Cookie Consent byPrivacyPolicies.comCouronne fraisée - Eugenol

Couronne fraisée

5 aspsnj - Eugenol
2+2©

26/02/2021 à 14h12

Salut à tous,

Vous cotez comment une couronne fraisée pour le passage d'un élément d'un futur stellite? C'est du RAC0 + espèces pour une antérieure ?

Existe t il une cotation pourr un attachement extra coronaire?

merci de l'info


Et7jtaj0pdi18gzjlxjiamlx15gs - Eugenol
Prunelles

26/02/2021 à 14h53

Y'a pas de code à ma connaissance pour une fraisée.
Généralement je m'assois sur le surplus facturé par mon labo (20€).
Un attachement extra coronaire pour moi c'est du HN.


RépondreCiter
5 aspsnj - Eugenol
2+2©

26/02/2021 à 15h29

Oui, enfin je m'assieds dèjà sur beaucoup de choses pour avoir envie d'offrir 40balles par dent...


E922cb58f40adb4b770d0cd0158b332f p1seg7 - Eugenol
chic22

26/02/2021 à 18h15

Sinon tu augmentes le tarif du Stellite pendant qu’on peut encore le faire


Bagheera tudzjy - Eugenol
bagheerra

26/02/2021 à 20h23

Reçu le 10/03/20


Inscription dans la CCAM d’un libellé en rapport avec la couronne fraisée
Fraisage = HBMD008

Chères Consœurs, Chers Confrères,

Suite la demande réitérée des CDF concernant la couronne fraisée, initialement non décrite dans la Classification Commune des Actes Médicaux, la Caisse Nationale d’Assurance Maladie vient de répondre favorablement en modifiant le libellé HBLD008 : « pose d’un attachement coronaradiculaire sur une dent », en y insérant le fraisage d’une couronne prothétique, qu’elle soit métallique ou céramo-métallique.

Ainsi modifié le libellé du code HBLD008 s’écrirait : « Pose d’un attachement dento-porté et/ou fraisage d’une couronne prothétique ».

Dans l’attente de l’introduction de la modification, les praticiens peuvent déjà utiliser le code HBLD008 actuel ; cet acte est NPC (non pris en charge).

Cette décision est à mettre uniquement au crédit de l’action menée par les CDF qui demandaient depuis la signature de la convention, une clarification sur cet acte.

Une lettre réseau sera diffusée dans les CPAM prochainement pour officialiser cette avancée.

LesCDF44


Vw campersurfvan bmnk1q - Eugenol
enlaye

26/02/2021 à 23h14

bagheerra écrivait:
---------
" HBLD008 : « pose d’un attachement coronaradiculaire sur une dent », en y insérant le fraisage d’une couronne prothétique, qu’elle soit métallique ou céramo-métallique.".....
cet acte est NPC (non pris en charge).

pour la zircon qui elle est entierement fraisée quoiqu il arrive , je suppose qu elle ne peut pas faire partie de ce 008 .


Méat

27/02/2021 à 10h43

Au crédit des CDF....mourir de rire....
Les mecs ils te mettent dans un merdier indescriptible, et après ça fanfaronne quand ils essaient de déminer ce même merdier....


merlin31000

27/02/2021 à 12h37

Méat écrivait:
----
> Au crédit des CDF....mourir de rire.... Les mecs ils te mettent dans un merdier indescriptible, et après ça fanfaronne quand ils essaient de déminer ce même merdier....

je ne suis pas (plus) syndiqué et perso, je suis bien content d'avoir à disposition un acte côté en NPC.
Au lieu de me mettre sic : " dans un sacré merdier indescriptible" ..., bien au contraire, ce code (qui au demeurant existe depuis le 01/04/2014) me permet d'appliquer un tarif libre..., quoi de plus génial...!?

Au fait..., contre le brûlures d'estomac..., j'ai un bon remède..., l'humour...
;=)))


Vw campersurfvan bmnk1q - Eugenol
enlaye

27/02/2021 à 13h52

Du npc pour mettre la coronne fer au prix du zircon ?
Mouhahaha , elle est bonne celle la :-)
Et ca , c est pas de l humour ? :-))


moritooth

28/02/2021 à 16h55

bagheerra écrivait:
---------
> Dans l’attente de l’introduction de la modification, les praticiens peuvent déjà
> utiliser le code HBLD008 actuel ; cet acte est NPC (non pris en charge).
>

En pratique l'officialisation n'a toujours pas eu lieu, et on est donc toujours dans cette situation.


