Cookie Consent byPrivacyPolicies.comLésion langue patiente jeune - Eugenol

Lésion langue patiente jeune

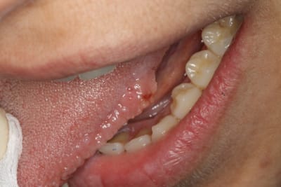
Roudoudou rkcdkx - Eugenol
Roudoudou84

19/02/2021 à 15h27

Bonjour les collègues,
je voudrais votre avis concernant cette lésion sur le fond du bord gauche de la langue de cette patiente jeune ( 27 ans) non fumeuse, HBD correcte. La lésion n'est pas douloureuse, un peu ferme, ça saigne pas franchement mais ça a une tête qui ne me plait pas trop. Vous en pensez quoi? Je dois m'affoler ou c'est juste un tic de morsure / succion (38 extraite il y a longtemps)?
Merci pour vos avis

Ebzsxqbt3klgmjfh1qam - Eugenol
Ccs6sf8qpdl51kz0rhhd - Eugenol

Photo pluton1b h9n4ea - Eugenol
pluton

19/02/2021 à 16h48

DIRECTION URGENCES MAXILLO!!!!!
çà a en effet une sale gueule....


Utilisateur banni

19/02/2021 à 16h56

:)) morsure


Et7jtaj0pdi18gzjlxjiamlx15gs - Eugenol
Prunelles

19/02/2021 à 17h08

J'aurais pris ça pour une morsure.
Pour moi ça ressemble pas à une lésion cancéreuse ou précancéreuse.


TA2

19/02/2021 à 17h49

Comme Pluton . Tu l'as revoir sous 6 jours si pas d'améliorations , c'est ORL hospitalier .


Nouveau image bitmap fz77zh - Eugenol
Sethef

19/02/2021 à 18h22

Je parie tic de morsure. En particulier du fait de la morpho qui suit le plan d'occlusion.
Comme TA2, vérif à J7 pour la forme mais ça ne m'inquiète absolument pas.


Roudoudou rkcdkx - Eugenol
Roudoudou84

19/02/2021 à 20h51

Merci pour vos réponses. C’est aussi ce que je pensais faire : j’espère que c’est une simple morsure, mais je préfère encore l’adresser pour rien et être prise pour une buse par les stomatos du coin («  aaah, quels guignols, ces foutus dentistes! ») plutôt que de faire l’autruche et me rendre compte dans un an que je me suis plantée par orgueil (et bousiller les chances de la patiente au passage). Je la revois dans 3 semaines, on verra bien...🤞


Y3rgx68nbpv7tqitq86azx8sf72v - Eugenol
Elgy

20/02/2021 à 09h30

Idem. Morsure et tic de succion.

Lui dire d'arrêter et revoir.


blaki

20/02/2021 à 10h32

idem morsure