Hokusai écrivait:
-------
> posit écrivait:
> -----
> > Hokusai écrivait:
> > -------
> > > posit écrivait:
> > > -----
> > > > merci
> > >
> > > bin de rien, regarde un peu ce que tu dis, ce que tu défends, et le fait que
> > tu
> > > sois incohérent sur tout.
> >
> > bin pour quelqu'un qui prétends poser 250 implants an
>
> Les petites années...

Sérieux ???


Hok 1b hgd3rj - Eugenol
Hokusai

18/03/2021 à 11h16

Non... C est juste que quand Posit ne sait pas quoi répondre il glisse sur la clinique...


Utilisateur banni

18/03/2021 à 11h40

Hokusai écrivait:
-------
> Après si t as du mal avec les indications cliniques arrête la planification...
> Ça vaut mieux :)))
Les indications clinique ce n'est pas moi qui les poses par contre la simulation implantaire et les DMSM avec toute les justificatifs et données technique pour qu'une fois validées le praticien puisse réalisé ça oui

Modélisation 3d et résultat clinique hdgupg - Eugenol

Hok 1b hgd3rj - Eugenol
Hokusai

18/03/2021 à 11h42

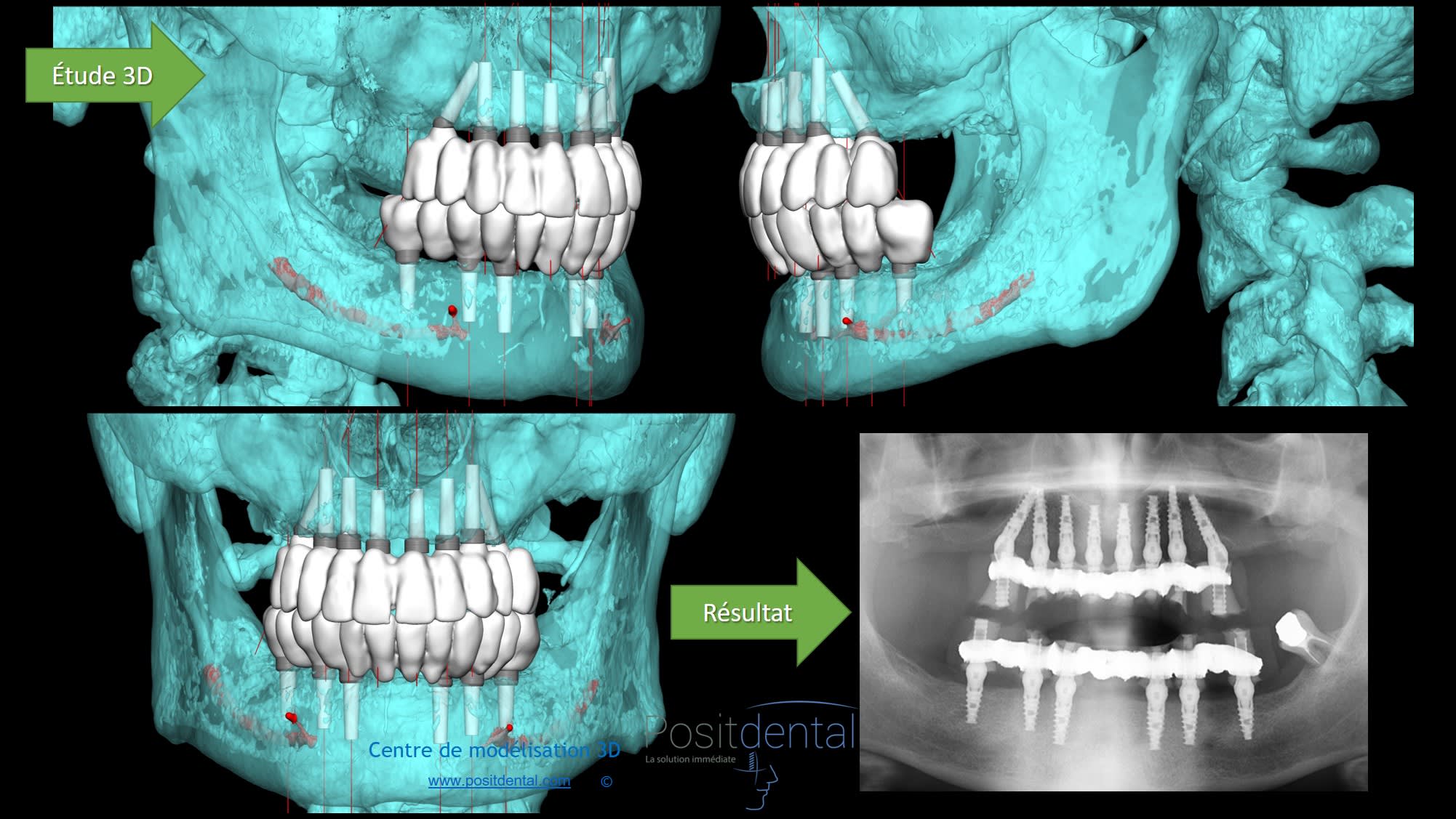
Mais pourquoi avoir gardé cette pauvre molaire mandibulaire ???... C était pour être sûr d avoir assez de biofilm pour contaminer les sites ??
T as la pano du patient avant son edentation ?