Hok 1b hgd3rj - Eugenol
Hokusai

28/02/2021 à 22h18

enlaye écrivait:
------
> Du npc pour mettre la coronne fer au prix du zircon ?

C est du rac0 avec du reste à charge... C est la magie de la convention.


Vw campersurfvan bmnk1q - Eugenol
enlaye

28/02/2021 à 22h34

non c est de la clarification .:-)


Hok 1b hgd3rj - Eugenol
Hokusai

01/03/2021 à 07h47

Une couronne fraisée c est pas un attachement...


Vw campersurfvan bmnk1q - Eugenol
enlaye

01/03/2021 à 08h05

Si sur une zircon tu peux fraiser la partie male . Seulement voilà c est gratos puisque la couronne est elle meme le fruit d un fraisage .
C est con pcq en plus la zircon est remboursée , alors que sur une en fer , non . Autant rajouter du npc sur du bas de gamme , c est plus rigolo .
C est plus clair .


Hok 1b hgd3rj - Eugenol
Hokusai

01/03/2021 à 08h09

enlaye écrivait:
------
> Si sur une zircon tu peux fraiser la partie male .

Ok pour un vrai attachement... Pas juste parallélisation et logement de taquet pour le ackers des familles... La je vois pas où est l "attachement"... Autant mettre 0,001% de palladium dans ton crco et parler d alliage précieux.


Vw campersurfvan bmnk1q - Eugenol
enlaye

01/03/2021 à 08h14

Ahhhh tu vois comme t'y es , y en a qui veulent clarifer et toi tu n es pas reconnaissant .


Vw campersurfvan bmnk1q - Eugenol
enlaye

01/03/2021 à 08h28

J aimerais bien clarifier aussi l extraction et le detartrage .


Vw campersurfvan bmnk1q - Eugenol
enlaye

01/03/2021 à 09h54

on a pas le reflexe , je l aurais fait en fer , je me serais clairement gavé .

 mg 2212 ybgk5r - Eugenol

Zorba le grec 1373406512 108 lfk5ey - Eugenol
zorbalegrec

01/03/2021 à 10h42

enlaye écrivait:
------
> on a pas le reflexe , je l aurais fait en fer , je me serais clairement gavé .
Je ne vois pas l'intrados mais il me semble que tu bloques la suture inter incisive
y'a pas moyen de faire autrement


Cquenotte

01/03/2021 à 11h47

enlaye écrivait:
------
> on a pas le reflexe , je l aurais fait en fer , je me serais clairement gavé .

Sans rire !!! C'est un bridge zircone de 6 éléments avec des attachements zircon ???
J’aurai pas oser !!


X ray 03 medium zvq18j - Eugenol
cyber_quenottes

01/03/2021 à 11h56

en clair, demain il y aura une base de remboursement et.... un tarif....

combien est prévu comme plafond ?


--
==================
la csnd a voulu le "fromage" de la CCAM
la SECU a ajouté une tapette autour


Vw campersurfvan bmnk1q - Eugenol
enlaye

01/03/2021 à 12h19

zorbalegrec écrivait:
-----------
" Je ne vois pas l'intrados mais il me semble que tu bloques la suture inter incisive
y'a pas moyen de faire autrement "

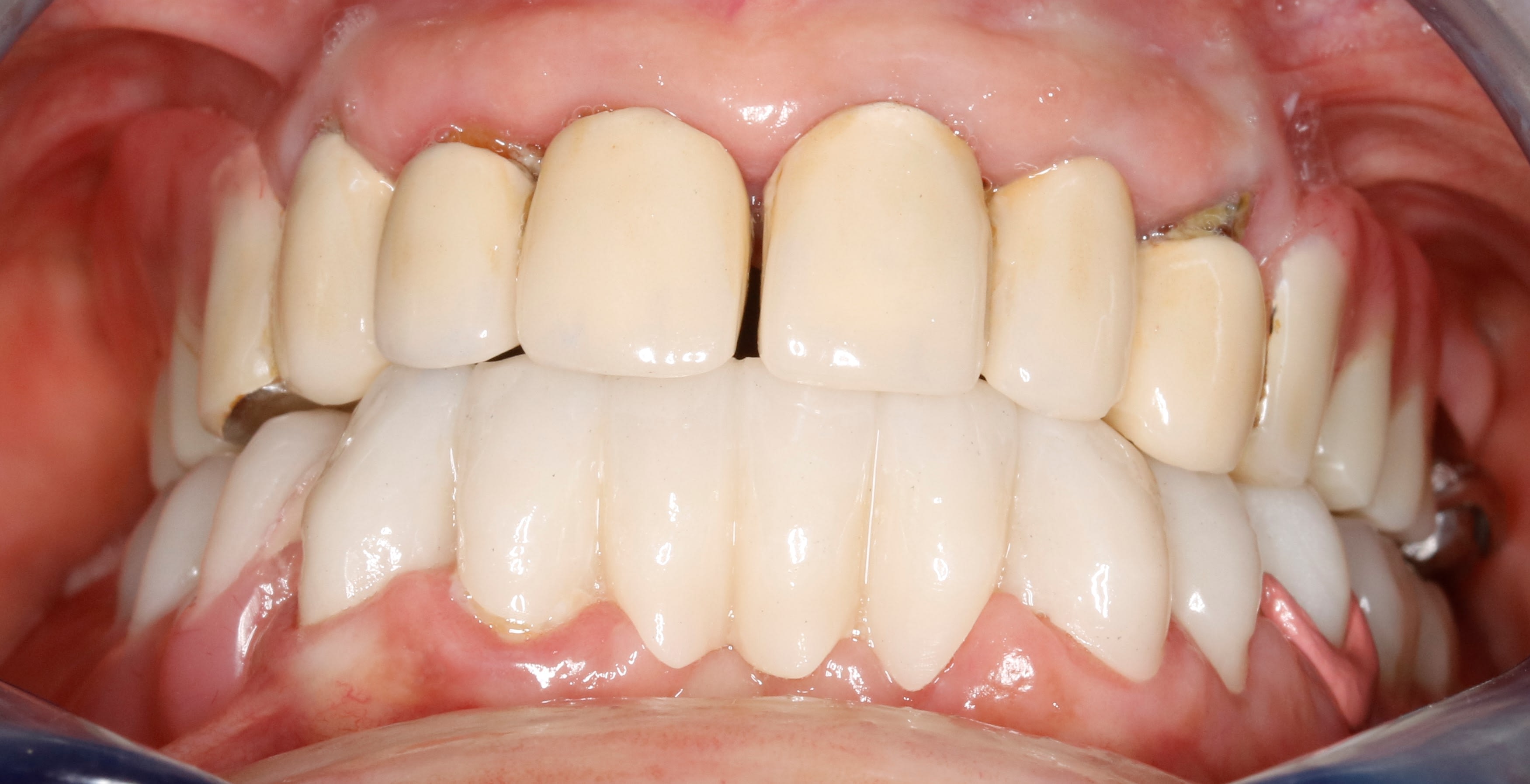
ah ? mais c est qu' elle avait dejà une suture inter incisive dejà bien débloquée , tellement bien débloquée , qu elle s ouvrait comme un choux fleur . restait plus que quelques mm d os de partout .
m en fout un peu de ces concepts suturos ecolos posturos quand ça bouge à mort .
là j ai du tout faire d un coup en 1 fois couronne +stellite donc 2 séances en tout et pour tout , pcq elle faisait un aller retour d un pays de sauvages tres loin :-)