Utilisateur banni

18/03/2021 à 12h17

Hokusai écrivait:
-------
> Mais pourquoi avoir gardé cette pauvre molaire mandibulaire ???... C était pour
> être sûr d avoir assez de biofilm pour contaminer les sites ??
> T as la pano du patient avant son edentation ?

Tu as du lire dans des études scientifique que même des années post extraction chez l'édenté total les bactéries responsables des parodonties sont présentes.
Merci de tes conseils et pour ce cas tu as un avis ?

Modélisation 3d et résultat clinique ygsom6 - Eugenol

P2eqdh3csim6s7nb09ktdq3e7ev8 - Eugenol
barbabapat

18/03/2021 à 12h18

Hokusai écrivait:
-------
>
> Il achète une voiture... D occasion... Vieille de 17 ans, qui consomme
> 30l/100km... 300.000km. 12ke... A crédit.
> Et c est eux qui il faut écouter ? C 'est avec ce type de choix que tu
> développes un pays ?
>

Si il est compétant pour la réparer lui même. Car le problème est plutôt dans les tarifs de mains n’ouvres sur ces véhicule et parfois sur les pièces même si certaines pièces d'usures peuvent être partagées avec d'autres anglaises.

Le problème avec les vielles anglaises est surtout comme pour les piscines à passer plus de temps entre les mains des garagistes que des propriétaires.

Enfin, avec le retro fit, tu as des véhicules qui vont potentiellement garder des valeurs du fait de la collection.


Hok 1b hgd3rj - Eugenol
Hokusai

18/03/2021 à 12h29

barbabapat écrivait:
----------
> Hokusai écrivait:
> -------
> >
> > Il achète une voiture... D occasion... Vieille de 17 ans, qui consomme
> > 30l/100km... 300.000km. 12ke... A crédit.
> > Et c est eux qui il faut écouter ? C 'est avec ce type de choix que tu
> > développes un pays ?
> >
>
> Si il est compétant pour la réparer lui même.

A mais il fait bien ce qu il veut... Mais ils vient pas bloquer le pays pour nous dire qu il faut moins polluer... Que les carburants sont trop chers...
Le reste rien à branler. Il peut même jeter son pognon par les fenêtres osef total... Mais on peut quand même noter l absence totale de cohérence.

Il peut aussi acheter une voiture produite en France et économe en carburant... En cohérence avec ses "convictions".
Convictions que partage Posit... Puis il prend vite l avion... Esquive la prothèse 100% santé... Des convictions a la force extrêmement modérée non ? Et ça vient donner des leçons ? La bonne blague...


Utilisateur banni

18/03/2021 à 12h42

Hokusai écrivait:
-------
>... Mais ils vient pas bloquer le pays pour nous dire qu il faut moins polluer...

Celui qui bloque le pays c'est macron


Hok 1b hgd3rj - Eugenol
Hokusai

18/03/2021 à 12h52

posit écrivait:
-----
> Hokusai écrivait:
> -------
> >... Mais ils vient pas bloquer le pays pour nous dire qu il faut moins
> polluer...
>
> Celui qui bloque le pays c'est macron

Va voir ce qu'il se passe en Italie, et sans Macron en plus ;)


Hok 1b hgd3rj - Eugenol
Hokusai

18/03/2021 à 13h05

posit écrivait:
-----
> Hokusai écrivait:
> -------
> > Mais pourquoi avoir gardé cette pauvre molaire mandibulaire ???... C était
> pour
> > être sûr d avoir assez de biofilm pour contaminer les sites ??
> > T as la pano du patient avant son edentation ?
>
> Tu as du lire dans des études scientifique que même des années post extraction
> chez l'édenté total les bactéries responsables des parodonties sont présentes.

Oui et c'est pour cela que je te parle bien de biofilm... les mots on un sens.
tres honnêtement, la conservation de cette molaire questionne... pourquoi l'avoir gardée ? quelle est son rôle ?


1...131415...