 mg 2176 xte3dg - Eugenol
 mg 2182 sgtxds - Eugenol

Vw campersurfvan bmnk1q - Eugenol
enlaye

01/03/2021 à 12h26

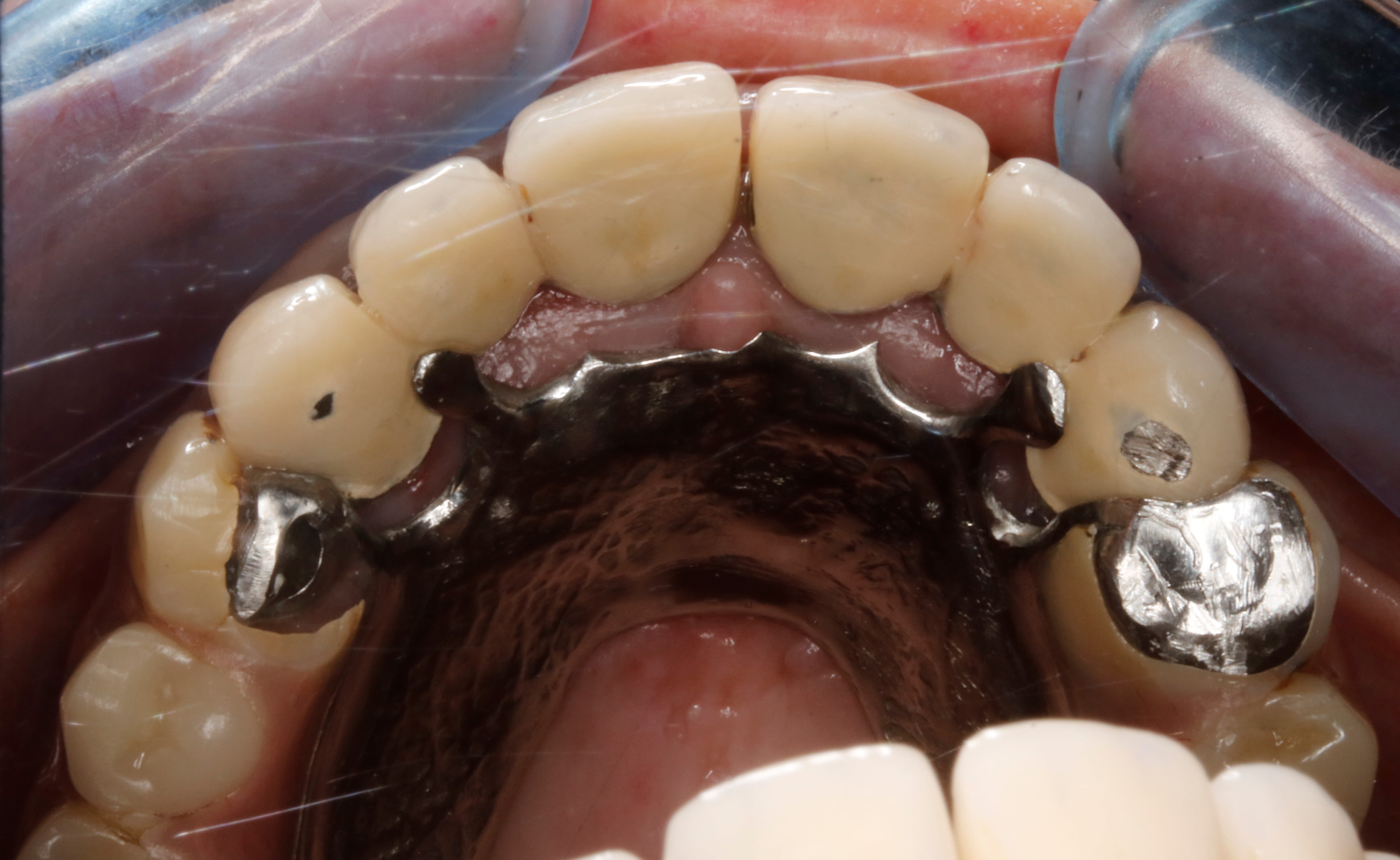
et donc 2eme séance ça a fini comme ça .

 mg 2209 lpjw7u - Eugenol
 mg 2214   copie yfdo63 - Eugenol

Vw campersurfvan bmnk1q - Eugenol
enlaye

01/03/2021 à 12h29

t as vu comme les tailles sont tordues , tu sais pourquoi ? :-))
ben c est qu elle avait tellement de gros nichons que ça m a perturbé , j etais obligé de tailler le coude en l air et de modifier mes appuis habituels :-)))


TA2

01/03/2021 à 13h02

enlaye écrivait:
------
> t as vu comme les tailles sont tordues , tu sais pourquoi ? :-))
> ben c est qu elle avait tellement de gros nichons que ça m a perturbé , j etais
> obligé de tailler le coude en l air et de modifier mes appuis habituels :-)))

Je me disais bien que ce cas était mal iconographié ! tu as des photos du portail de madame ?

Autrement comment ton protho a t-il géré l'usinage des attachements males , car j'imagine que les boitiers femelles sont standards ?


12